Antraz

Nota: Se procura pela banda norte-americana, consulte Anthrax (banda); para a pedra preciosa, consulte Almandina.
Carbúnculo
SinónimosAntraz
Lesão na pele causada por carbúnculo
EspecialidadeInfectologia
SintomasCutâneo: pequena bolha com inflamação envolvente
Pulmonar: febre, dor no peito, falta de ar
Gastrointestinal: náuseas, vómitos, diarreia, dor abdominal
Por injeção: febre, abcesso[1]
Início habitual1 dia a 2 meses após exposição[1]
CausasBacillus anthracis[2]
Fatores de riscoTrabalhar com animais, viajantes, carteiros, militares[3]
Método de diagnósticoPresença de anticorpos ou toxinas no sangue, cultura microbiológica[4]
PrevençãoVacina contra o carbúnculo, antibióticos[3][5]
TratamentoAntibióticos, antitoxinas[6]
Prognóstico20–80% morrem sem tratamento[5][7]
Frequência>2000 casos por ano[8]
Classificação e recursos externos
CID-111B97
CID-10A22
CID-9022
OMIM606410
DiseasesDB1203
MedlinePlus001325
eMedicinemed/148
MeSHD000881
A Wikipédia não é um consultório médico. Leia o aviso médico 

Antraz[9] ou carbúnculo[10][a] é uma infeção causada pela bactéria Bacillus anthracis.[2] Existem quatro tipos: cutâneo, pulmonar, gastrointestinal e por injeção.[11] Os sintomas têm início entre um dia e dois meses após contrair a infeção.[1] O carbúnculo cutâneo manifesta-se com uma pequena bolha rodeada por inflamação, que na maior parte dos casos evolui para uma úlcera indolor e negra no centro.[1] O carbúnculo pulmonar apresenta-se com febre, dor no peito e falta de ar.[1] O carbúnculo gastrointestinal manifesta-se com diarreia que pode conter sangue, dores abdominais, náuseas e vómitos.[1] O carbúnculo por injeção manifesta-se com febre e um abcesso no local de inserção da agulha.[1]

O carbúnculo é transmitido pelo contacto com os endósporos da bactéria, que geralmente aparecem nos produtos derivados de animais infectados.[12] A transmissão é feita ao respirar, comer ou através de uma lesão na pele.[12] Geralmente, a doença não se transmite diretamente entre pessoas.[12] Entre os grupos de risco estão pessoas que trabalham com animais ou produtos de origem animal, viajantes, carteiros e pessoal militar.[3] O diagnóstico pode ser confirmado com a presença de anticorpos ou da toxina no sangue ou mediante uma cultura microbiológica de uma amostra do local infetado.[4]

A vacina contra o carbúnculo é recomendada para pessoas com elevado risco de infeção.[3] A imunização de animais contra o carbúnculo é recomendada em áreas onde tenham ocorrido infeções anteriores.[12] A infeção pode também ser prevenida com a administração de antibióticos como a ciprofloxacina, levofloxacina e doxiciclina nos dois meses após exposição.[5] Quando se dá a infeção, o tratamento é feito com antibióticos e, possivelmente, antitoxinas.[6] O tipo e a quantidade de antibióticos administrada depende do tipo de infeção.[5] A antitoxina é recomendada para pessoas com infeção disseminada.[5]

Embora seja uma doença rara, o carbúnculo em seres humanos é mais comum no centro de África e no sul da Ásia.[13] Dentro da Europa, é mais comum no sul do continente, sendo pouco comum no norte da Europa e na América do Norte.[14] Anualmente, ocorrem cerca de 2000 casos da doença em todo o mundo.[8][15] Mais de 95% destes casos correspondem a carbúnculo cutâneo.[7] Sem tratamento, o risco de morte por carbúnculo cutâneo é de 24%[5] e o risco de morte por carbúnculo gastrointestinal é de 25-75%. Mesmo com tratamento, o carbúnculo pulmonar corresponde a uma mortalidade de 50 a 80%.[5][7] Até ao século XX, as infeções por carbúnculo matavam centenas de milhar de pessoas e animais por ano.[16] Vários países desenvolveram armas químicas a partir do carbúnculo.[7] Em animais herbívoros, a infeção transmite-se por ingestão ou inalação dos esporos durante o pastoreio.[13] Os animais carnívoros contraem a infeção ao ingerir animais contaminados.[13]

Sinais e Sintomas

Infecção de pele por antraz

O período de incubação varia entre 1 a 6 dias, embora períodos superiores (inclusive, 60 dias) têm sido descritos. Pessoas com diabetes, imunidade baixa e pele lesionada são mais vulneráveis.[17]

Infecção cutânea

Também conhecida como doença de Hide-Porters. É caracterizada por formar uma bolha indolor, que se torna uma úlcera negra uma semana ou duas após a exposição. Apenas quando afeta os gânglios linfáticos causa dor. A infecção cutânea é a menos mortal de todas, mas se não for tratada, a infecção pode invadir a corrente sanguínea e causar morte em 20% dos casos.[18]

Infecção pulmonar

A infecção pulmonar por carbúnculo provoca, nos primeiros dias, sintomas semelhantes aos da gripe, seguidos de problemas respiratórios graves, por vezes fatais. Se não for tratada, a infecção por inalação é a mais letal, com uma taxa de mortalidade de aproximadamente 90% a 100%. A infecção pulmonar também é conhecida por Doença de Woolsorter.

Infecção gastrointestinal

A ingestão dos esporos do carbúnculo provoca sérias dificuldades gastrointestinais, cólica, vômito sanguinolento e diarreia. Se não for tratada leva à morte em cerca de 25% a 60% dos casos.

Causa

O Bacillus anthracis é um bacilo grande Gram-positivo, com cerca de 8 micrómetros por 3, dispostos aos pares ou individualmente. O B. anthracis, como todos os do seu género, produz endósporos quando encontra situações de adversidade. Os esporos do B.anthracis são centrais, aparecendo a meio do bacilo como uma zona mais clara na técnica Gram.

Tem cápsula antifagocítica e produz dois tipos de toxina principais. A toxina causadora de edema é composta de uma porção que reconhece o receptor especifico na célula alvo, sendo internalizada por endocitose, e outra com actividade de adenilato ciclase, promovendo a secreção de líquidos. A toxina letal é citotóxica.

Transmissão

Os casos humanos de carbúnculo devem-se normalmente ao contato direto com animais infectados ou com couro, ou carne infectados. As vítimas geralmente têm profissões relacionadas com a manipulação de animais ou de produtos derivados.[19] Os endósporos podem penetrar na pele (antraz cutâneo), serem inalados (antraz respiratório) ou consumidos através da carne dos animais contaminados (antraz gastrointestinal)

Virulência

Bacillus anthracis ao microscópio electrónico

Os esporos de carbúnculo têm cerca de 66 a 999 micrómetros, o que significa que podem ser retidos por um LBFV ou um filtro P100. O contágio mediato com carbúnculo disperso no ar pode ser evitado com uma máscara contra gases. As infecções através da pele podem ser evitadas por lavagem com água e sabão, desde que a pele não possua feridas.

A dose letal de carbúnculo é de 8 000-10 000 esporos. A bactéria do carbúnculo mata através de uma toxina. A virulência de uma variedade de carbúnculo depende da cápsula que a envolve e da toxina. Ambos não são afetados por fatores genéticos. "Os esporos podem sobreviver no solo durante anos, mas dependendo da quantidade de anos."

Rotas de infecção

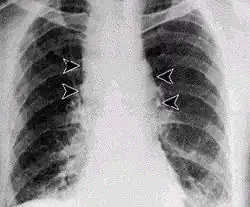
Antraz pulmonar com alargamento do Mediastino

O carbúnculo pode entrar no corpo humano por três vias:[19]

  • Cutânea, por feridas na pele (quase 95% dos casos);
  • Gastrointestinal, ao consumir carne ou leite contaminados (4% dos casos);
  • Pulmonar, por inalação dos esporos (Menos de 1% dos casos);

O carbúnculo não é contagioso, é pouco provável que se espalhe de pessoa para pessoa. A infecção dá-se quase sempre por exposição a esporos, e não à forma ativa.

Prevenção

A vacina utilizada nos Estados Unidos não contém células de B. anthracis e não provoca Anthrax. A vacina contra o antraz foi licenciada em 1970 e foi revalidada em 2008. Protege contra a forma cutânea e pulmonar. É recomendada a todos que trabalhem com herbívoros em países onde o Antraz é mais comum. Essas pessoas devem receber cinco doses da vacina (no músculo): a primeira dose, quando o risco de exposição potencial é identificado e as doses restantes em 4 semanas e aos 6, 12 e 18 meses após a primeira dose.[19]

Tratamento

O tratamento para as infecções de carbúnculo cutâneo e gastrointestinal inclui doses elevadas de antibióticos como penicilina, tetraciclinas, eritromicina ou cloranfenicol. Nos casos de infecção pulmonar, o tratamento recomendado é com ciprofloxacina ou doxiciclina, sendo mais eficaz logo após a exposição. Além disso, a profilaxia com antibióticos é crucial nos casos de antraz pulmonar, para salvar vidas.

Epidemiologia

Atualmente infecções de carbúnculo são incomuns. Estima-se que em todo o mundo ocorram entre 2.000 e 20.000 casos por ano humanos, sendo 95% cutâneos. As áreas mais comuns são o Oriente Médio, partes tropicais da Ásia, toda a África, região andina, América Central e partes da Europa como Espanha, Irlanda, Suécia e Grécia. Geralmente infectam pessoas que cuidam e consomem produtos de herbívoros domésticos ou selvagens como vacas, cabras, ovelhas, camelos e antílopes.[20]

É mais comum em países em desenvolvimento ou em países sem uma política pública de saúde que ataque o problema, já que as vacinações são a regra nos países desenvolvidos.

Porém, com o degelo da Sibéria, no ano de 2016, a incidência de carbúnculo (português europeu) ou antraz (português brasileiro) na Rússia e na Iacútia acabou aumentando extremamente, elevando-se a oitava e inclusive com um aumento muito extremo da mortalidade na região. Isso porque existia na região cadáveres antigos que possuíam resíduos de patógenos da espécie Bacillus anthracis e pertenciam a pessoas que morreram até 1941, quando a doença desapareceu da região, por mais que durante esses 75 anos os cadáveres estavam congelados e dentro de pergelissolo ou permafrost, houve o degelo os cadáveres com resíduos de Bacillus anthracis passaram a ficar expostos e assim ajudando a espalhar o patógeno.[21][22] Essa nova onda de antraz na atualidade recente do Século XXI foi reconhecida através da morte de um menino de 12 anos na Nenétsia por causa do carbúnculo e a infecção de 20 pessoas e a morte de uma pessoa na região.[23]

História

Pasteur, em 1881, realiza a vacinação de ovelhas

O Bacillus anthracis foi descoberto por Louis Pasteur em 1879. Em 1881, Pasteur e seu auxiliar Charles Chamberland criaram e experimentaram uma vacina publicamente contra o carbúnculo. Pasteur vacinou 25 ovelhas e deixou outras 25 não vacinadas, e depois injectou todas com B.a nthracis. Todas as ovelhas vacinadas sobreviveram, e todas as não vacinadas morreram, constituindo um dos primeiros sucessos da vacinação.

Robert Koch, médico e cientista alemão, foi, em 1877, o primeiro a identificar a bactéria que causa a doença.[24]

Já houve diversos acidentes com o desenvolvimento do carbúnculo como arma biológica, pois requerem mínimos equipamentos e são fáceis de conseguir. Dezenas de pessoas nos EUA e Rússia já foram vítimas de ataques com antraz.[25]

Ataques biológicos

Carta enviada contendo esporos de carbúnculo

Os esporos da bactéria podem ser usados em ataques bélicos. Os membros do exército dos Estados Unidos são vacinados rotineiramente antes de partirem em serviço para zonas do mundo onde um ataque biológico é considerado uma ameaça. A vacina do carbúnculo, produzida pela BioPort Corporation, não contém a bactéria viva e consegue prevenir a doença em 93% dos casos.

O carbúnculo pode ser facilmente obtido a partir de animais que morreram da doença. O antraz é raro nos países desenvolvidos, mas comum nos subdesenvolvidos. A cultura de esporos de carbúnculo é extremamente fácil. Um estudante de microbiologia pode fazê-lo com equipamentos muito simples. Mas a produção de carbúnculo sob a forma de aerossol, a forma mais apropriada para a guerra biológica, necessitaria de equipamentos sofisticados e pessoal altamente qualificado.

Durante os ataques com carbúnculo nos EUA em 2001 esporos de antraz de alta virulência foram introduzidos sob a forma de pó em envelopes enviados a várias figuras públicas nos EUA. Houve vários casos de doença, e o governo americano viu-se obrigado, por prevenção, a encomendar grandes doses de ciprofloxacina. Em meados de 2008, o FBI estreitou seu foco para Edwards Bruce Ivins, um cientista que trabalhou em laboratórios de biodefesa do governo dos EUA. Ivins teria sido informado acerca de iminente indiciamento e morreu de uma overdose de "Tylenol com Codeína," o que foi relatado como um suicídio em 1 de agosto de 2008.

Notas

Referências

  1. a b c d e f g «Symptoms». CDC. 23 de julho de 2014. Consultado em 14 de maio de 2016. Cópia arquivada em 11 de maio de 2016 
  2. a b «Basic Information What is anthrax?». CDC. 1 de setembro de 2015. Consultado em 14 de maio de 2016. Cópia arquivada em 17 de maio de 2016 
  3. a b c d «Who Is At Risk». CDC. 1 de setembro de 2015. Consultado em 14 de maio de 2016. Cópia arquivada em 11 de maio de 2016 
  4. a b «Diagnosis». CDC. 1 de setembro de 2015. Consultado em 14 de maio de 2016. Cópia arquivada em 11 de maio de 2016 
  5. a b c d e f g Hendricks, KA; Wright, ME; Shadomy, SV; Bradley, JS; Morrow, MG; Pavia, AT; Rubinstein, E; Holty, JE; Messonnier, NE; Smith, TL; Pesik, N; Treadwell, TA; Bower, WA; Workgroup on Anthrax Clinical, Guidelines (fevereiro de 2014). «Centers for disease control and prevention expert panel meetings on prevention and treatment of anthrax in adults». Emerging Infectious Diseases. 20 (2). PMC 3901462Acessível livremente. PMID 24447897. doi:10.3201/eid2002.130687 
  6. a b «Treatment». CDC. 14 de janeiro de 2016. Consultado em 14 de maio de 2016. Cópia arquivada em 11 de maio de 2016 
  7. a b c d «Anthrax». FDA. 17 de junho de 2015. Consultado em 14 de maio de 2016. Cópia arquivada em 7 de maio de 2016 
  8. a b Anthrax: Global Status. [S.l.]: GIDEON Informatics Inc. 2016. p. 12. ISBN 9781498808613. Cópia arquivada em 10 de setembro de 2017 
  9. Infopédia. «antraz | Definição ou significado de antraz no Dicionário Infopédia da Língua Portuguesa». Infopédia - Dicionários Porto Editora. Consultado em 21 de outubro de 2021 
  10. Infopédia. «carbúnculo | Definição ou significado de carbúnculo no Dicionário Infopédia da Língua Portuguesa». Infopédia - Dicionários Porto Editora. Consultado em 21 de outubro de 2021 
  11. «Types of Anthrax». CDC. 21 de julho de 2014. Consultado em 14 de maio de 2016. Cópia arquivada em 11 de maio de 2016 
  12. a b c d «How People Are Infected». CDC. 1 de setembro de 2015. Consultado em 14 de maio de 2016. Cópia arquivada em 26 de dezembro de 2016 
  13. a b c Turnbull, Peter (2008). Anthrax in humans and animals (PDF) 4 ed. Geneva, Switzerland: World Health Organization. pp. 20, 36. ISBN 9789241547536. Cópia arquivada (PDF) em 30 de novembro de 2016 
  14. Schlossberg, David (2008). Clinical Infectious Disease. [S.l.]: Cambridge University Press. p. 897. ISBN 9781139576659. Cópia arquivada em 10 de setembro de 2017 
  15. «Anthrax». CDC. National Center for Emerging and Zoonotic Infectious Diseases. 26 de agosto de 2009. Consultado em 14 de maio de 2016. Cópia arquivada em 26 de dezembro de 2016 
  16. Cherkasskiy, B. L. (1999). «A national register of historic and contemporary anthrax foci». Journal of Applied Microbiology. 87 (2): 192–195. PMID 10475946. doi:10.1046/j.1365-2672.1999.00868.x 
  17. «Joomla - Joomla». www.amse.es. Consultado em 27 de maio de 2023 
  18. «Ántrax cutáneo: MedlinePlus enciclopedia médica illustración». medlineplus.gov (em espanhol). Consultado em 27 de maio de 2023 
  19. a b c «Vacuna contra el ántrax: MedlinePlus medicinas». medlineplus.gov (em espanhol). Consultado em 27 de maio de 2023 
  20. PERRET P, Cecilia et al. Ántrax (Carbunco). Rev. chil. infectol. [online]. 2001, vol.18, n.4 [citado 2014-08-14], pp. 291-299 . Disponible en: <scielo.cl>. ISSN 0716-1018. http://dx.doi.org/10.4067.
  21. «Degelo na Sibéria pode resgatar uma das doenças mais letais da História». 19 de agosto de 2016. Consultado em 19 de agosto de 2016 
  22. «Menino morre por antraz na Rússia» 
  23. «Surto de antraz deixa 20 infectados e um morto na Rússia» 
  24. Madigan M; Martinko J (editors). (2005). Brock Biology of Microorganisms 11th ed. [S.l.]: Prentice Hall. ISBN 0-13-144329-1 
  25. Michael C. Fishbein. "Anthrax – From Russia with Love". Infectious Diseases: Causes, Types, Prevention, Treatment and Facts. MedicineNet.com. Retrieved 13 August 2008.

Ligações externas