Rickettsia conorii

Rickettsia conorii

Classificação científica
Reino: Bacteria
Filo: Proteobacteria
Classe: Alphaproteobacteria
Ordem: Rickettsiales
Família: Rickettsiaceae
Género: Rickettsia
Espécie: R. conorii
Nome binomial
Rickettsia conorii

Rickettsia conorii é uma bactéria de vida intracelular obrigatória, que atua como agente etiológico da febre escaronodular, uma febre maculosa do grupo B.

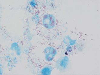
As riquétsias são organismos pleomórficos, geralmente cocobacilos. São Gram – negativos de 200 a 500 nm por 800nm de diâmetro. Têm uma parede celular, com lipoproteínas e peptidoglicano. Coram pelo método de Gimènez.

São incapazes de crescer na ausência de células vivas do hospedeiro. Instalam-se em células endoteliais.

Transmissão

Segundo o Ministério da Saúde português, faz parte do grupo 3, de risco para os trabalhadores. O vector é o carrapato do cão Rhipicephalus sanguineus, Haemaphysalis sp., Amblyomma sp. ou Hyalomma sp.. A bactéria é transmitida pela picada da carraça no homem. A carraça é portadora da bactéria através da mãe, ou picada em animais portadores.

Seu período de incubação é de 3 a 7 dias depois da picada da carraça

Diagnóstico

Desde a descoberta por Weil & Felix em 1921, o diagnóstico laboratorial das riquetsioses baseia-se em provas sorológicas inespecíficas. Consiste na reacção de aglutinação dos soros de pacientes com tifo exantemático epidémico com estirpes de Proteus sp., bem como na utilização da reacção de imunofluorescência indireta, com antigenios específicos.

Podem ser utilizados métodos directos de detecção do agente em biópsias de tecidos ou autópsias de órgãos, por isolamento em cultura de células, por métodos histoquímicos e pela detecção genotípica por métodos de biologia molecular.

Epidemiologia

A taxa de incidência de febre escaro-nodular em Portugal, de 1989 a 2000, foi de 9,8 casos por 100 mil habitantes, uma das mais altas dos países da bacia do Mediterrâneo. Em 1999, a taxa de letalidade foi de 2,8%.

Os sintomas da febre botonosa são: a vasculite generalizada (responsável das manifestações clínicas da doença), mal estar geral, cefaleia intensa, anorexia (sintoma), fotofobia, mialgia, dores articulares, febre alta frequentemente entre 39º a 40º, embora nos casos graves pode alcançar até 42º, edema generalizado, trombocitopénia, ansiedade, insónia, irritabilidade e delírio.

Ligações externas