Infarto cerebral
| Cerebral infarct | |
|---|---|
![]() | |
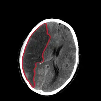
| Corte do cérebro [ostrando um infarto cerebral hemisfério direito (lado esquerdo da imagem). | |
| Especialidade | neurologia |
| Classificação e recursos externos | |
| CID-11 | 8B11.5 |
| CID-10 | I63.9, I63 |
| CID-9 | 433.01, 433.31, 434.91, 433.81, 433.21 |
| OMIM | 601367 |
| MeSH | D002544 |
Um infarto cerebral é uma área de tecido necrótico no cérebro resultante de um bloqueio ou estreitamento nas artérias que fornecem sangue e oxigênio ao cérebro. O oxigênio restrito devido ao suprimento sanguíneo restrito causa um acidente vascular cerebral isquêmico que pode resultar em um infarto se o fluxo sanguíneo não for restaurado dentro de um período de tempo relativamente curto. O bloqueio pode ser causado por trombo, embolia ou estenose ateromatosa de uma ou mais artérias.[1] Quais artérias são problemáticas determinarão quais áreas do cérebro são afetadas (infartadas). Esses infartos variados produzirão sintomas e resultados diferentes. Cerca de um terço será fatal.
Classificação
Existem vários sistemas de classificação[2] para um infarto cerebral, alguns dos quais são descritos abaixo.
- A classificação do Oxford Community Stroke Project (OCSP, também conhecida como classificação de Bamford ou Oxford) baseia-se principalmente nos sintomas iniciais. Com base na extensão dos sintomas, o episódio de AVC é classificado como infarto total da circulação anterior (TACI), infarto parcial da circulação anterior (PACI), infarto lacunar (LACI) ou infarto da circulação posterior (POCI). Essas quatro entidades preveem a extensão do derrame, a área do cérebro afetada, a causa subjacente e o prognóstico.[3][4]
- A classificação TOAST (Trial of Org 10172 in Acute Stroke Treatment) baseia-se em sintomas clínicos e em resultados de investigações adicionais; nesta base, um acidente vascular cerebral é classificado como devido a (1) trombose ou embolia devido à aterosclerose de uma artéria grande, (2) embolia de origem cardíaca, (3) oclusão de um pequeno vaso sanguíneo, (4) outra causa determinada, (5) causa indeterminada (duas causas possíveis, nenhuma causa identificada ou investigação incompleta).[5]
Sintomas

Os sintomas do infarto cerebral são determinados pelas partes do cérebro afetadas. Se o infarto estiver localizado no córtex motor primário, é dito que ocorre hemiparesia contralateral. Com a localização do tronco cerebral, as síndromes do tronco cerebral são típicas: síndrome de Wallenberg, síndrome de Weber, síndrome de Millard-Gubler, síndrome de Benedikt ou outras.
Os infartos resultarão em fraqueza e perda de sensação no lado oposto do corpo. O exame físico da área da cabeça revelará dilatação anormal da pupila, reação à luz e falta de movimento dos olhos no lado oposto. Se o infarto ocorrer no lado esquerdo do cérebro, a fala será arrastada. Os reflexos também podem ser agravados.
Fatores de risco
Os principais fatores de risco para infarto cerebral são geralmente os mesmos que para aterosclerose: pressão alta, diabetes mellitus, tabagismo, obesidade e dislipidemia.[6] A Associação Americana do Coração/Associação Americana do AVC (AHA/ASA) recomenda controlar esses fatores de risco para prevenir o AVC.[7] As diretrizes da AHA/ASA também fornecem informações sobre como prevenir o derrame se alguém tiver preocupações mais específicas, como anemias falciformes ou gravidez. Também é possível calcular o risco de derrame na próxima década, com base nas informações coletadas no Framingham Heart Study.[8]
Fisiopatologia


O que determina se um infarto cerebral é trombótico ou embólico é sua fisiopatologia ou as condições observadas e os mecanismos subjacentes da doença. No acidente vascular cerebral isquêmico trombótico, um trombo se forma e bloqueia o fluxo sanguíneo.[10] Um trombo se forma quando o endotélio é ativado por uma variedade de sinais para resultar na agregação de plaquetas na artéria. Esse grupo de plaquetas interage com fibrina para formar um tampão de plaquetas.[11] Esse plugue plaquetário cresce em um trombo, resultando em uma artéria estenótica. Isquemia trombótica pode ocorrer em vasos sanguíneos grandes ou pequenos. Em vasos grandes, as causas mais comuns de trombos são aterosclerose e vasoconstrição. Em pequenos vasos, a causa mais comum é a lipohialinose,[12] que ocorre quando a pressão alta e o envelhecimento causam acúmulo de matéria hialina gordurosa nos vasos sanguíneos. A formação de ateroma também pode causar derrame isquêmico trombótico de pequenos vasos.[13] A oclusão do fluxo sanguíneo gera uma despolarização dos neurônios que geram uma onda chamada despolarização em expansão,[14] que se move do núcleo afetado para a penumbra e cérebro saudável, produzindo despolarização adicional, morte neuronal e sintomas neurológicos.[15]
Um acidente vascular cerebral embólico refere-se ao bloqueio de uma artéria por um êmbolo, uma partícula itinerante ou detritos na corrente sanguínea arterial originária de outro local. Um êmbolo é frequentemente um trombo, mas também pode ser um número de outras substâncias, incluindo gordura (por exemplo, da medula óssea em um osso quebrado), aeromobilismo, células cancerígenas ou aglomerados de bactérias (geralmente de endocardite infecciosa). O êmbolo pode ser de origem cardíaca devido a fibrilação atrial, forame oval patente ou placa bacteriana aterosclerótica de outra (ou a mesma) artéria grande. A embolia gasosa da artéria cerebral (por exemplo, durante a subida de um mergulho autônomo) também é uma possível causa de infarto (Levvett & Millar, 2008)
Diagnóstico
A tomografia computadorizada (TC) e a ressonância magnética mostrarão a área danificada no cérebro, indicando que os sintomas não foram causados por um tumor, hematoma subdural ou outro distúrbio cerebral. O bloqueio também aparecerá no angiograma.
Tratamento
Na última década, semelhante ao tratamento do infarto do miocárdio, drogas trombolíticas foram introduzidas na terapia do infarto cerebral. O uso da terapia com rtPA por via intravenosa pode ser preconizado em pacientes que chegam à unidade de AVC e pode ser totalmente avaliado em até 3 horas após o início.
Se o infarto cerebral for causado por um trombo que obstrui o fluxo sanguíneo para uma artéria que fornece o cérebro, a terapia definitiva visa remover o bloqueio quebrando o coágulo (trombólise) ou removendo-o mecanicamente (trombectomia). Quanto mais rapidamente o fluxo sanguíneo é restaurado para o cérebro, menos células cerebrais morrem.[16] Em um número crescente de centros de AVC primários, a trombólise farmacológica com o ativador do plasminogênio tecidual da droga (tPA) é usada para dissolver o coágulo e desbloquear a artéria. Outra intervenção para a isquemia cerebral aguda é a remoção direta do trombo infrator. Isso é feito inserindo um cateter na artéria femoral, direcionando-o para a circulação cerebral e implantando um dispositivo semelhante a um saca-rolhas para prender o coágulo, que é retirado do corpo. Os dispositivos de embolectomia mecânica demonstraram ser eficazes na restauração do fluxo sanguíneo em pacientes que não conseguiram receber medicamentos trombolíticos ou para os quais tais medicamentos eram ineficazes,[17][18][19][20] embora não tenham sido encontradas diferenças entre os mais novos e os mais velhos versões dos dispositivos.[21] Os dispositivos foram testados apenas em pacientes tratados com embolectomia mecânica de coágulo dentro de oito horas após o início dos sintomas.
Angioplastia e stent começaram a ser encaradas como possíveis opções viáveis no tratamento da isquemia cerebral aguda. Em uma revisão sistemática de seis estudos não controlados e de centro único, envolvendo um total de 300 pacientes, de stent intra-craniano em estenose arterial intracraniana sintomática, a taxa de sucesso técnico (redução para estenose <50%) variou de 90 a 98%, enquanto a taxa de complicações peri-processuais maiores variou de 4-10%. As taxas de reestenose e/ou acidente vascular cerebral após o tratamento também foram favoráveis.[22] Esses dados sugerem que é necessário um grande estudo controlado randomizado para avaliar mais completamente a possível vantagem terapêutica desse tratamento.
Se os estudos mostram estenose carotídea e o paciente tem função residual no lado afetado, a endarterectomia carotídea (remoção cirúrgica da estenose) pode diminuir o risco de recorrência se for realizada rapidamente após o infarto cerebral. A endarterectomia carotídea também é indicada para diminuir o risco de infarto cerebral por estenose carotídea sintomática (redução de diâmetro de 70 a 80%).[23]
Nas perdas teciduais que não são imediatamente fatais, o melhor curso de ação é fazer todos os esforços para restaurar as deficiências por meio de fisioterapia, terapia cognitiva, terapia ocupacional, terapia da fala e exercício.
Referências
- ↑ Ropper, Allan H.; Adams, Raymond Delacy; Brown, Robert F.; Victor, Maurice (2005). Adams and Victor's principles of neurology. McGraw-Hill Medical Pub. Division. New York: [s.n.] pp. 686–704. ISBN 0-07-141620-X
- ↑ Amarenco. «Classification of Stroke Subtypes». Cerebrovascular Diseases (em inglês). 27: 493–501. ISSN 1015-9770. PMID 19342825. doi:10.1159/000210432
- ↑ «Classification and natural history of clinically identifiable subtypes of cerebral infarction». Lancet. 337: 1521–6. PMID 1675378. doi:10.1016/0140-6736(91)93206-O Later publications distinguish between "syndrome" and "infarct", based on evidence from imaging. "Syndrome" may be replaced by "hemorrhage" if imaging demonstrates a bleed. See Internet Stroke Center. «Oxford Stroke Scale»
- ↑ Bamford JM (2000). «The role of the clinical examination in the subclassification of stroke». Cerebrovasc. Dis. 10 Suppl 4: 2–4. PMID 11070389. doi:10.1159/000047582
- ↑ «Classification of subtype of acute ischemic stroke. Definitions for use in a multicenter clinical trial. TOAST. Trial of Org 10172 in Acute Stroke Treatment». Stroke. 24: 35–41. PMID 7678184. doi:10.1161/01.STR.24.1.35
- ↑ Hankey GJ. «Potential new risk factors for ischemic stroke: what is their potential?». Stroke. 37: 2181–8. PMID 16809576. doi:10.1161/01.STR.0000229883.72010.e4
- ↑ «Guidelines for the Prevention of Stroke in Patients With Stroke or Transient Ischemic Attack: A Guideline for Healthcare Professionals From the American Heart Association/American Stroke Association». Stroke. 42: 227–76. PMID 20966421. doi:10.1161/STR.0b013e3181f7d043
- ↑ «Stroke risk profile: adjustment for antihypertensive medication. The Framingham Study». Stroke. 25: 40–3. PMID 8266381. doi:10.1161/01.str.25.1.40
- ↑ Kentar. «Detection of spreading depolarizations in a middle cerebral artery occlusion model in swine». Acta Neurochirurgica. ISSN 0942-0940. PMID 31940093. doi:10.1007/s00701-019-04132-8
- ↑ Louis R. Caplan (2009). Caplan's Stroke: A Clinical Approach. Elsevier Health Sciences. [S.l.: s.n.] ISBN 978-1-4160-4721-6
- ↑ «Inflammation, obesity, and thrombosis». Blood. 122: 3415–22. PMC 3829115
. PMID 24092932. doi:10.1182/blood-2013-05-427708
- ↑ Lastilla M (2006). «Lacunar infarct». Clin. Exp. Hypertens. 28: 205–15. PMID 16833026. doi:10.1080/10641960600549082
- ↑ Caplan LR. «Intracranial branch atheromatous disease: a neglected, understudied, and underused concept». Neurology. 39: 1246–50. PMID 2671793. doi:10.1212/wnl.39.9.1246
- ↑ Hartings. «The continuum of spreading depolarizations in acute cortical lesion development: Examining Leão's legacy». Journal of Cerebral Blood Flow and Metabolism. 37: 1571–1594. ISSN 1559-7016. PMC 5435288
. PMID 27328690. doi:10.1177/0271678X16654495
- ↑ Eriksen. «Early focal brain injury after subarachnoid hemorrhage correlates with spreading depolarizations». Neurology. 92: e326–e341. ISSN 1526-632X. PMID 30593517. doi:10.1212/WNL.0000000000006814
- ↑ Saver JL (2006). «Time is brain - quantified». Stroke. 37: 263–6. PMID 16339467. doi:10.1161/01.STR.0000196957.55928.ab
- ↑ «Mechanical thrombectomy of intracranial internal carotid occlusion: pooled results of the MERCI and Multi MERCI Part I trials». Stroke. 38: 1274–80. 2007. PMID 17332445. doi:10.1161/01.STR.0000260187.33864.a7
- ↑ «Safety and efficacy of mechanical embolectomy in acute ischemic stroke: results of the MERCI trial». Stroke. 36: 1432–8. 2005. PMID 15961709. doi:10.1161/01.STR.0000171066.25248.1d
- ↑ «Vertebrobasilar revascularization rates and outcomes in the MERCI and multi-MERCI trials». J Stroke Cerebrovasc Dis. 17: 55–7. 2008. PMID 18346645. doi:10.1016/j.jstrokecerebrovasdis.2007.11.003
- ↑ Smith WS. «Safety of mechanical thrombectomy and intravenous tissue plasminogen activator in acute ischemic stroke. Results of the multi Mechanical Embolus Removal in Cerebral Ischemia (MERCI) trial, part I». AJNR Am J Neuroradiol. 27: 1177–82. PMID 16775259
- ↑ «Mechanical thrombectomy for acute ischemic stroke: final results of the Multi MERCI trial». Stroke. 39: 1205–12. 2008. PMID 18309168. doi:10.1161/STROKEAHA.107.497115
- ↑ «Angioplasty and Stenting for Atherosclerotic Intracranial Stenosis: Rationale for a Randomized Clinical Trial». Neuroimaging Clin. N. Am. 17: 355–63, viii–ix. PMC 2040119
. PMID 17826637. doi:10.1016/j.nic.2007.05.001
- ↑ Ropper, A.H.; Brown, R.H. (2005). Adams and Victor's Principles of Neurology. [S.l.: s.n.] 698 páginas. ISBN 0-07-141620-X
