Síndrome de Lady Windermere

Mycobacterium avium-intracellulare infection
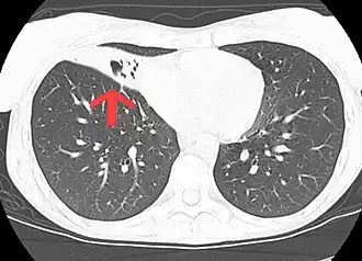
CT scan de múltiplos nódulos e bronquiectasia nos lóbulos médios pulmonares
Especialidadeinfecciologia
Classificação e recursos externos
CID-10A31.0
CID-9031.0
DiseasesDB29182
eMedicinemed/1532
MeSHD015270
A Wikipédia não é um consultório médico. Leia o aviso médico 

Infecção por Mycobacterium avium-intracellulare (MAI) ou Síndrome de Lady Windermere é uma infecção pulmonar bacteriana causada por um complexo de bactérias oportunistas Mycobacterium avium e Mycobacterium intracellulare que afeta principalmente imunodeprimidos. Afeta 4 mulheres para cada homem afetado, sendo mais comum após os 50 anos ou em crianças com menos de 4 anos. [1]

Causas

Mycobacterium avium e Mycobacterium intracellulare são ubíquas no ambiente, ou seja, podem ser encontradas por todo o mundo na água doce ou salgada, no solo, em matéria orgânica e em diversos animais. Podem ser ingerido ou inalado. Em imunodeprimidos, como recém-nascidos e idosos, pode se espalhar pelos vasos linfáticos e pela corrente sanguínea afetando fígado, baço e medula óssea. Não são distinguíveis de bacilos Mycobacterium tuberculosis em um exame com baciloscópico, é necessário cultivá-los para diferenciar-los.[2]

Sinais e sintomas

Em casos graduais (insidiosos) os sintomas são[3]:

  • Tosse persistente com ou sem sangue
  • Muito catarro,
  • Dificuldade para respirar,
  • Ruídos pulmonares,
  • Febre,
  • Suor noturno,
  • Fadiga,
  • Perda de peso

Quando associado a AIDS os sintomas incluem também linfadenopatias generalizadas, hepatoesplenomegalia (fígado e baço inchados), diarreia, palidez e manchas pelo corpo. Já em crianças, aparece com linfadenite que pode melhorar mesmo sem tratamento antibiótico.[3]

Etimologia

Lady Windermere, é a protagonista da peça de Oscar Wilde escrita em 1892, "O leque de Lady Windermere". [4] Porém em nenhum momento da peça ela demonstra qualquer sinal de doença, de modo que infecção por MAI [5]

Tratamento

O tratamento medicamentoso é feito com uma combinação de três antibióticos anti-tuberculose por seis meses dentre: rifampicina, rifabutina, ciprofloxacina, amicacina, etambutol, estreptomicina, claritromicina ou azitromicina.

Referências

  1. Lindeboom JA, Prins JM, Bruijnesteijn van Coppenraet ES, et al; Cervicofacial lymphadenitis in children caused by Mycobacterium haemophilum. Clin Infect Dis. 2005 Dec 1;41(11):1569-75. Epub 2005 Oct 28.
  2. http://www.scielo.org.ar/scielo.php?script=sci_arttext&pid=S0025-76802009000100007
  3. a b http://www.patient.co.uk/doctor/mycobacterium-avium-complex Erro de citação: Código <ref> inválido; o nome "patient" é definido mais de uma vez com conteúdos diferentes
  4. http://radiopaedia.org/articles/lady-windermere-syndrome
  5. Kasthoori JJ, Liam CK, Wastie ML (February 2008). "Lady Windermere syndrome: an inappropriate eponym for an increasingly important condition" (PDF). Singapore Med J 49 (2): e47–9. PMID 18301826.