Nefropatia membranosa

Glomerulonefrite membranosa
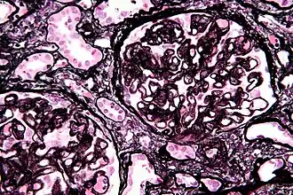
Histologia da membrana basal glomerular com depósitos de complexos imunes (Tinção de Jones)
Especialidadenefrologia
Classificação e recursos externos
CID-10N03.2
CID-9583.1
DiseasesDB7970
MedlinePlus000472
eMedicinemed/885
MeSHD015433
A Wikipédia não é um consultório médico. Leia o aviso médico 

Nefropatia membranosa ou glomerulonefrite membranosa (GNM) é uma doença renal caracterizada pela inflamação e espessamento lento e gradual da membrana basal dos capilares sanguíneos dos glomerulos renais. Ocorre uma significativa perda de proteínas (síndrome nefrótica), mas a função renal segue saudável. É mais comum em pacientes do sexo masculino e entre os 30 e 50 anos, mas pode ocorrer em qualquer faixa etária.

Causas

Ao microscópio a membrana basal dos glomerulos está cheia de depósitos de complexos imunes, com furos cada vez maiores e "espinhosa"

Na maior parte das glomerulonefrites membranosa existe evidência de autoimunidade contra receptores próprios ou contra proteínas bovinas no sangue (anticorpos anti-albumina bovina catiônica sérica), absorvidos após consumo de leite ou carne bovinos.[1] Outras possíveis causas para essa reação autoimune envolvem:[2]

A nefropatia membranosa pode também ocorrer juntamente com outras doenças renais, tais como nefropatia diabética e glomerulonefrite rapidamente progressiva (crescente).

Histologia

A principal característica microscópica é o espessamento global da membrana basal glomerular com deposição de imunocomplexos nas alças capilares. Atualmente acredita-se que os pacientes portadores de GNM produzam anticorpos contra antígenos presentes nos podócitos ou contra proteínas estranhas ligadas a membrana basal glomerular, levando ao desenvolvimento dessa glomerulopatia.

Sintomatologia

Apresenta-se clinicamente pelos sintomas de grande perda de proteínas sanguíneas pela urina (Síndrome nefrótica):[3]

  • Urina com muita espuma;
  • Acúmulo de líquido, inchaço das pernas e braços e aumento de peso (as proteínas no sangue são essenciais para manter o líquido dentro dos vasos sanguíneos);
  • Aumento do "colesterol ruim" (Hiperlipidemia) (pela perda das proteínas que transportam os lípidos),
  • Hipertensão arterial sistêmica em 40% dos casos (pela uremia e retenção de sódio),
  • Vulnerabilidade a infecções (pela perda de anticorpos),
  • Vulnerabilidade a problemas de coagulação (pela perda de fatores de coagulação do sangue),
  • Pequena perda de glóbulos vermelhos na urina (Hematúria microscópica) em 30% dos pacientes adultos e em quase 100% das crianças.

A função renal geralmente normal, mas deve ser acompanhada pelos próximos 6 meses.

Diagnóstico

Depois da entrevista e do exame físico pode-se pedir:[4]

  • Exame de urina: para medir a quantidade de proteína e células sanguíneas presentes na urina;
  • Exames de sangue: para medir níveis se colesterol e triglicérides estão elevados; creatinina para verificar a função renal. Glicemia e hemoglobina glicosilada verificam se há diabetes. Buscar anticorpos específicos serve para diagnosticar doenças autoimunes ou infecção como hepatite B, hepatite C ou sífilis.
  • Taxa de filtração glomerular (GFR): estima a função renal e pode ajuda determinar o estágio da doença.
  • Exame de anticorpos antinucleares (ANA): Altos níveis de anticorpos antinucleares no sangue indicam uma doença autoimune.
  • Exames de imagem: Ultrassom ou tomografia computadorizada (CT) permite analisar a estrutura dos seus rins e do tracto urinário e detectar tumores.
  • Biopsia de rim: ao microscópio permite avaliar as características do dano renal, classificar e avaliar a eficácia do tratamento.

Terapia

Quando a causa é secundária deve-se começar tratando a causa primária, por exemplo tratando a infecção por hepatite B ou trocando o medicamento que desencadeou o problema. Aproximadamente 30% dos pacientes melhoram completamente espontaneamente da proteinúria em 5 anos. Entre 25 e 40% melhoram parcialmente. É um bom sinal se a função renal permanece estável por vários anos. Apenas 25 a 30% dos pacientes evoluem para insuficiência renal crônica em 10 a 20 anos.[5]

Quando a função renal se mantém estável por 5 anos é baixo risco de insuficiência renal avançada e o tratamento da nefropatia membranosa geralmente começa com medidas conservadoras, incluindo:[6]

Quando a perda de proteínas é maior a 4g por dia por seis meses (moderada) ou maior a 8g por dia por três meses (severa) deve-se usar fármacos imunossupressores e medidas para repor as proteínas. A terapia de primeira linha recomendada geralmente inclui: ciclofosfamida alternada com um corticosteróide.[7]

Ver também

  • Calcineurina

Referências

  1. Ronco P, Debiec H (2012) Pathogenesis of membranous nephropathy: recent advances and future challenges. Nat Rev Nephrol doi:10.1038/nrneph.2012.35.
  2. Membranous nephropathy - Causes. http://www.mayoclinic.org/diseases-conditions/membranous-nephropathy/basics/causes/con-20026050
  3. Nephrotic syndrome in adults. National Kidney and Urologic Diseases Information Clearinghouse (NKUDIC). http://kidney.niddk.nih.gov/kudiseases/pubs/nephrotic/.
  4. Hogan J, et al. Diagnostic tests and treatment options in glomerular disease: 2014 update. American Journal of Kidney Diseases. 2014;63:656.
  5. Mayo Clinic Staff. Membranous Nephropathy - Treatment. http://www.mayoclinic.org/diseases-conditions/membranous-nephropathy/basics/treatment/con-20026050
  6. Graham Rogers, M.D. How Is Membranous Glomerulonephritis Treated? http://www.healthline.com/health/membranous-nephropathy?s_con_rec=true#Treatment5
  7. Chen, Y; Schieppati, A; Chen, X; Cai, G; Zamora, J; Giuliano, GA; Braun, N; Perna, A (Oct 16, 2014). "Immunosuppressive treatment for idiopathic membranous nephropathy in adults with nephrotic syndrome.". The Cochrane database of systematic reviews. 10: CD004293. doi:10.1002/14651858.CD004293.pub3. PMID 25318831.

Ligações externas