Criptas de Lieberkühn

Esquematização de uma cripta, com células caliciformes (brancas arrendondadas), células de Paneth no fundo e células enteroendócrinas espalhadas.
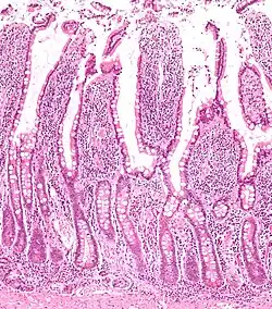
Vilosidades e criptas tingidas com H-E.

Criptas de Lieberkühn ou criptas intestinais são glândulas tubulares simples encontradas entre as vilosidades da parede do intestino delgado e intestino grosso (colon). Secretam diversas enzimas, como sucrase e maltase, e possuem células especializadas na produção de hormônios e enzimas de defesa.[1]

Possuem epitélio simples colunar e fazem parte da camada mucosa do intestino.

Células

Possuem três tipos de células principais[2]:

Patologias

As criptas podem ser lesionadas em:

Referências

  1. «Cópia arquivada». Consultado em 12 de outubro de 2013. Arquivado do original em 1 de agosto de 2013 
  2. http://medcell.med.yale.edu/histology/gi_tract_lab/crypts_of_lieberkuhn.php