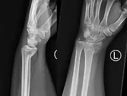
Fratura de Smith
| Fratura de Smith | |
|---|---|
![]() | |
| Classificação e recursos externos | |
| CID-11 | NC32.51 |
| CID-10 | S52.5 |
| CID-9 | 813.41 |
Uma fratura de Smith, também conhecida como fratura de Colles invertida é uma fratura do rádio distal causada por queda sobre punhos fletidos, ao contrário da fratura de Colles, que ocorre em queda sobre punho estendido.
As fraturas de Smith são menos comuns que as fraturas de Colles.
A melhor forma de tratamento através de cirurgia e implantação de um Fio de Kirschner juntamente a uma imobilização gessada.
