Fratura de Jones

A fratura de Jones é uma fratura óssea entre a base e a parte do meio do quinto metatarso do pé,[1] que resulta em dor, perto da parte do meio de pé do lado de fora.[2] Pode existir também hematomas e dificuldade para andar.[3] O início geralmente é súbito.[4]
Essa fratura foi descrita pela primeira vez em 1902 pelo cirurgião ortopédico Robert Jones, quando sofreu essa lesão dançando. É uma lesão comum entre esportistas e dançarinos de todas as idades.[5]
Causas
A fratura ocorre normalmente durante a flexão do pé e o pé se dobra para dentro.[2][6] Este movimento pode ocorrer quando ocorre mudança brusca de direção enquanto o calcanhar está fora do chão como na dança, tênis ou basquete.[7][8]
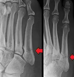
Diagnóstico
O diagnóstico é normalmente baseado na clínica (dor na lateral externa do pé e hematoma após trauma físico) e confirmado com radiografia.[3]
Tratamento
O tratamento inicial é geralmente com um gesso ortopédico, sem andar com o pé fraturado, durante pelo menos seis semanas.[9] Se após este período de tempo a cura não ocorrer, mais seis semanas podem ser recomendadas. Devido ao mau fornecimento de sangue nesta área, a quebra, por vezes, não cura, e a cirurgia é necessária.[3] Em atletas ou se os pedaços de ossos estão separados a cirurgia pode ser considerada mais cedo. A fratura foi descrita pela primeira vez em 1902 pelo cirurgião ortopédico Robert Jones que sofreu a lesão enquanto dançava.[10]
Referências
- ↑ Joel A. DeLisa; Bruce M. Gans; Nicholas E. Walsh (2005). Physical Medicine and Rehabilitation: Principles and Practice. [S.l.]: Lippincott Williams & Wilkins. pp. 881–. ISBN 978-0-7817-4130-9. Cópia arquivada em 7 de janeiro de 2017
- 1 2 Eltorai, Adam E. M.; Eberson, Craig P.; Daniels, Alan H. (2017). Orthopedic Surgery Clerkship: A Quick Reference Guide for Senior Medical Students (em inglês). [S.l.]: Springer. pp. 395–397. ISBN 9783319525679. Cópia arquivada em 15 de outubro de 2017
- 1 2 3 «Toe and Forefoot Fractures». OrthoInfo - AAOS. Junho 2016. Consultado em 15 de outubro de 2017. Cópia arquivada em 16 de outubro de 2017
- ↑ Valderrabano, Victor; Easley, Mark (2017). Foot and Ankle Sports Orthopaedics (em inglês). [S.l.]: Springer. p. 430. ISBN 9783319157351. Cópia arquivada em 15 de outubro de 2017
- ↑ Jones, Robert (Jun 1902). "I. Fracture of the Base of the Fifth Metatarsal Bone by Indirect Violence". Ann Surg. 35 (6): 697–700. PMC 1425723 Freely accessible. PMID 17861128.
- ↑ Dähnert, Wolfgang (2011). Radiology Review Manual (em inglês). [S.l.]: Lippincott Williams & Wilkins. p. 96. ISBN 9781609139438. Cópia arquivada em 15 de outubro de 2017
- ↑ Mattu, Amal; Chanmugam, Arjun S.; Swadron, Stuart P.; Tibbles, Carrie; Woolridge, Dale; Marcucci, Lisa (2012). Avoiding Common Errors in the Emergency Department (em inglês). [S.l.]: Lippincott Williams & Wilkins. p. 790. ISBN 9781451152852. Cópia arquivada em 16 de outubro de 2017
- ↑ Lee, Edward (2017). Pediatric Radiology: Practical Imaging Evaluation of Infants and Children (em inglês). [S.l.]: Lippincott Williams & Wilkins. p. Chapter 24. ISBN 9781496380272. Cópia arquivada em 15 de outubro de 2017
- ↑ Bica, D; Sprouse, RA; Armen, J (1 de fevereiro de 2016). «Diagnosis and Management of Common Foot Fractures.». American Family Physician. 93 (3): 183–91. PMID 26926612
- ↑ Jones, Robert (Jun 1902). «I. Fracture of the Base of the Fifth Metatarsal Bone by Indirect Violence.». Ann Surg. 35 (6): 697–700. PMC 1425723
. PMID 17861128