OHVIRA
| OHVIRA | |
|---|---|
![]() | |
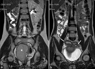
| (a) Imagem coronal de T2W de tomada única mostra ausência do rim direito. A hemivagina distendida (asterisco) é vista no lado direito e a hemivagina esquerda normal colapsada com fluido mínimo é vista adjacente a ela (seta preta). A hemivagina distendida termina acima do introito e seu conteúdo é hipointensa à gordura. (b) Imagem coronal de T2W de tomada única mostra os cornos uterinos direito e esquerdo (setas brancas). A cavidade do corno uterino direito é vista se comunicando com a extremidade superior da coleção de fluido na hemivagina direita (pequena seta preta). | |
| Classificação e recursos externos | |
| OMIM | 192050 |
| MeSH | C566010 |
A síndrome de Herlyn–Werner–Wunderlich (SHWW),[1] também conhecida como OHVIRA (hemivagina obstruída e anomalia renal ipsilateral)[2] é uma síndrome extremamente rara caracterizada por uma defectividade congênita dos órgãos abdominais inferiores e pélvicos.[3] É um tipo de anormalidade dos ductos müllerianos.[4]
Na maioria dos casos, a OHVIRA se apresenta como útero duplo com hemivagina unilateral obstruída (ou cega) e agenesia renal ipsilateral (ou anomalias renais). Também pode afetar a uretra, o esfíncter uretral, os ureteres, a bexiga e o baço.[5]
Embora a incidência real seja desconhecida, foi relatada entre 0,1% e 3%.[6][7]
Sintomas
Embora não haja sintomas específicos para essa condição, queixas comuns incluem dor pélvica progressivamente crescente durante a menstruação e hematocolpos devido ao acúmulo de sangue no corpo. Outros sintomas podem incluir inchaço do abdômen, náuseas e vômitos durante a menstruação e dor pélvica. A fertilidade também pode ser afetada.[8]
A condição geralmente leva a uma maior necessidade de cesáreas devido ao útero menor.[9]
Diagnóstico
A condição geralmente é diagnosticada por meio de ressonância magnética ou ultrassom. É recomendável consultar um ginecologista.[10]
Tratamento
Os sintomas podem ser aliviados com medicamentos e cirurgia. Na maioria dos casos, a hemivagina cega é aberta e o fluido drenado.[11] Em adolescentes, em particular, a incisão vaginoscópica do septo vaginal oblíquo é uma opção viável.[12]
Gestações em alguém com OHVIRA são categorizadas como de alto risco devido ao tamanho e formato do útero e do colo do útero, bem como à função renal reduzida. Além disso, alguém com OHVIRA não diagnosticada pode apresentar sangramento genital durante a gravidez e necessitar de hospitalização. As gestantes geralmente são tratadas com suturas cervicais e cesáreas para evitar sofrimento fetal durante o trabalho de parto.[13]
Referências
- ↑ Mandava, Anitha; Prabhakar, R. R.; Smitha, S. (1 de abril de 2012). «OHVIRA syndrome (obstructed hemivagina and ipsilateral renal anomaly) with uterus didelphys, an unusual presentation». Journal of Pediatric and Adolescent Gynecology. 25 (2): e23–25. ISSN 1873-4332. PMID 22421561. doi:10.1016/j.jpag.2011.11.004
- ↑ Gonçalves, Dâmaris Versiani Caldeira; Souza, Liliana Prata; de-Biase, Tatiana Có Gomes; da-Cunha, Vitor Fitaroni Neves; Dutra, Isabela Melo; Volpato, Richard; Gonçalves, Octávio Meneghelli Galvão (2023). «Síndrome de Herlyn-Werner-Wunderlich: um relato de caso». Revista de pediatria SOPERJ (1): 12–16. doi:10.31365/issn.2595-1769.v23i1p12-16. Consultado em 17 de setembro de 2024
- ↑ Weidler, Erica M.; Grimsby, Gwen; Garvey, Erin M.; Zwayne, Noor; Chawla, Reeti; Hernandez, Janett; Schaub, Timothy; Rink, Richard; van Leeuwen, Kathleen (1 de junho de 2020). «Evolving indications for surgical intervention in patients with differences/disorders of sex development: Implications of deferred reconstruction». Seminars in Pediatric Surgery. Pediatric Endocrine Surgery (3). 150929 páginas. ISSN 1055-8586. doi:10.1016/j.sempedsurg.2020.150929. Consultado em 17 de setembro de 2024
- ↑ Afrashtehfar, Cyrus Dean Mario; Piña-García, Adrián; Afrashtehfar, Kelvin Ian (2014). «Malformaciones müllerianas. Síndrome de hemivagina obstruida y anomalía renal ipsilateral (OHVIRA)». Cirugía y Cirujanos (em espanhol) (4): 460–471. Consultado em 16 de setembro de 2024
- ↑ «Orphanet: Síndrome de duplo útero-hemivagina-agenesia renal». www.orpha.net. Consultado em 16 de setembro de 2024
- ↑ Kudela, Grzegorz; Wiernik, Agnieszka; Drosdzol-Cop, Agnieszka; Machnikowska-Sokołowska, Magdalena; Gawlik, Aneta; Hyla-Klekot, Lidia; Gruszczyńska, Katarzyna; Koszutski, Tomasz (1 de outubro de 2021). «Multiple variants of obstructed hemivagina and ipsilateral renal anomaly (OHVIRA) syndrome – one clinical center case series and the systematic review of 734 cases». Journal of Pediatric Urology (5): 653.e1–653.e9. ISSN 1477-5131. doi:10.1016/j.jpurol.2021.06.023. Consultado em 16 de setembro de 2024
- ↑ Hudson, C. N.; Setchell, Marcus E. (30 de setembro de 2011). Shaw's Textbook of Operative Gynaecology - E-Book (em inglês). [S.l.]: Elsevier Health Sciences
- ↑ Kudela, Grzegorz; Wiernik, Agnieszka; Drosdzol-Cop, Agnieszka; Machnikowska-Sokołowska, Magdalena; Gawlik, Aneta; Hyla-Klekot, Lidia; Gruszczyńska, Katarzyna; Koszutski, Tomasz (1 de outubro de 2021). «Multiple variants of obstructed hemivagina and ipsilateral renal anomaly (OHVIRA) syndrome – one clinical center case series and the systematic review of 734 cases». Journal of Pediatric Urology (5): 653.e1–653.e9. ISSN 1477-5131. doi:10.1016/j.jpurol.2021.06.023. Consultado em 16 de setembro de 2024
- ↑ Pavone, Mary Ellen; King, Jeremy A.; Vlahos, Nikos (1 de fevereiro de 2006). «Septate uterus with cervical duplication and a longitudinal vaginal septum: a müllerian anomaly without a classification». Fertility and Sterility (2): 494.e9–494.e10. ISSN 0015-0282. doi:10.1016/j.fertnstert.2005.07.1324. Consultado em 16 de setembro de 2024
- ↑ Lin Da, Aw; Chou, Lim T.; Mohd Zain, Murizah (1 de junho de 2014). «OHVIRA Syndrome (Obstructed Hemivagina and Ipsilateral Renal Anomaly) and Variants». Current Women's Health Reviews (1): 22–25. Consultado em 16 de setembro de 2024
- ↑ Tug, Niyazi; Sargin, Mehmet Akif; Çelik, Ayhan; Alp, Turgut; Yenidede, Ilter (7 de janeiro de 2017). «Treatment of Virgin OHVIRA Syndrome with Haematometrocolpos by Complete Incision of Vaginal Septum without Hymenotomy». Journal of Clinical and Diagnostic Research. 9 (11): QD15–QD16. ISSN 2249-782X. PMC 4668488
. PMID 26676254. doi:10.7860/JCDR/2015/15532.6826 - ↑ Cheng, Chunxia; Subedi, Jigyasa; Zhang, Aiqian; Johnson, Grace; Zhao, Xingping; Xu, Dabao; Guan, Xiaoming (27 de dezembro de 2019). «Vaginoscopic Incision of Oblique Vaginal Septum in Adolescents with OHVIRA Syndrome». Scientific Reports (em inglês). 9 (1). 20042 páginas. Bibcode:2019NatSR...920042C. ISSN 2045-2322. PMC 6934495
. PMID 31882725. doi:10.1038/s41598-019-56471-2 - ↑ Muraoka, Ayako; Tsuda, Hiroyuki; Kotani, Tomomi; Kikkawa, Fumitaka (maio de 2016). «Severe Hemoperitoneum During Pregnancy with Obstructed Hemivagina and Ipsilateral Renal Anomaly Syndrome: A Case Report». The Journal of Reproductive Medicine. 61 (5–6): 290–294. ISSN 0024-7758. PMID 27424375
