Cólica biliar

Cólica biliar
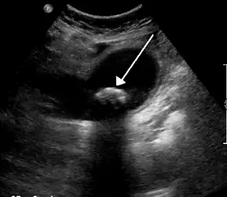
As cólicas biliares são em muitos casos a manifestação de cálculos na vesícula
Especialidadegastrenterologia
Classificação e recursos externos
CID-10K80.5
CID-9574.20
DiseasesDB2533
eMedicinemed/224
A Wikipédia não é um consultório médico. Leia o aviso médico 

Cólica biliar é a ocorrência de dor quando uma pedra na vesícula biliar bloqueia temporariamente o ducto cístico.[1] Na maior parte dos casos a dor situa-se na parte superior direita do abdómen, podendo irradiar para o ombro.[2] A dor dura geralmente de uma a algumas horas.[1] É frequente manifestar-se depois de uma refeição farta ou durante a noite.[1] São também comuns ataques sucessivos.[3]

A formação de cálculos biliares tem origem na precipitação de cristais que se agregam para formar pedras. Os cálculos mais comuns são constituídos por colesterol.[4] Entre outros possíveis constituintes estão cálcio, bilirrubina, pigmentos ou cálculos mistos.[4]Entre outras condições que produzem sintomas semelhantes estão a apendicite, úlcera péptica, pancreatite e a doença de refluxo gastroesofágico.[1]

O tratamento dos ataques de cálculos biliares geralmente consiste na remoção cirúrgica da vesícula biliar.[1] Esta intervenção pode ser realizada tanto por via de uma pequena incisão minimamente invasiva, como por uma incisão maior.[1] A cirurgia aberta com uma incisão maior está associada a maior número de complicações do que as incisões pequenas.[5] A cirurgia é geralmente feita sob anestesia geral.[1] Nas pessoas em que não é possível a cirurgia, pode ser tentada medicação para dissolver os cálculos ou litotripsia.[1] À data de 2017, não era ainda claro se a cirurgia é indicada para todas as pessoas com cólica biliar.[5]

Nos países desenvolvidos, os cálculos biliares estão presentes em 10 a 15% da população adulta.[3] A cada ano, as cólicas afetam 1–4% de todas as pessoas com cálculos biliares.[3] Em cerca de 30% das pessoas que sofrem um ataque ocorrem complicações relacionadas com os cálculos biliares no ano seguinte ao ataque.[3] Nos casos em que as cólicas biliares não são tratadas, cerca de 15% das pessoas desenvolvem inflamação da vesícula biliar.[3] Entre outras possíveis complicações estão a inflamação do pâncreas.[3]

Referências

  1. a b c d e f g h «Gallstones». NIDDK. Novembro de 2013. Consultado em 27 de julho de 2016 
  2. Internal Clinical Guidelines Team (outubro de 2014). «Gallstone Disease: Diagnosis and Management of Cholelithiasis, Cholecystitis and Choledocholithiasis. Clinical Guideline 188»: 21. PMID 25473723 
  3. a b c d e f Ansaloni, L (2016). «2016 WSES guidelines on acute calculous cholecystitis.». World journal of emergency surgery : WJES. 11. 25 páginas. PMC 4908702Acessível livremente. PMID 27307785. doi:10.1186/s13017-016-0082-5 
  4. a b Sabiston, David C.; Townsend, Courtney M. (2012). Sabiston textbook of surgery : the biological basis of modern surgical practi. Philadelphia, PA: Elsevier Saunders. pp. 328–358. ISBN 978-1-4377-1560-6 
  5. a b Services, Statens beredning för medicinsk och social utvärdering (SBU); Swedish Agency for Health Technology Assessment and Assessment of Social. «Surgery to treat gallstones and acute inflammation of the gallbladder». www.sbu.se (em inglês). Consultado em 1 de junho de 2017