Hérnia diafragmática
| Hérnia diafragmática | |
|---|---|
| Essa foto é de uma hérnia peritoneopericardial em um gato. A foto foi tirada durante necrópsia pelo lado direito do gato. À esquerda há o abdome, onde pode-se ver parte do fígado e a vesícula biliar. O diafragma está no meio. À direita está o tórax. O objeto mais largo que pode ser visto no tórax é o resto do fígado. Ao lado está o coração. O fígado estava conectado a si mesmo por um pequeno buraco no diafragma (não mostrado). | |
| Especialidade | gastrenterologia |
| Classificação e recursos externos | |
| CID-11 | DD50.0 |
| CID-10 | K44 |
| CID-9 | 553.3 |
| DiseasesDB | 31491 |
| MedlinePlus | 001135 |
| eMedicine | med/3487 |
| MeSH | D006548 |
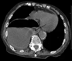
Hérnia diafragmática é um defeito ou buraco no diafragma que permite que o conteúdo abdominal chegue à cavidade torácica. O tratamento é usualmente cirúrgico.
Existem os seguintes tipos de hérnia diafragmática:
- Hérnia diafragmática congênita
- Hérnia de Morgagni
- Hérnia de Bochdalek
- Hérnia de hiato
- Hérnia diafragmática iatrogênica
- Hérnia diafragmática traumática
Sinais e sintomas
Um abdome com aparência de internamente sugado pode ser o sintoma presente no recém-nascido.[1]
Diagnosis

O diagnóstico pode ser feito por tomografia computadorizada ou raio-x. Diagnosis can be made by either CT or Xray.
Referências
- Eren S, Ciris F (2005). «Diaphragmatic hernia: diagnostic approaches with review of the literature». Eur J Radiol. 54 (3): 448–59. PMID 15899350. doi:10.1016/j.ejrad.2004.09.008