Intestino delgado

O intestino delgado é a parte do tubo digestivo que vai do estômago (do qual está separado pelo piloro) até o intestino grosso (do qual está separado pela válvula ileocecal). O quimo, que resulta de uma primeira transformação dos alimentos no estômago, segue para o intestino delgado passando pelo duodeno, a parte superior deste último.[1]
O intestino delgado é composto de três partes: o duodeno, logo a seguir ao estômago, o jejuno ou parte central e o íleo, nas proximidades do intestino grosso. O jejuno e o íleo são difíceis de diferenciar, pelo que podemos chamar jejuno-íleo ao seu conjunto. A camada mucosa que reveste o seu interior apresenta invaginações, as vilosidades intestinais, pelas quais são absorvidas as substâncias digeridas. O duodeno recebe a bile, produzida pelo fígado e armazenada na vesícula biliar, e também o suco pancreático, produzido pelo pâncreas. É nas paredes do intestino delgado que se produz o suco intestinal. A bile lançada no duodeno divide as gorduras em pequenas gotas, ajudando a ação do suco pancreático e do suco intestinal.[1]
Com os movimentos do intestino delgado e com a ação dos sucos (pancreático e intestinal), o quimo é transformado em quilo, que é o produto final da digestão. Uma vez o alimento transformado em quilo, os produtos úteis ao nosso organismo são absorvidos pelas vilosidades intestinais, passando para os vasos sanguíneos, pois é através da corrente sanguínea que as substâncias absorvidas chegam a todas as células do corpo. As substâncias residuais deste processo digestivo passam para o intestino grosso, do qual acabam por ser expulsas, através do ânus, sob a forma de fezes.[1]
Descrição anatômica
O intestino delgado, com aproximadamente 6–9 m de comprimento, corresponde à parte mais longa do tubo gastrointestinal. Estende-se do piloro (saída do estômago, marcada pela constrição pilórica, que contém um anel espesso de musculatura circular, o esfíncter pilórico) até a válvula ileocecal (local em que o íleo se continua como ceco, a primeira parte do intestino grosso). Consiste em três partes: o duodeno, o jejuno e o íleo.[2]
Duodeno
É a primeira e a menor parte do intestino delgado, com cerca de 25 cm. Apresenta uma estrutura em forma de "C" que contorna a cabeça do pâncreas e uma luz mais larga do que a de outras regiões do intestino delgado. O duodeno é parcialmente retroperitoneal, uma vez que seu começo é fixado ao fígado pelo ligamento hepatoduodenal, parte do omento menor. O órgão pode ser divido em quatro regiões: superior, descendente, inferior e ascendente.[2]

- Parte superior ou primeira parte: compreende a região contida entre o piloro e o colo da vesícula biliar. Com aproximadamente 5 cm, encontra-se na altura do corpo da vértebra L1, anterolateralmente. Na clínica, pode ser chamado de ampola ou cápsula do duodeno, sendo o local em que ocorre a maioria das úlceras duodenais.[3]
- Parte descendente ou segunda parte: estende-se do colo da vesícula biliar até a margem inferior da vértebra L3. Com 7–10 cm, nesta parte está a papila duodenal maior, onde entram tanto o ducto colédoco quanto o pancreático. Na região descendente, também se encontra a papila duodenal menor, que forma a entrada do ducto pancreático acessório.[3]
- Parte inferior ou terceira parte: com cerca de 6–8 cm, passa pela veia cava inferior, pela aorta e pela coluna vertebral, na altura da terceira vértebra lombar (L3). Anteriormente, é cruzada pela artéria e veia mesentéricas superiores.[3]
- Parte ascendente ou quarta parte: com aproximadamente 5 cm, segue no sentido ínfero-superior, ascendendo até a borda superior da vértebra L2, no nível da flexura duodenojejunal.[3]
A irrigação sanguínea do duodeno é feita por artérias oriundas do tronco celíaco, como a artéria gastroduodenal e seus ramos, a artéria pancreaticoduodenal superior e a artéria supraduodenal, que irrigam o duodeno proximal. Ramo da mesentérica superior, a artéria pancreaticoduodenal inferior irriga o duodeno distal. As veias do duodeno acompanham as artérias e drenam, direta ou indiretamente, para a veia porta hepática. Os vasos linfáticos, da mesma forma, acompanham as artérias e veias e drenam para uma rica rede linfática da região. A inervação do duodeno é feita por fibras derivadas do nervo vago e dos nervos esplâncnicos maior e menor.[3]
Jejuno
O jejuno é a segunda parte do intestino delgado. Junto com o íleo, forma um tubo que se estende por 6–9 m, sendo que a parte do jejuno corresponde a dois quintos desse tubo. Surge a partir da flexura duodenojejunal, a partir da qual o trato gastrointestinal passa a seguir um caminho intraperitoneal, isto é, suspenso na cavidade peritoneal.[2][4]

A artéria mesentérica superior faz a irrigação do jejuno por meio de seus ramos próprios, as jejunais. Essas artérias se unem para formar as chamadas arcadas arteriais, que dão origem à vasa recta, um conjunto de vasos retos que seguem para o jejuno e o íleo, sendo mais abundantes e longos no primeiro. A drenagem venosa é feita pela veia mesentérica superior, que se une, próximo à cabeça do pâncreas, à veia esplênica para formar a veia porta hepática.[4] A inervação simpática chega até o tecido por um plexo nervoso periarterial, que acompanha a artéria mesentérica superior, inervando todas as partes irrigadas por ela. Os nervos são provenientes da raiz ventral dos segmentos T8-T10 da medula espinhal, passam pelo gânglios paravertebrais até atingirem os nervos esplâncnicos.[5]
Íleo
O íleo corresponde aos três quintos distais do intestino delgado. Surge a partir do jejuno e termina ao abrir-se no intestino grosso, pela válvula ileocecal, que une o íleo terminal ao ceco, na região pélvica. Não existe uma clara demarcação quanto à divisão entre jejuno e íleo, embora existam diferenças importantes que distinguem os dois, como a parede, que é mais delgada no íleo, assim como a vasa recta se apresenta mais curta, em relação ao jejuno, e a maior deposição de tecido adiposo mesentérico nesta região.[2][4]
O íleo, assim como o jejuno, é irrigado pela artéria mesentérica superior, mas, dessa vez, pelos ramos ileais, que, da mesma forma, emitem as arcadas arteriais, que se anastomosam em arcos, que emitem a vasa recta. A drenagem venosa também é realizada por meio da veia mesentérica superior. O íleo apresenta riqueza de vasos e gânglios linfáticos, divididos em grupos principais, como os linfonodos mesentéricos justa-intestinais, mesentéricos, nódulos superiores (centrais) e ileocólicos. Também como no jejuno, a inervação atinge os tecidos pelo plexo nervoso periarterial, que acompanha a artéria mesentérica superior.[4]
Desenvolvimento
O aparelho gastrointestinal já está se formando na quarta semana do desenvolvimento embrionário, quando o intestino primitivo se fecha (na extremidade cefálica, com a membrana bucofaríngea, e na extremidade caudal, com a membrana cloacal) e parte do saco vitelino, revestido por endoderma, é incorporada no interior do embrião. A camada de endoderma dará origem à maior parte do epitélio e das glândulas do trato gastrointestinal, enquanto o tecido conjuntivo, muscular e outras camadas do tubo digestório vão derivar do mesoderma esplâncnico, situado ao redor do intestino primitivo, que pode ser descrito em três partes: anterior, médio e posterior.[6]
Da porção caudal do intestino anterior surgirá o duodeno, que se situa próximo à abertura do ducto colédoco. Também há contribuições da região cefálica do intestino médio e do mesoderma esplâncnico. Por volta da sexta semana, ocorre a proliferação das células epiteliais que revestem a luz do duodeno, obliterando-a. Posteriormente, há uma recanalização do duodeno, no tempo que antecede o fim do período embrionário.[6] O jejuno e o íleo, assim como outra parte do duodeno serão originadas a partir do intestino médio.[7]
Características histológicas


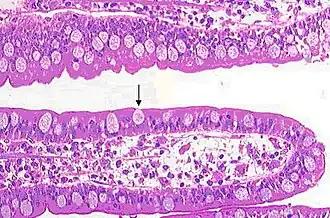
O intestino delgado está dividido em três regiões anatômicas, porém de constituição histológica semelhante. Apesar disso, pequenas diferenças permitem sua identificação. As características em comum são tais como a presença de modificações na superfície da luz intestinal, com o fim de aumentar a sua área. Essas adaptações podem ser pregas circulares, vilosidades, microvilosidades e criptas de Lieberkühn.[8]
A sua mucosa acompanha o padrão predominante no trato gastrointestinal: epitélio simples cilíndrico, com células caliciformes e planura estriada, mais lâmina própria e muscular da mucosa.[8] O epitélio é composto por células absortivas, células caliciformes, células de Paneth, células enteroendócrinas e células M:[9]
- Células absortivas ou enterócitos: são as mais numerosas do epitélio intestinal e sua função primária é absorção e transporte dos componentes absorvidos para a lâmina própria, através de quilomícrons. São células altas, com núcleo basal e com abundantes microvilosidades recobertas por uma camada espessa de glicocálix. Apresentam junções de oclusão (gap junctions), que impedem a passagem de material por entre as células.[8][9]
- Células caliciformes: são glândulas unicelulares, que produzem muco. Aumentam em número conforme se vai do duodeno em direção à porção terminal do íleo. Apresentam forma de cálice, além de aparelho de Golgi e retículo endoplasmático granular bem desenvolvidos.[9]
- Células de Paneth: são encontradas na parte inferior das criptas de Lieberkühn. Com citoplasma basofílico e grânulos de secreção altamente acidófilos na região apical, são facilmente reconhecíveis à microscopia óptica em colorações de rotina. Produzem e secretam a enzima antibacteriana lisozima, α-defensinas e outras glicoproteínas. Também são encontradas proteínas ricas em arginina, o que provavelmente explica a acidofilia, e zinco. Além disso, são capazes de fagocitar algumas bactérias e protozoários, o que sugere uma participação desse tipo celular na regulação da microbiota intestinal.[9]
- Células enteroendócrinas: produzem hormônios peptídicos, como colecistocinina, secretina, PIG e motilina, importantes na regulação fisiológica do trato gastrointestinal, seja no controle da função secretória de outras glândulas ou na regulação da motilidade.[9]
- Células M: são células epiteliais com microdobras e aspecto pavimentoso associadas às placas de Peyer e aos nódulos linfáticos. Os micro-organismos e macromoléculas que passam pela luz intestinal e penetram por essas células são liberados pelas vesículas endocíticas próximos a linfócitos T CD4+, podendo estimular uma resposta imune.[8][9]
A lâmina própria, por definição, é a faixa de tecido conjuntivo frouxo que está logo abaixo do epitélio de revestimento da mucosa e se estende até a muscular da mucosa. No intestino delgado, ela é rica em glândulas tubulosas e apresenta intensa vascularização. Além disso, conta com uma grande quantidade de células linfoides, que atuam na proteção contra a invasão de microorganismos. Essa população linfática é designada pela sigla em inglês GALT (gut-associated lymphoid tissue, em português "tecido linfoide associado ao intestino").[8][9]
Na submucosa (tecido conjuntivo denso), encontramos uma característica distinta do duodeno, a presença de glândulas de Brünner ou glândulas submucosas, que liberam uma secreção com pH básico (8,1 a 9,3), rica em glicoproteínas alcalinas e íons bicarbonato, importantes para neutralizar o quimo para o pH ótimo para as enzimas do suco pancreático e proteger a região proximal do intestino. É comum a todas as partes do intestino delgado a inervação intrínseca efetuada pelo plexo de Meissner (ou submucoso).[9]
A muscular externa é composta por uma camada circular interna e uma longitudinal externa, formadas por fibras de músculo liso. É importante durante a digestão, quando se contrai ritmicamente, sob o controle do plexo nervoso de Auerbach, encontrado por entre as células musculares, realizando dois tipos de contração: segmentação (contrações de mistura) e peristalse (contrações propulsivas).[9][10]
Por fim, a última camada de revestimento do intestino delgado é representada pela serosa, existente nas partes intraperitoniais.[9] Ela corresponde ao padrão, formando-se de uma faixa de epitélio simples escamoso (mesotélio) acompanhada de tecido conjuntivo. É equivalente ao peritônio visceral.[11]
Fisiologia
O funcionamento do intestino delgado está profundamente relacionado à digestão e absorção dos nutrientes. Diversos mecanismos estão envolvidos nos processos de movimentação do alimento, de secreção de soluções digestivas, de digestão e absorção de água, eletrólitos e nutrientes, além da circulação sanguínea e da regulação neuro-hormonal locais.[12]
Movimentação do alimento

Quando o quimo passa do estômago para o duodeno, por meio do piloro, dependendo do volume transportado, há o desencadeamento de múltiplos reflexos nervosos entéricos que tendem a retardar ou interromper o esvaziamento do estômago. Outros fatores, como o nível de distensão do duodeno, a irritação de sua mucosa, os graus de acidez e osmolalidade, além da presença de determinados subprodutos da digestão de proteínas e gorduras, também podem desencadear mecanismos regulatórios nervosos sobre o esvaziamento do estômago.[13]
Os movimentos do intestino são desempenhados por feixes de músculo liso encontrados em diferentes camadas e em variados sentidos. As células musculares lisas do trato gastrointestinal apresentam algumas peculiaridades, por exemplo, elas funcionam como um sincício, devido ao fato de estarem eletricamente conectadas por conexões juncionais, que permitem o fluxo de íons e, portanto, a transmissão dos sinais nervosos, entre as células adjacentes. Diferente das fibras nervosas, no músculo liso gastrointestinal é o influxo de íons cálcio com menores quantidades de sódio (em um mecanismo controlado pela calmodulina),[14] e não exclusivamente de íons sódio, o principal fator responsável por desencadear um potencial de ação. Por isso os canais encontrados nesse músculo são chamados de canais para cálcio-sódio, que apresentam abertura e fechamento mais lentos que os canais de sódio da célula nervosa.[15]
Existem dois tipos de movimentos desempenhados pelo trato gastrointestinal e que ocorrem no intestino delgado:
- Peristalse ou movimentos propulsivos: empurram o alimento através do tubo alimentar, permitindo a sua digestão e absorção adequadas. Um anel contrátil é formado na parede muscular do intestino e percorre o tubo, impulsionando o conteúdo à sua frente. Um dos principais estímulos que podem deflagrar os movimentos peristálticos é a distensão do órgão, que gera uma resposta do sistema nervoso entérico. A velocidade resultante do movimento peristáltico no intestino é de cerca de 1 cm/min.[16]
- Segmentação ou movimentos de mistura: ajudam a misturar o quimo com as secreções no intestino durante todo o tempo. Trata-se de movimentos constritivos, intermitentes, concêntricos e localizados, com duração de alguns segundos.[16]
A válvula ileocecal evita o retorno de fezes do cólon para o intestino delgado. Ela se fecha quando a pressão no intestino grosso aumenta. Na parede do íleo, encontra-se o esfíncter ileocecal, cujo grau de contração é controlado pelos reflexos do ceco, provocados por sua distensão.[16]
Secreção e digestão
As células caliciformes, espalhadas por todo o epitélio do tubo gastrointestinal, produzem muco secretado diretamente na superfície, que funciona como lubrificante e protetor. No intestino delgado, é característica a presença das profundas criptas de Lieberkühn, que contêm células secretoras especializadas. Ainda há, no duodeno, as glândulas tubulares submucosas (ou glândulas de Brünner).[17]
Entre o piloro e as papilas de Vater, encontram-se inúmeras glândulas de Brünner na camada submucosa. Essas glândulas secretam grande quantidade de muco de características alcalinas, que protege a parede duodenal e aumenta o pH, muito ácido em função do suco gástrico. Elas respondem a estímulos irritantes e táteis na mucosa além do estímulo do nervo vago e de hormônios, como a secretina.[17]
Em meio às vilosidades do intestino, observamos as criptas de Lieberkühn, compostas por células caliciformes e enterócitos, que, nas criptas, secretam água e eletrólitos. Essa secreção age praticamente "lavando" as vilosidades e criando um veículo para a absorção das substâncias do quimo encontradas nessas regiões.[17]
Enterócitos da mucosa do intestino delgado são capazes de produzir enzimas, que ao invés de serem secretadas, funcionam no interior da célula, digerindo as substâncias enquanto elas são absorvidas pelo epitélio. Diversas peptidases, sucrase, maltase, isomaltase e lactase são encontradas nessas células. Ainda uma pequena quantidade de lipase intestinal pode ser observada.[17]
Por fim, glândulas associadas ao trato gastrointestinal, como o pâncreas e o fígado, pela vesícula biliar, excretam seus produtos diretamente no intestino delgado, pelas papilas de Vater do duodeno.[18]
Absorção
Por dia, o intestino delgado absorve aproximadamente de 7 a 8 litros de água (ingerida e proveniente das secreções gastrointestinais), várias centenas de gramas de carboidratos, de 50 a 100 gramas de aminoácidos e de 50 a 100 gramas de íons. Por ser o principal órgão absortivo do corpo humano, ele dispõe de uma superfície adequada para o processo, com várias pregas, vilosidades e microvilosidades, que aumentam em cerca de mil vezes sua área superficial de mucosa, perfazendo um total de 250 metros quadrados.[19]
A água é absorvida por difusão osmótica. Os íons, como o sódio, são absorvidos por transporte ativo (dependente da hidrólise do ATP) através da membrana. O cloreto é captado no duodeno e no jejuno devido à diferença de potencial elétrico gerada pela absorção do sódio. Por esse mesmo motivo, há liberação de íons hidrogênio na luz intestinal. Eles se combinam com o bicarbonato formando ácido carbônico, que se dissocia em água e gás carbônico, o qual se difunde prontamente para o sangue para ser eliminado nos pulmões.[19]
Os carboidratos são absorvidos, predominantemente, na forma de monossacarídeos, como a glicose, que é transportada através da membrana intestinal juntamente com o sódio, por um processo de difusão facilitada. O sódio se liga a uma proteína, que também se liga à glicose, transportando-os simultaneamente para o interior das células.[13]
Proteínas são absorvidas na forma de dipeptídeos, tripeptídeos ou aminoácidos livres, por um mecanismo semelhante ao transporte da glicose ou por proteínas transportadoras especiais.[13] As gorduras, por sua vez, são incorporadas às micelas dos sais biliares, que são solúveis no quimo e carregam os monoglicerídeos e ácidos graxos livres até a borda da membrana das células epiteliais, à qual se incorporam para serem captadas pelo retículo endoplasmático liso, de onde passarão para a circulação linfática.[19]
Circulação sanguínea
A circulação esplâncnica é formada pelos vasos do sistema gastrointestinal. Todo o sangue que passa pelo intestino dirige-se, imediatamente, para o fígado, através da veia porta hepática. Isso é ideal para que micro-organismos e outras moléculas sejam removidos nos capilares sinusóides do fígado antes de entrar na circulação sistêmica. Da mesma forma, parte dos carboidratos e proteínas captados no intestino são absorvidos e armazenados pelas células hepáticas. A atividade intestinal e fatores metabólicos regulam o fluxo sanguíneo no intestino.[12]
Regulação neuro-hormonal

Na parede intestinal, encontra-se um sistema nervoso próprio do trato gastrointestinal com aproximadamente 100 milhões de neurônios. Ele efetua o controle dos movimentos e da secreção no local e é composto pelo plexo de Auerbach (ou plexo mioentérico) e pelo plexo de Meissner (ou plexo submucoso). O primeiro controla os movimentos gastrointestinais e o segundo as secreções e o fluxo de sangue na região.[12] Esse sistema pode funcionar independentemente de estímulos extrínsecos, porém está conectado aos sistemas simpático e parassimpático, capazes de aumentar ou inibir sua intensidade de ativação.[20]
Inúmeros neurotransmissores já foram identificados nas células dos plexos entéricos, dentre eles a acetilcolina, geralmente excitatória, e a norepinefrina, geralmente inibitória, são os mais bem compreendidos. O sistema nervoso parassimpático intensifica a atividade gastrointestinal, enquanto a inervação simpática a diminui.[12]
Há participação de hormônios tanto no controle da secreção de substâncias, quanto na regulação, mesmo que menos importante, da motilidade gastrointestinal. Na mucosa do duodeno e do jejuno, há a secreção de colecistocinina, que provoca a forte contração da vesícula biliar para a liberação da bile no intestino delgado. Também há produção de secretina no duodeno; esse hormônio tem a função de promover a secreção de bicarbonato pelo pâncreas. Além desses, são secretados o peptídeo inibidor gástrico (PIG), que retarda o esvaziamento do estômago, e a motilina, que é liberada periodicamente e aumenta a motilidade intestinal.[12]
Ver também
Referências
- ↑ a b c Asimov 2002, pp. 192-237
- ↑ a b c d Drake 2005, pp. 273-5
- ↑ a b c d e Moore 2010, pp. 240-1
- ↑ a b c d Moore 2010, pp. 241-6
- ↑ Moore 2010, pp. 301-5
- ↑ a b Moore 2008, pp. 220-7
- ↑ Moore 2008, pp. 234
- ↑ a b c d e Gartner 2003, pp. 325-33
- ↑ a b c d e f g h i j Ross 2002, pp. 491-501
- ↑ Guyton 2006, pp. 776
- ↑ Ross 2002, pp. 478
- ↑ a b c d e Guyton 2006, pp. 771-80
- ↑ a b c Koeppen 2008, pp. 516-32
- ↑ Koeppen 2008, pp. 274-7
- ↑ Koeppen 2008, pp. 511-3
- ↑ a b c Guyton 2006, pp. 785-8
- ↑ a b c d Guyton 2006, pp. 804-6
- ↑ Drake 2005, pp. 288
- ↑ a b c Guyton 2006, pp. 808-18
- ↑ Koeppen 2008, pp. 487-95
Bibliografia
- Asimov, Isaac (2002). O corpo humano: sua estrutura e funcionamento 1 ed. São Paulo: Hemus. ISBN 8528902846
- Drake, Richard L.; Vogl, Wayne; Mitchell, Adam W. M (2005). Gray's Anatomia para Estudantes 1 ed. Rio de Janeiro: Elsevier. ISBN 8535216383
- Gartner, Leslie P.; Hiatt, James L (2003). Tratado de histologia em cores 2 ed. Rio de Janeiro: Guanabara Koogan. ISBN 9788527708135
- Guyton, Arthur C.; Hall, John E (2006). Tratado de fisiologia médica 11 ed. Rio de Janeiro: Elsevier. ISBN 9788535216417
- Koeppen, Bruce M.; Stanton, Bruce A (2008). Berne & Levy Physiology (em inglês) 6 ed. Philadelphia: Mosby/Elsevier. ISBN 9780323045827
- Moore, Keith L.; Dalley, Arthur F.; Agur, Anne M. R (2010). Clinically Oriented Anatomy (em inglês) 6 ed. Baltimore: Lippincott Williams & Wilkins. ISBN 9780781775250
- Moore, Keith L.; Persaud, T. V. N (2008). Embriologia Básica 7 ed. Rio de Janeiro: Elsevier. ISBN 9788535226614
- Ross, Michael H.; Kaye, Gordon I.; Pawlina, Wojciech (2002). Histology: a text and atlas (em inglês) 4 ed. Baltimore: Lippincott Williams & Wilkins. ISBN 9780683302424
Ligações externas
| Sistema digestivo |
|---|
|
boca | faringe | esófago | estômago | pâncreas | fígado | intestino delgado (duodeno - jejuno - íleo) | intestino grosso | cólon | ceco | recto | ânus |