Neurocirurgia

Neurocirurgia
SistemaNervoso
FocoDiagnóstico e cirurgia das doenças do sistema nervoso.
Doenças significativasCondições congênitas, traumáticas, infecciosas, tumorais, vasculares, degenerativas e funcionais que se originam ou afetam o sistema nervoso central e periférico.

Neurocirurgia é a especialidade médica dedicada ao diagnóstico e ao tratamento cirúrgico das doenças do sistema nervoso central e periférico, incluindo o cérebro, a medula espinhal, os nervos periféricos e estruturas associadas. Abrange intervenções em condições congênitas, traumáticas, infecciosas, tumorais, vasculares, degenerativas e funcionais, podendo atuar tanto em situações eletivas quanto de emergência.[1][2][3]

A especialidade utiliza técnicas abertas, minimamente invasivas e procedimentos guiados por imagem, além de recursos como microscopia cirúrgica, endoscopia, neuronavegação e monitorização neurofisiológica intraoperatória.[4]

História

Os registros mais antigos de procedimentos neurocirúrgicos remontam à Antiguidade, com evidências de trepanação em diversas culturas.[5] Ao longo dos séculos, o desenvolvimento da anatomia, da anestesia, da assepsia e das técnicas de imagem permitiu a consolidação da neurocirurgia como especialidade médica independente no final do século XIX e início do século XX.[6]

O avanço da neuroimagem, da microcirurgia e da neuroanestesia, especialmente a partir da segunda metade do século XX, ampliou significativamente a segurança e o espectro de atuação dos procedimentos neurocirúrgicos.[6]

Áreas de atuação

A neurocirurgia compreende diversas subespecialidades, entre as quais se destacam:

Formação e especialização

A formação do neurocirurgião ocorre por meio de graduação em Medicina, seguida de residência médica em neurocirurgia. A duração e a estrutura da formação variam conforme o país, mas geralmente incluem treinamento prolongado em hospitais de alta complexidade, com ênfase em cirurgia, cuidados intensivos e neurologia clínica.[3]

No Brasil, após o término regular da graduação em seis anos, esidência em neurocirurgia compreende mais 5 anos de estudos com prática clínica e cirúrgica.[3][13] Após esse período e licenciado como médico, o interessado deve realizar prova de acesso e ser submetido à entrevista para obter o título. Em Portugal, a formação consiste num internato de 72 meses, composta pelos estágios de Neurocirurgia, Neurologia, Neurorradiologia, Cuidados Intensivos e estágios opcionais.[14][15]

Após a formação básica, os profissionais podem realizar estágios de aperfeiçoamento ou subespecialização em áreas específicas da neurocirurgia.[3][14]

Práticas clínicas

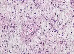
Fotomicrografia exibindo as células tumorais de glioma angiocêntrico por avaliação histológica, Coloração H&E.[16]

A atuação do neurocirurgião envolve avaliação clínica, interpretação de exames de imagem, indicação cirúrgica e acompanhamento pós-operatório. Os procedimentos podem incluir cirurgias abertas, técnicas minimamente invasivas, cirurgias endoscópicas e intervenções estereotáxicas.[2]

A neurocirurgia moderna frequentemente se desenvolve de forma multidisciplinar, em colaboração com neurologistas, radiologistas, oncologistas, fisiatras e outros profissionais da saúde dentro e fora da Medicina.[4]

Ver também

Referências

  1. «Neurological Surgery Specialty Description». American Medical Association (em inglês). Consultado em 19 de janeiro de 2026. Cópia arquivada em 12 de outubro de 2020
  2. 1 2 Mark S. Greenberg (2020). Handbook of neurosurgery (em inglês) 9ª ed. [S.l.]: Thieme. ISBN 978-1-68420-137-2
  3. 1 2 3 4 «Neurocirurgia: o que é, especialização na área e avanços tecnológicos». Hospital das Clínicas da Faculdade de Medicina da Universidade de São Paulo. Universidade de São Paulo. Consultado em 19 de janeiro de 2026
  4. 1 2 «O que é a Neurocirurgia e quando devo buscar um especialista?». A Beneficência Portuguesa de São Paulo. Consultado em 19 de janeiro de 2026
  5. Marcio Damasceno (6 de agosto de 2008). «Alemanha mostra técnicas cirúrgicas de 10 mil anos». BBC Brasil. BBC. Consultado em 19 de janeiro de 2026
  6. 1 2 Sebastião Silva Gusmão, José Gilberto de Souza (2000). «O nascimento da neurocirurgia brasileira» (PDF). Arquivos Brasileiros de Neurocirurgia. Consultado em 19 de janeiro de 2026
  7. «Especialização - Neurocirurgia vascular». Universidade Federal de São Paulo. Consultado em 19 de janeiro de 2026
  8. Cesar Cimonari de Almeida (22 de agosto de 2025). «Uma nova luz no tratamento de tumores cerebrais». Veja Saúde. Abril. Consultado em 19 de janeiro de 2026
  9. Manfrine Bernardo Lopes Barreto, Brenda Louise Prado Carranza, Henrique Placedino e Marques, Matheus Santos Silva, Denise Borges Mendanha (4 de abril de 2024). «Neurocirurgia funcional: avaliação dos resultados clínicos e complicações». Revista Ibero- Americana de Humanidades, Ciências e Educação- REASE. Consultado em 19 de janeiro de 2026
  10. «Tipos de procedimentos de neurocirurgia para dores crônicas nas costas e pescoço». New York Spine Institute. Consultado em 19 de janeiro de 2026
  11. Ricardo Santos de Oliveira, Helio Rubens Machado (2009). Neurocirurgia Pediátrica 1ª ed. [S.l.: s.n.] 436 páginas. ISBN 9788586703713
  12. Almir F. Andrade, Angelo L. Maset, Carlos Roberto Valêncio, Nelson Saade, Ítalo C. Suriano, Sérgio Listik, Ruy Monteiro, Luiz R. Aguiar, Carlos Vinícius M. Melo, Carlos T. Parisi de Oliveira, Luis R. Mello, Jorge Paranhos, Flávio Fiorillo, José Carlos Veiga (1 de dezembro de 2005). «Primeiro estudo cooperativo em neurotraumatologia» (PDF). Thieme. Arquivos Brasileiros de Neurocirurgia. Consultado em 19 de janeiro de 2026
  13. «Quanto tempo demora para se tornar um neurocirurgião?». Medway. Consultado em 19 de janeiro de 2026
  14. 1 2 «Portaria n.º 393/2019, de 6 de novembro de 2019». Diário da República Portuguesa. 6 de novembro de 2019. Consultado em 19 de janeiro de 2026
  15. Lídia Nunes Dias (3 de janeiro de 2022). «O Internato de Formação Especializada em Neurocirurgia: Qual o Atual Panorama Nacional?». Acta Médica Portuguesa. Revista Científica da Ordem dos Médicos. Consultado em 19 de janeiro de 2026
  16. Shakur SF, McGirt MJ, Johnson MW, Burger PC, Ahn E, Carson BS, Jallo GI (Março 2009). «Angiocentric glioma: a case series». Journal of Neurosurgery. Pediatrics (em inglês). 3 (3): 197–202. PMC 2675755Acessível livremente. PMID 19338465. doi:10.3171/2008.11.PEDS0858

Ligações externas