Glomerulonefrite membranoproliferativa
| Glomerulonefrite membranoproliferativa | |
|---|---|
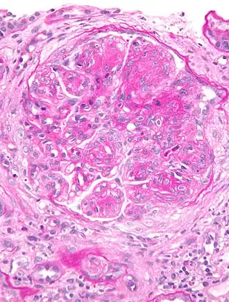
![]() | |
| Coloração ácido periódico-Schiff | |
| Especialidade | urologia |
| Classificação e recursos externos | |
| CID-10 | N00-N08 with .5 and .6 suffix |
| CID-9 | 581.2, 582.2, 583.2 |
| OMIM | 609814 305800 |
| DiseasesDB | 34457 |
| MedlinePlus | 000475 |
| eMedicine | med/887 |
| MeSH | D015432 |
| GeneReviews |
|
Glomerulonefrite membranoproliferativa (GNMP) é uma doença renal caracterizada por lesão da membrana basal e mesângios dos glomérulos dos néfrons, partes dos rins essenciais para a boa filtração do plasma sanguíneo.[1]
Causas
Existem diversas possíveis causas:[2]
- Doenças autoimunes (lúpus eritematoso sistêmico, esclerodermia, síndrome de Sjogren ou sarcoidose)
- Câncer (leucemia ou linfoma)
- Infecções crônicas (hepatite B, hepatite C, endocardite ou malária);
- Rejeição de transplante renal;
- Doença de depósito de paraproteínas.
Sintomatologia
Os possíveis sintomas incluem:[1]
- Hipertensão arterial leve, com pressão arterial diastólica menor que 90 mmHg.
- Hematúria (urina escura, com sangue);
- Proteinúria (urina espumosa);
- Azotemia (excesso de dejetos nitrogenados como ureia e ácido úrico no sangue)
- Menor volume de urina;
- Dificuldade para ficar alerta e se concentrar;
- Fadiga;
- Inchaço nas pernas, pés, mãos ou rosto;
Apresenta-se com síndrome nefrótica em 70% dos pacientes e síndrome nefrítica aguda em 20% dos casos. Hematúria (perda de sangue pela urina) e proteinúria (perda de proteínas pela urina) podem ser descobertos em exames de urina rotinários.
Diagnóstico
O achado de microscopia óptica mais característico é a hipercelularidade e duplicação da membrana basal glomerular. Em todos os casos existe deposição do sistema complemento nos glomérulos e depósito de imunoglobulinas ocorre menos freqüentemente.
A presença de depósitos de imunoglobulinas e complemento associado ao relato de que os pacientes são portadores de infecções crônicas, neoplasias e colagenoses; sugere que a GNMP, de um modo geral, é conseqüência da deposição renal de imunocomplexos presentes na circulação sanguínea.
Epidemiologia
Ocorre em qualquer faixa etária mas predomina entre os 6 e os 30 anos (70% dos casos). Em análise de biópsias renais, responde por 6 a 12% dos casos de glomerulonefrite, 12% dos casos de síndrome nefrótica idiopática e 40% dos pacientes com nefrite.[3]
Terapia
Dependendo da causa e dos sintomas, os medicamentos que podem ser prescritos incluem:[1]
- Medicamentos para pressão arterial como um Inibidor da enzima de conversão da angiotensina ou um digital;
- Dipiridamol, com ou sem aspirina;
- Diuréticos;
- Imunossupressores, como a ciclofosfamida;
- Esteroides;
- Recidiva em rins transplantados.
Caso o quadro siga agravando, pode ser necessário diálise. O tratamento costuma ser mais eficiente em crianças que em adultos.
Referências
Ligações externas
