Líquen plano

Líquen plano
Líquen plano
Especialidadedermatologia
Classificação e recursos externos
CID-11EA91
CID-10L43
CID-9697.0
DiseasesDB7452
MedlinePlus000867
eMedicine1123213
MeSHD008010
A Wikipédia não é um consultório médico. Leia o aviso médico 

Líquen plano (Lichen planus) é uma doença que afeta mucosa e pele e apresenta natureza inflamatória crônica, incidindo em cerca de 2% da população e acometendo de maneira mais usual mulheres acima dos 40 anos de idade.[1]

As lesões orais são mais frequentes que as cutâneas e mais resistentes ao tratamento e, em geral, associam-se ao estresse. O aspecto bucal é variado, podendo as lesões estarem dispostas de modo linear, anular ou reticular, fazendo com que se assumam diferentes formas clínicas: forma erosiva, forma reticular, forma atrófica, forma bolhosa, forma de placa e forma papular.

Desde 1978 a Organização Mundial de Saúde (OMS) classifica o líquen plano como sendo uma condição cancerizável pré-maligna, existindo controvérsias entre diversos autores. Cerca de 2 a 3% das lesões tornam-se malignas. Porém menos que 0,5% dos líquenes plano em não fumantes desenvolvem carcinogênese. É mais comum a transformação maligna em líquenes erosivos ou atróficos. O risco de transformação aumenta quando o portador de líquen é exposto a fatores mutagênicos, (pois este torna-se mais sensível), eles são o tabaco, álcool, mascar fumo e a candidíase.

Histologicamente, observa-se superfície epitelial ortoqueratinizada ou paraqueretinizada, degeneração ou liquefação da camada basal do epitélio, papilas epiteliais em forma de serrilhado, infiltrado linfocitário e macrofágico em banda subepitelial.

Causas

Lábio com líquen plano

Os mecanismos primordiais envolvidos na patogenia do líquen plano são mediados imunologicamente. As interações entre os linfócitos e os ceratinócitos são de grande importância na patogênese das reações tissulares liquenóides, tanto pelas citocinas produzidas pelos ceratinócitos como pelo evidente epidermotropismo dos linfócitos CD4+ que chegam a representar 80% dos linfócitos observados na derme nesta afeção.[2]

Um vírus ou outro agente desencadeante, como uma droga, se fixaria na superfície do ceratinócito, tornando-o antigênico, alterando a interpretação de histocompatibilidade pelo linfócito T. Estes ceratinócitos alterados seriam processados pelas células de Langerhans, que estão aumentadas no líquen plano, sendo então atacados pelos linfócitos CD4+ (T helper).

O processo inflamatório resultante determinaria a morte do ceratinócito por apoptose, com a formação de corpos coloides, infiltrado dérmico significativo e coliquação da membrana basal. Seria um processo de linfotoxidade semelhante à erupção liquenoide observada nas reações enxerto versus hospedeiro e nas erupções liquenoides por drogas. O sistema de ancoragem epitelial está alterado no líquen plano. A circunstância de até 10% dos pacientes terem uma história familiar positiva, o acometimento de gêmeos monozigotos e o aumento na freqüência de HLA-B7, A3, B5, A28, DR1 e DR10 falam a favor da participação de fatores genéticos na sua patogênese.

Quadros semelhantes ao líquen plano pode surgir após o uso de certas drogas ou resultar de uma reação enxerto versus hospedeiro após transplantes de medula óssea. Há relatos da influência psicogênica sobre a enfermidade e de sua associação com lúpus eritematoso, morféia, cirrose biliar, hepatite crônica ativa e hepatite C. A hepatite deve ser considerada em pacientes com apresentação não-usual e disseminada de líquen plano.

Sinais e sintomas [3]

Líquen plano cutâneo com crostas.

Apresenta-se como pápulas aplanadas com bordos angulados irregulares, brilhantes, inicialmente eritematosas, tornando-se depois violáceas. O diâmetro das pápulas vai de 2 a 10mm e em sua superfície observam-se linhas esbranquiçadas (estrias de Wickham) que, histologicamente, correspondem a uma hipergranulose focal, sendo melhor visualizadas após umedecimento da lesão. Isoladas ou confluentes, podem se dispor em forma linear (fenômeno de Köbner) em locais de prurido intenso. O aspecto anular é mais comumente visto no dorso do pênis.

Geralmente acometem de forma simétrica as superfícies flexoras dos punhos, os tornozelos e as regiões lombares, mas outras regiões do corpo podem ser afetadas, inclusive axilas. Quando as lesões estão no terço médio das pernas e tornam-se antigas, mostram-se hipertróficas e verrucosas. As membranas mucosas são afetadas em 30-70% dos casos, particularmente a mucosa oral onde se vê finas linhas brancas com padrão reticular situadas na mucosa jugal. Lesões ulceradas orais podem ser sítio de transformação epiteliomatosa. A semimucosa labial pode estar comprometida. Apesar de raras, as lesões bolhosas podem ocorrer em quadro preexistente ou na pele normal.

As unhas estão afetadas em 10% dos casos, principalmente as unhas das mãos. O líquen plano pode ser uma das causas da síndrome das vinte unhas. O prurido é constante podendo ser fraco ou severo, principalmente nas lesões extensas e na variedade hipertrófica. O clareamento das lesões é lento, sendo 50% nos primeiros nove meses e 85% em 18 meses, deixando muitas vezes uma hiperpigmentação residual.

Variações Clínicas [4]

As lesões bucais são freqüentemente múltiplas, bilaterais, estriadas ou como placas esbranquiçadas, ocasionalmente erodidas.

  • Líquen Plano Hipertrófico: Ocorre principalmente na área pré-tibial e em torno dos tornozelos. As lesões têm aspecto verruciforme, cor púrpura e o prurido é severo, podendo durar mais de 8 anos.
  • Líquen Plano Folicular: Apresenta-se como pápulas de localização folicular, particularmente no couro cabeludo, podendo levar a alopecia cicatricial. Também conhecida como lichen planopilaris, esta variedade é mais vista em mulheres e pode estar relacionada com maior envolvimento ungueal e erosões de membranas mucosas. Além do líquen plano pilar clássico, existem outras variantes como a (1) alopecia frontal fibrosante, caracterizada principalmente por perda dos cabelos na região frontotemporal e também das sobrancelhas[5][6]; (2) alopecia fibrosante em padrão de androgenética, que pode mimetizar calvície e (3) Síndrome de Graham-Little-Picardi-Lassueur, na qual há alopecia cicatricial no couro cabeludo, perda de pelos não cicatricial em região pubiana e axilas e ceratose pilar nos membros.[7]
  • Líquen Plano Bolhoso: Mostra bolhas subepidérmicas, devidas a severa degeneração liquefativa das células da camada basal, sobre as lesões do líquen plano. Existe uma variedade, o líquen plano penfigóide, que pode inclusive afetar a pele aparentemente normal com depósitos de IgG e C3 na base da bolha, o que o diferencia do penfigóide bolhoso onde este depósito ocorre no teto da bolha.
  • Líquen Plano Actínico: Ocorre nas áreas expostas como a face podendo apresentar lesões anulares, hiperpigmentadas com um halo hipocrômico, atingindo crianças e adultos jovens.
  • Líquen Plano Linear: Mais comum na infância, podendo atingir toda a extensão de um membro com disposição linear ou zosteriforme. Deve-se distingui-lo do nevo epitelial linear, do líquen estriado e da psoríase linear. Podem ser vistas lesões lineares múltiplas seguindo as linhas de Blaschko.
  • Líquen Plano Palmar e Plantar: Apresenta disposição laminar ou puntata de coloração amarelada, ceratósica e quando na região plantar pode ulcerar. Nas lesões isoladas pode ser confundido com verruga, calosidade, sífilis secundária e psoríase.
  • Líquen plano anular: Quando observam-se apenas poucas e largas lesões anulares, havendo discreto centro atrófico. Nos homens é visto tipicamente no pênis.
  • Líquen plano de membranas mucosas: As lesões são vistas somente nas mucosas, principalmente boca, em 15% dos casos. É bom lembrar que, associado às lesões cutâneas, o envolvimento das mucosas é em torno de 50%. Há a forma superficial, normalmente assintomática, onde se vê um aspecto reticulado esbranquiçado, quase sempre na língua ou mucosa jugal. Na forma erosiva ulcerações extensas podem envolver a boca, região vulvovaginal, ânus ou glande. A transformação maligna em CEC ocorre em 1,2% dos casos.

O tipo mais comum é a forma reticular, caracterizada pela presença de numerosas linhas ou estrias ceratóticas que se entrelaçam produzindo um padrão rendilhado. A área mais comumente envolvida é a mucosa jugal.

O eritematoso ou erosivo [8], apresenta-se geralmente na língua ou mucosa jugal.

O líquen plano em forma de placa tende a assemelhar-se clinicamente à leucoplasia, com distribuição multifocal. As placas variam geralmente entre ligeiramente elevadas e lisas a levemente irregulares. A localização principal desta variante é no dorso da língua e na bochecha.

Existe também uma forma mais rara de líquen plano que é a variante bolhosa. As bolhas ou vesículas variam de alguns a vários centímetros de diâmetro. Essas bolhas geralmente tem curta duração e, ao se romperem, deixam uma superfície ulcerada e extremamente incômoda.

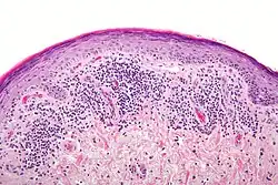
Histopatologia

Lichen planus intermed mag

É típica, com degeneração hidrópica das células da camada basal levando a formação de queratinócitos necróticos (corpos colóide), hipergranulose focal, hiperceratose ortoceratótica, acantose em “dentes de serra”, incontinência pigmentar e infiltrado linfocitário em faixa na derme. A imunofluorescência direta mostra depósitos globulares de IgM, e ocasionalmente IgG e IgA, representando queratinócitos apoptóticos. Observa-se depósito de fibrina na junção dermo-epidérmica.[9]

Diagnóstico

Os casos característicos são de fácil diagnóstico clínico. Mas como o Líquen Plano pode ser confundido com outras doenças, deve-se fazer o diagnóstico diferencial principalmente com reações liquenóides, leucoplasia, carcinoma espino celular extenso, pênfigo, penfigóide benigno de mucosa, candidíase pseudo-membranosa e leucoedema.[10]

Tratamento

O tratamento consiste apenas no controle da sintomatologia dolorosa através do uso de corticosteróides de uso local à base de pomadas ou soluções na forma de colutório. Deve-se preservar o paciente e se tiver qualquer alteração clínica na lesão, deve-se proceder à biopsia para analisar possível transformação malígna.[11]

O tratamento para líquen plano é eficaz para o controle da doença, mas não para a cura. Nenhum tratamento local ou sistêmico específico é uniformemente eficaz no controle do líquen plano. Os corticosteróides constituem o grupo de medicamentos mais eficazes. A aplicação tópica, bem como a injeção local de esteróides, tem sido usada com sucesso no controle, mas não na cura da doença. O líquen plano pode desaparecer e, recorrer após vários anos.

A orientação para afastar-se de agentes irritantes de mucosa é fundamental para que não haja maior prejuízo ou exacerbação dos sintomas indesejados, substâncias alcoólicas (bebidas e bochechos), sucos cítricos e temperos devem ser evitados. Com freqüência, a gravidade da doença é proporcional ao grau de estresse do paciente, portanto torna-se fundamental conscientizar o paciente da importância do controle emocional e da realização periódica do acompanhamento da lesão pelo profissional. Muitas vezes o apoio por um psiquiatra ou psicólogo é indicado.

Livros

CAWSON,BINNIE,EVESON. Enfermidades da boca: correlações clínicas e patológicas. Segunda edição. Artes médicas, 1997;

REGEZI, SCIUBBA, POGREL.Atlas de Patologia Oral e Maxilo Facial. Editora Guanabaraba Koogan S.A, 2002

GEORGE LASKARIS. Atlas colorido de Doenças Bucais da Infância e da Adolescência. Artmed Editora, 2000

REGEZI, SCIUBBA, JORDAN. Patologia Oral: correlações clinicopatológicas. Quinta edição. Saunders Elsenier, 2008.

NEVILLE, DAMM, ALEN, BOUQUOT. Patologia Oral e Maxilofacial. Segunda edição. Guanabara Koogan.

Rev. Bras. Otorrinolaringol. vol.74 no.2 São Paulo Mar./Apr. 2008

Referências