Fratura do boxeador
| Fratura do boxeador | |
|---|---|
![]() | |
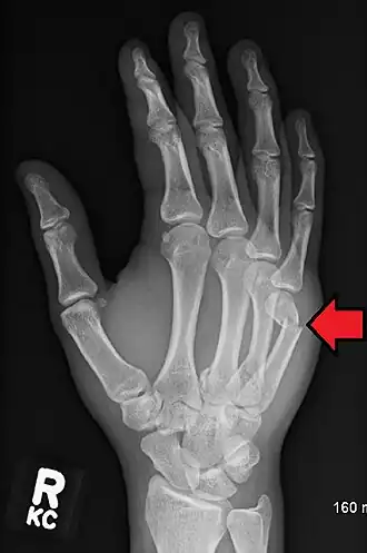
| Apresentação de uma fratura da cabeça do quinto metacarpo | |
| Especialidade | Medicina de emergência e Ortopedia |
| Sintomas | Dor, junta deprimida, inchaço e vermelidão local |
| Causas | Bater em um objeto com o punho fechado |
| Método de diagnóstico | Baseado na utilização de raios-x |
| Tratamento | Redução com talas e imoblizações e em casos específicos cirurgias com aplicações de hastes e pinos |
| Medicação | Ibuprofeno e Paracetamol (ou outro AINE), para alívio sintomático da dor. Em casos agravados de dor podem ser ministrados codeína ou morfina (ou outro opióide) para manejo da dor. |
| Prognóstico | Normalmente bom |
| Classificação e recursos externos | |
A fratura de um boxeador é a fratura do quinto osso metacarpo da mão, próximo à articulação do dedo. Ocasionalmente, também é usado para se referir a fraturas do quarto metacarpo. Os sintomas incluem dor e articulação dos dedos deprimida. Classicamente, ocorre depois que uma pessoa atinge um objeto com o punho fechado. A junta é então dobrada em direção à palma da mão.[1] O diagnóstico geralmente é suspeitado com base nos sintomas e confirmado com raios-X.[1]
Para a maioria das fraturas com menos de 70 graus de angulação, o buddy taping e uma bandagem tensora resultaram em resultados semelhantes à redução com imobilização.[1] Naqueles com mais de 70 graus de angulação ou em que o dedo quebrado é girado, a redução e a imobilização podem ser recomendadas.[1] Representam cerca de um quinto das fraturas das mãos.[1] Eles ocorrem mais comumente em homens do que em mulheres.[1] Os resultados de curto e longo prazo são geralmente bons.[1] A junta, no entanto, normalmente permanece um pouco deformada.
Sinais e sintomas
Os sintomas são dor e sensibilidade no local específico da mão, que corresponde ao osso metacarpo ao redor da articulação. Quando ocorre uma fratura, pode haver uma sensação de estalo ou estalo. Haverá inchaço na mão, juntamente com descoloração ou hematomas na área afetada. Abrasões ou lacerações na mão também podem ocorrer. O dedo respectivo pode estar desalinhado e o movimento desse dedo pode ser limitado e doloroso.[2]
As fraturas do metacarpo são geralmente causadas pelo impacto de um punho fechado com um objeto duro e imóvel, como um crânio ou uma parede.[3] Quando um soco atinge o alvo de forma inadequada, a força ocorre em um ângulo em direção à palma, criando uma curvatura dorsal no osso.[4]
Quando um boxeador dá um soco com a forma correta, os nós dos dedos do segundo e terceiro metacarpos se alinham linearmente com o raio de articulação, seguidos linearmente pelo úmero. Devido à articulação linear dos ossos, a força consegue viajar livremente através dessas articulações e ossos e ser dissipada sem causar lesões. Portanto, fraturas do segundo ou terceiro metacarpos são raras, com fraturas do quarto e quinto metacarpos compreendendo a grande maioria das fraturas metacarpais.[4]
Diagnóstico
O diagnóstico por exame médico é o mais comum, geralmente confirmado por raios X. O raio X é usado para mostrar a fratura e suas angulações. Uma tomografia computadorizada pode ser feita em casos muito raros para fornecer uma imagem mais detalhada.[5]
Tratamento
De modo imediato gelo é aplicado para aliviar a dor e o inchaço. Quaisquer feridas abertas são limpas para evitar infecções.[6]
Para a maioria das fraturas com menos de 70 graus de angulação, a bandagem de apoio e a bandagem tensora resultaram em resultados semelhantes à redução com tala.[2] O tratamento conservador com mobilização precoce também não foi considerado inferior quando comparado ao tratamento cirúrgico com pinos em buquê para fraturas com angulação palmar menor que 45 graus.[7]
Em casos raros, quando a fratura causa deformidade rotacional ou angulação grave, pode ser necessária uma cirurgia para colocar pinos ou placas no osso para manter as peças no lugar.[8][9]
Prognóstico

O prognóstico para essas fraturas geralmente é bom, com tempo total de cicatrização não superior a 12 semanas. Nas duas primeiras semanas, o inchaço geral será significativamente reduzido, com melhora na capacidade de apertar os dentes aparecendo primeiro. A capacidade de estender os dedos em todas as direções parece melhorar mais lentamente. Os moldes rígidos raramente são necessários, e os moldes ou talas macias podem ser removidos por breves períodos de tempo para permitir a limpeza e secagem da pele por baixo da tala.[10] A dor causada por uma lesão varia de pessoa para pessoa, como acontece com a maioria das lesões. Dependendo do indivíduo, um tratamento com analgésicos de venda livre ou narcóticos será suficiente. Pode ser esperada atrofia muscular de 5 a 15 por cento, com um período de reabilitação de aproximadamente 4 meses, mediante terapia adequada. Nos casos mais leves, o estado de reabilitação total pode ser alcançado em 3 a 4 meses.[11]
Referências
- 1 2 3 4 5 6 7 Raby, Nigel; Berman, Laurence; Morley, Simon; Lacey, Gerald de (23 de abril de 2014). Accident and Emergency Radiology: A Survival Guide (em inglês). [S.l.]: Elsevier Health Sciences
- 1 2 «Hand Fractures - OrthoInfo - AAOS». www.orthoinfo.org. Consultado em 26 de outubro de 2024
- ↑ Altizer, L (julho–agosto de 2006). «Boxer's fracture». Orthopaedic Nursing. 25 (4): 271–3; quiz 274–5. PMID 16900073. doi:10.1097/00006416-200607000-00010
- 1 2 Soong, M; Got, C; Katarincic, J (agosto de 2010). «Ring and little finger metacarpal fractures: mechanisms, locations, and radiographic parameters.». The Journal of Hand Surgery. 35 (8): 1256–9. PMID 20684925. doi:10.1016/j.jhsa.2010.05.013
- ↑ Massada, Marta Maria Teixeira de Oliveira; Pereira, Manuel Alexandre Negrais Pinho Gonçalves; Sousa, Ricardo Jorge Gomes de; Costa, Paulo Guimarães; Massada, José Leandro da Rocha (2012). «Osteossíntese com parafuso intramedular nas fraturas proximais do quinto metatarsiano do atleta». Acta Ortopédica Brasileira (5): 262–265. ISSN 1413-7852. doi:10.1590/s1413-78522012000500003. Consultado em 26 de outubro de 2024
- ↑ McNemar, Thomas B.; Howell, Julianne Wright; Chang, Eric (1 de abril de 2003). «Management of metacarpal fractures». Journal of Hand Therapy (2): 143–151. ISSN 0894-1130. doi:10.1016/S0894-1130(03)80009-1. Consultado em 26 de outubro de 2024
- ↑ Sletten, I. N.; Hellund, J. C.; Olsen, B.; Clementsen, S.; Kvernmo, H. D.; Nordsletten, L. (janeiro de 2015). «Conservative treatment has comparable outcome with bouquet pinning of little finger metacarpal neck fractures: a multicentre randomized controlled study of 85 patients». Journal of Hand Surgery (European Volume) (em inglês). 40 (1): 76–83. ISSN 1753-1934. PMID 25427553. doi:10.1177/1753193414560119
- ↑ Page 42 Arquivado em 2017-11-05 no Wayback Machine in: Weinzweig, Jeffrey (1999). Hand & Wrist Surgery Secrets (The Secrets Series). Philadelphia: Hanley & Belfus. ISBN 978-1-56053-364-1
- ↑ GREEN'S OPERATIVE HAND SURGERY : 2-volume set. [S.l.]: ELSEVIER - HEALTH SCIENCE. 2022. ISBN 978-0-323-69793-4. OCLC 1255690810
- ↑ Connolly, J.(M.D. F.A.C.S). (1981). The Management of Fractures and Dislocations. Philadelphia, PA: W.B. Saunders Company.
- ↑ Yıldırımkaya, Berhan; Söylemez, Mehmet Salih; Tasçı, Murat; Uçar, Bekir Yavuz; Akpınar, Fuat (1 de setembro de 2024). «Comparison of the radiological and functional results of a plaster splint and dynamic stabilization splint for Boxer's fractures: A prospective randomized controlled study». Journal of Orthopaedic Science (5): 1196–1202. ISSN 0949-2658. doi:10.1016/j.jos.2023.08.004. Consultado em 26 de outubro de 2024
