Má-absorção intestinal

Má-absorção intestinal
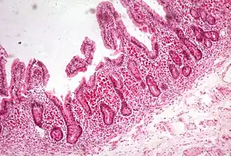
Aumento das Vilosidades intestinais na Doença de Whipple com diversos macrófagos
Especialidadegastrenterologia
Classificação e recursos externos
CID-11DA96.0
CID-10(K90)
CID-9579
DiseasesDB7698
MedlinePlus000299
eMedicinemed/1384
MeSHD008286
A Wikipédia não é um consultório médico. Leia o aviso médico 

Má-absorção intestinal ou malabsorção intestinal é um sintoma de anormalidades na absorção de nutrientes no intestino. A incapacidade pode ser relativa a um ou a vários nutrientes, dependendo da doença, e pode levar a desnutrição ou a diversas anemias.[1]

Patofisiologia

Proteínas, carboidratos, gorduras e a maioria dos fluidos, vitaminas e sais minerais são absorvidos no intestino delgado. A malabsorção intestinal ocorre quando algo impede o intestino de absorver nutrientes importantes e fluidos. O problema pode ser causado por infecção, uma lesão do revestimento do intestino, falta de alguma enzima, defeitos estruturais, falta de peristaltismo, substâncias laxantes.

Causas

Problemas fora do intestino como doenças no pâncreas, vesícula biliar, estômago, vias linfáticas e tireoides também podem causar má absorção intestinal.
Agentes infecciosos[2]
Anormalidade da mucosa intestinal[2]
Falha digestiva[2][3]
Defeitos estruturais[2]
Doenças sistêmicas[2]
Outras

Sinais e sintomas

Os sinais e sintomas dependem do nutriente não absorvido:[5]

Diagnóstico

A causa da malabsorção pode ser identificada pode diversos métodos:[5]

  • Exames de nutriente em sangue: B12, vitamina D, folato, ferro, cálcio, caroteno, fósforo, proteínas...
  • Exames de fezes para detectar quais nutrientes não foram absorvidos.
  • Ecografia abdominal: visualizar vesícula biliar, fígado, pâncreas, parede intestinal e vias linfáticas.
  • Seguimento de bário: revela anormalidades estruturais.
  • Biópsia do intestino: revela alterações dos tecidos intestinais, como tumores, inflamação e necrose.
  • Endoscopia e Colonoscopia
  • Radiografia e Ressonância magnética: revela anormalidades estruturais

Tratamento

Administração de nutrientes, íons e líquidos intravenosos para reduzir os sintomas frequentemente são os primeiros passos no tratamento de uma síndrome de malabsorção. O tratamento específico dependerá da causa e tem uma dieta específica que pode ser planejada com ajuda de um nutricionista. Pessoas com intolerância à um nutriente (como lactose, frutose ou glúten) devem evitar produtos com esse nutriente ou tomar um comprimido com a enzima que o digere. Alguns defeitos estruturais e obstruções podem ser corrigidos com cirurgia abdominal. Doenças autoimunes como Crohn necessitam imunossupressão com esteroides.[5] Infecção bacteriana pode ser tratada com antibióticos, enquanto as parasitoses necessitam antiparasitários e enterites virais costumam melhorar apenas com líquidos e repouso. Abuso de laxantes por transtornos alimentares e abuso de álcool necessitam acompanhamento psicológico.

Ver também

Referências

  1. Jensen, Jonathan E. «Malabsorption Syndromes - Page 1». Colorado center for digestive disorders. Consultado em 15 de novembro de 2014. Cópia arquivada em 11 de abril de 2007 
  2. a b c d e Dr Richard Draper, Dr Colin Tidy e Dr Adrian Bonsall.(2013) Gastrointestinal Malabsorption. http://patient.info/doctor/gastrointestinal-malabsorption
  3. http://www.msdmanuals.com/professional/gastrointestinal-disorders/malabsorption-syndromes/overview-of-malabsorption
  4. Afrin LB, Butterfield JH, Raithel M, Molderings GJ (2016). «Often seen, rarely recognized: mast cell activation disease--a guide to diagnosis and therapeutic options». The American Journal of the Medical Science (em inglês). 48 (3): 190-201. PMID 27012973. doi:10.3109/07853890.2016.1161231 
  5. a b c Michael Kerr, Jacquelyn Cafasso e Judith Marcin MD (2016). Malabsorption Syndrome. http://www.healthline.com/health/malabsorption