Lipossarcoma
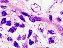
Um lipossarcoma é um tipo de sarcoma. É uma neoplasia maligna de tecido adiposo. Origina-se principalmente em tecidos moles profundos.
Um lipossarcoma é um tipo de sarcoma. É uma neoplasia maligna de tecido adiposo. Origina-se principalmente em tecidos moles profundos.
| Tumores benignos | Adenoma (glândula) - Cisto - Condroma (cartilagem) - Fibroma (fibras) - Glioma(células gliais) - Hiperplasia - Hamartoma - Hemangioma (vasos sanguíneos) - Leiomioma (músculo liso) Linfangioma (vasos linfáticos) - Lipoma(tecido adiposo) - Mola hidatiforme (placenta) - Nefroma (rim) - Nevo (pele) - Oncocitoma (rins, tireoide ou glândulas salivares) - Osteoma (osso) - pólipo - Pseudocisto - Rabdomioma (músculo esquelético) |
|---|---|
| Progressão maligna | |
| Topografia | Ânus - Bexiga - Ducto biliar - Osso - Cérebro - Mama - Cérvice - Cólon/reto - Endométrio - Esôfago - Olho - Vesícula biliar - Cabeça/Pescoço - Fígado - Rim - Laringe - Pulmão - Mediastino (peito) - Boca - Ovários - Pâncreas - Pênis - Próstata - Pele - Intestino delgado - Estômago - Teratoma sacrococcígeo - Testículos - Tireoide |
| Morfologia | |
| Geral | Genes supressores de tumor/oncogenes - Estadiamento/graduação - Carcinogênese - Carcinógeno - Pesquisa - Síndrome paraneoplásica - Lista de termos relacionados à oncologia |