Nefropatia por IgA
| Nefropatia por IgA | |
|---|---|
![]() | |
| Imunoglobulina A | |
| Especialidade | nefrologia, reumatologia |
| Classificação e recursos externos | |
| CID-10 | N02.8 |
| CID-9 | 583.9 |
| OMIM | 161950 |
| DiseasesDB | 1353 |
| MedlinePlus | 000466 |
| eMedicine | med/886 |
| MeSH | D005922 |
Nefropatia por IgA (NIgA), glomerulonefrite sinfaríngica ou doença de Berger é uma doença renal comum causada por depósitos de anticorpos (imunoglobulina A) causando inflamação e lesão progressiva dos glómerulos renais ao longo dos anos. Não possui cura, mas possui tratamento para prevenir a insuficiência renal.[1]
Para algumas pessoas, a nefropatia por IgA ocorre em famílias. Os cientistas descobriram recentemente vários marcadores genéticos que podem desempenhar um papel no desenvolvimento da doença. A nefropatia por IgA também pode estar relacionada a infecções respiratórias ou intestinais em resposta do sistema imunológico a estas infecções.
Sintomatologia
Nas fases iniciais é pouco sintomática, caracterizada por episódios de sangue na urina (hematúria) visivelmente escura (macroscópica) ou pouco perceptível (microscópica), associada a infecções inespecíficas das vias aéreas superiores (se sinusite e faringite pode ser chamada de sinfaríngica). Pode passar décadas sem causar sintomas e só ser descoberta incidentalmente em um exame de urina por outra causa. Após anos de evolução os primeiros sintomas de dano renal são:[2]
- Hematúria durante ou após episódios de infecção respiratória;
- Dor nos flancos;
- Inchaço de pés e mãos;
- Hipertensão arterial;
- Colesterol elevado.
Perda de proteínas na urina geralmente situa-se em torno de 1 a 2 gramas por dia, raramente causando síndrome nefrótica (mais de 3g). Na maioria dos casos a função renal se mantém normal por décadas, mas uma percentagem dos pacientes (cerca de 20 a 30%) evolui para insuficiência renal crônica terminal após 20 anos de evolução.[2]
Diagnóstico

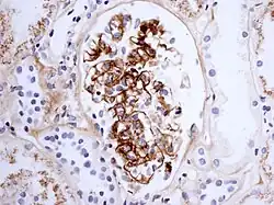
Os portadores de NIgA apresentam aumento do nível sérico de imunoglobulina A por déficit de excreção hepática ou aumento de sua síntese na medula óssea. A lesão renal é secundária à deposição dessa imunoglobulina nas estruturas glomerulares. Deve-se suspeitar de glomerulonefrite quando a ureia em urina é 30 vezes maior que a creatinina em urina. Quando se detecta sangue e proteínas na urina pode-se pedir uma biópsia renal para identificar a causa. O achado anátomo-patológico da biópsia renal mais característico é a deposição de IgA no mesângio.[3]
Epidemiologia
Ocorre em qualquer faixa etária, sendo mais comum em pacientes entre 10 e 40 anos. É duas vezes mais comum em homens. É mais comum em brancos e asiáticos, sendo rara em negros.[4]
Terapia
O tratamento é feito de forma sintomática:[5]
- Diuréticos e IECA para controlar a pressão arterial de uma pessoa e remover o líquido extra do sangue;
- Corticoides (como prednisona) para inibir o sistema imunológico e retardar a progressão da doença renal;
- Estatinas para reduzir os níveis de colesterol no sangue;
- Dieta evitando sal e LDL.
Referências
- ↑ «Mayo Clinic Staff. IgA nephropathy (Berger's disease)» (em inglês)
- ↑ a b «Mayo Clinic Staff. IgA nephropathy (Berger's disease): Symptoms» (em inglês)
- ↑ «How is IgA nephropathy diagnosed?» (em inglês)
- ↑ «American Kidney Foundation. Who gets IgA nephropathy?» (em inglês)
- ↑ «What is the treatment for IgA nephropathy?» (em inglês)
