Fígado gorduroso

Fígado gorduroso
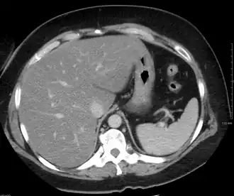
Tomografia computadorizada de abdômen com fígado gorduroso.
Especialidadegastrenterologia, hepatologia
Classificação e recursos externos
CID-10K70, K76.0
CID-9571.0, 571.8
OMIM228100
DiseasesDB18844
eMedicinemed/775
MeSHD005234
A Wikipédia não é um consultório médico. Leia o aviso médico 

Fígado gorduroso ou fígado gordo, também conhecido como esteatose hepática ou doença hepática gordurosa, é uma condição reversível [1] na qual grandes quantidades de triglicéridos (um tipo comum de gordura) se acumulam anormalmente nas células do fígado (hepatócitos), formando grandes vesículas (vacúolos). Esse processo de acumulação de gordura nas células é denominado esteatose e pode evoluir para quadros graves de cirrose e insuficiência hepática. A prevalência da esteatose hepática na população varia entre 10 e 33%, a depender do país, aumentando para 75% em obesos e para 90% em alcoolistas (pessoas que consomem dois ou mais copos de bebida alcoólica por dia).[2]

O fígado é um órgão de primordial importância, sendo a principal unidade de fabricação de proteínas sanguíneas, metabolismo de toxinas ou de medicamentos (corticoides, estrógeno, amiodarona, antirretrovirais, diltiazem e tamoxifeno) e de produção de linfa, sendo também um dos responsáveis pela transformação das proteínas, dos açúcares e das gorduras que ingerimos.

Classificação

Apesar de ter diversas causas, frequentemente está associado ao alcoolismo, distúrbios metabólicos e a obesidade (com ou sem efeitos da resistência à insulina). Como cerca de 90% dos alcoolistas desenvolvem esse transtorno, e respondem por um grande número de casos, costuma-se dividir os casos de fígado gorduroso como

  • esteatose hepática associada ao álcool
  • esteatose hepática não associada ao álcool

Dentre os obesos, 75% desenvolvem a esteatose hepática não associada ao álcool.[2]

Causas

Várias causas podem estar na origem desta doença. As mais frequentes são:[3]

A liberação de hormonas, proteínas e ácidos graxos no sangue pelas células de gordura (lipócitos) afeta células de todo o corpo. O excesso de insulina por muitos anos faz com que as células do fígado (hepatócitos) e muitas outras células no corpo, tornam-se resistentes (insensíveis) à insulina, e os seus processos metabólicos, incluindo o seu manuseamento de gordura, fique alterado. As células do fígado aumentam a sua absorção de ácidos graxos do sangue e os armazenam cada vez mais. Ao mesmo tempo, a capacidade do fígado para eliminar ou exportar a gordura acumulada é reduzida. Além disso, o fígado em si continua a produzir e a receber gordura. Assim, enquanto a dieta for rica em gordura e triglicéridos o acúmulo é cada vez maior.[6]

Fatores de risco

Os fatores de risco incluem:[7]

Sinais e sintomas

Essa doença demora a apresentar sintomas que podem passar despercebido até que surjam complicações. Nos primeiros anos, dentre os sintomas possíveis estão:[8]

  • Desconforto abdominal;
  • Cansaço e fraqueza;
  • Pequeno aumento do tamanho do fígado;
  • Perda de apetite;

Complicações

Quando ocorrem inflamações e morte de hepatócitos, com formação de fibrose no fígado (cirrose), os sintomas se tornam mais visíveis e os danos menos reversíveis. Sinais de insuficiência hepática incluem:

Conforme os anos passam, caso o paciente não siga o tratamento, as células do fígado param de limpar as toxinas e medicamentos no sangue, ocorre um acúmulo de amônia que lesiona o cérebro e desequilibra a proporção ácido-base do sangue. Sem proteínas sanguíneas os rins não conseguem filtrar eficientemente aumentando ainda mais o número de toxinas no sangue. Sem fatores de coagulação que são produzidos pelo fígado, o paciente se torna vulnerável a hemorragias internas e externas fatais.[9]

Diagnóstico

O primeiro passo para o diagnóstico é a realização de uma história clínica, com o objectivo de identificar alguma(s) causa(s) possível(is) para esta situação. A observação física também é importante pois permite identificar, através da palpação abdominal, a existência de um fígado aumentado de tamanho (hepatomegalia), com uma superfície lisa e indolor.

As análises de sangue que traduzem o funcionamento do fígado revelam apenas ligeiras alterações inespecíficas. O diagnóstico será feito com exames que permitam visualizar o fígado, como a ecografia ou a tomografia computorizada, que evidenciam um excesso de gordura no fígado. O diagnóstico confirmatório é feito com a realização de uma biopsia hepática (do fígado), sendo positivo caso mais de 10% da sua massa seja gordura, porém esta confirmação não é, geralmente, necessária.[7]

Tratamento

Esta doença não tem um tratamento específico, sendo o foco em tratar sua causa. Assim, devem-se adotar medidas que conduzam à regressão e ao desaparecimento da esteatose ou que evitem a progressão para situações mais graves de inflamação, fibrose e cirrose hepática.[10]

Se a causa é a ingestão excessiva de bebidas alcoólicas, então há que suspender essa ingestão o mais rapidamente possível, recomendando o acompanhamento psicológico e psiquiátrico para lidar com a abstinência alcoólica.

Se esta doença estiver a ser provocada por um determinado medicamento, há que substitui-lo por outro de efeito equivalente, nunca esquecendo que essa substituição deve ser realizada pelo seu médico.

Recomenda-se que pacientes obesos reduzam o consumo de gordura saturada, colesterol LDL e triglicerídeos, como o encontrado em grandes quantidades em massas, carnes gordurosas, doces e salgados. Menos pequenas perdas de peso já melhoram bastante os sintomas. A perda de 9% do peso corporal em menos de 6 meses já resolve a esteatose.[8] Recomenda-se também o consumo de vitamina D, vitamina E e ômega 3 quando o nível de algum desses é deficiente.[10]

Dentre as opções medicamentosas estão os sensibilizadores a insulina, como a metformina e a pioglitazona, antioxidantes e medicamentos como estatinas e ezetimiba, usados para reduzir o colesterol ruim.[10]

Referências

  1. Esteatose hepática (gordura no fígado): causas, sintomas, diagnóstico, tratamento e prevenção saude.gov.br
  2. a b Angulo P (2002). "Nonalcoholic fatty liver disease". N. Engl. J. Med. 346 (16): 1221–31. doi:10.1056/NEJMra011775. PMID 11961152.
  3. Bayard M, Holt J, Boroughs E (2006). "Nonalcoholic fatty liver disease". American Family Physician 73 (11): 1961–8. PMID 16770927.
  4. Gordura no fígado.
  5. Jing Yuan (19 de setembro de 2019). «Fatty Liver Disease Caused by High-Alcohol-Producing Klebsiella pneumoniae». Cell Metabolism. Consultado em 23 de setembro de 2019 
  6. http://www.medicinenet.com/fatty_liver/page3.htm
  7. a b «Everything You Need to Know About Fatty Liver». Healthline (em inglês). 2 de novembro de 2021. Consultado em 10 de abril de 2022 
  8. a b Fowler, Paige. «Fatty Liver Disease: Alcoholic and Non-Alcoholic Types». WebMD (em inglês). Consultado em 10 de abril de 2022 
  9. Qian, Yan; Fan, Jian-Gao (maio de 2005). «Obesity, fatty liver and liver cancer». Hepatobiliary & pancreatic diseases international: HBPD INT (2): 173–177. ISSN 1499-3872. PMID 15908310. Consultado em 10 de abril de 2022 
  10. a b c http://www.medicinenet.com/fatty_liver/page9.htm