Fratura óssea
Fratura óssea é uma situação em que há perda da continuidade óssea, com a separação de um osso em dois ou mais fragmentos após um traumatismo.
História
As fraturas surgem com o aparecimento de esqueletos rígidos na Natureza. Na espécie humana as primeiras tentativas de tratamento conhecidas datam de há mais de 5000 anos, embora possam ter surgido espontaneamente há ainda mais tempo.
Classificação

As fraturas podem ser classificadas de acordo com vários critérios.
Segundo a causa
As fraturas traumáticas correspondem à grande maioria das fraturas, e resulta da aplicação de uma força sobre o osso que seja maior que a resistência deste. Pode ocorrer no local de um impacto (fratura direta), num local afastado da zona de impacto (por exemplo, fratura da clavícula após queda sobre a mão - fratura indireta), ou por contracção muscular violenta (fratura por tração muscular).
As fraturas de sobrecarga ou de stress são devidas à aplicação repetida e frequente de pequenas forças sobre um osso, que leva a uma fadiga que condiciona a fratura.
Fraturas patológicas ocorrem num osso previamente fragilizado, por exemplo por osteoporose ou um tumor ósseo. Geralmente não há evidência de traumatismo que justifique a fratura.
Segundo a lesão envolvente
Nas fraturas simples não há perfuração da pele, ao contrário do que acontece nas fraturas expostas, onde pode ocorrer uma infecção bacteriana, havendo por vezes a necessidade de suturar a ferida.
Nas fraturas complicadas há atingimento de vasos sanguíneos ou nervos. Uma diminuição ou ausência dos pulsos, assim como palidez ou perda de consciência, podem indicar lesão de um vaso sanguíneo (mesmo que não haja hemorragia evidente), sendo importante nestes casos a prestação rápida de cuidados de saúde adequados.
Tratamento
A escolha terapêutica é baseada na avaliação de múltiplos factores. Na maioria dos casos a cirurgia surge como última opção, estando reservada para casos particulares como fraturas expostas ou complicadas, ou quando o tratamento conservador não eficaz na resolução de uma fratura (por exemplo, quando se desenvolvem pseudartroses). Existem contudo algumas excepções em que a cirurgia oferece melhores resultados.
Tratamento conservador
Este tipo de tratamento tenta otimizar as condições em que ocorre o processo natural de reparação do osso sem infligir traumatismos adicionais geralmente associados a uma cirurgia. O processo é variável consoante o osso atingido e o tipo de lesão em causa.
Geralmente envolve a redução da fratura, que pode ser feito com ou sem anestesia, e consiste em exercer uma tracção adequada sobre o membro afectado de forma a que os topos da fratura fiquem alinhados, ou seja, regressem à sua posição anatómica. Uma redução bem efectuada reduz o risco de consolidação viciosa, que é uma das sequelas mais frequentes das fraturas e que ocorre quando o osso cicatriza numa posição incorrecta.
Após a redução há habitualmente uma diminuição importante da dor, que pode até desaparecer por completo.
Depois do alinhamento dos topos da fratura, o membro afectado é estabilizado utilizando vários meios, sendo dos mais frequentes a tala gessada, o gesso fechado, ou o suporte com ligaduras elásticas. Esta estabilização tem por objectivo prevenir o movimento dos topos da fratura, para que não haja dor, e possa ocorrer uma reparação eficaz da lesão. Uma possível consequência de uma imobilização deficiente (ou de remover a imobilização demasiado cedo) é a formação de uma pseudartrose, uma situação que geralmente implica correcção cirúrgica.
O tempo em que é mantida a imobilização varia consoante o osso fraturado e a região do osso atingida, podendo variar de 3 a 8 semanas, ou mais.
Habitualmente são também utilizados medicamentos para alívio da sintomatologia, em particular analgésicos anti-inflamatórios (AINEs) para reduzir a dor e inflamação local.
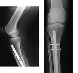
Tratamento cirúrgico

A cirurgia tem por objectivo restabelecer o alinhamento normal do osso, e manter esse alinhamento até a reparação da fratura. Permite também corrigir algumas lesões das partes moles, em especial vasos sanguíneos que possam ter rompido.
O restabelecimento da continuidade óssea por meio cirúrgico (osteossíntese) pode ser feito com recurso a várias técnicas, habitualmente com a utilização de placas e parafusos, varetas endomedulares ou Fios de Kirschner.
Sequelas e complicações
Uma grande parte das fraturas é curada sem deixar sequelas, podendo desaparecer qualquer vestígio da fratura após alguns meses. Noutras situações, o processo de reparação óssea não é capaz de restabelecer por completo a forma ou função original do osso fraturado, o que acontece mais frequentemente quando há complicações associadas à fratura.
Uma infecção óssea (osteomielite) é especialmente grave devido à baixa irrigação sanguínea e escassez de células vivas, já que o osso é constituído predominantemente por matriz extracelular. Fraturas expostas e procedimentos cirúrgicos que atinjam o osso (tal como osteotomia) implicam procedimentos de assepsia e administração de antibióticos.
Necrose óssea
Pode ocorrer morte de parte do osso (necrose) algum tempo após a fratura, caso tenha ocorrido lesão dos vasos sanguíneos que levam sangue a essa parte do osso. Um bom alinhamento dos topos da fratura, e uma intervenção atempada, podem ajudar a diminuir este risco.
Pseudartrose
Ocorre a formação de uma articulação entre os topos da fratura, que não se juntam após um determinado período de tempo. O diagnóstico de pseudartrose é feito quando deixa de haver esperança que a fratura consolide naturalmente. Em geral o ortopedista observa o exame radiológico seriado e quando ocorre uma interrupção da formação de calo ósseo esta formada a pseudartrose. O tratamento da pseudartrose implica a correcção através de cirurgia.
Consolidação viciosa
Os topos da fratura consolidam fora da sua posição anatómica. Pode ser devido a uma má redução da fratura ou a uma imobilização em posição inadequada. As implicações podem ser apenas estéticas, como acontece frequentemente em fraturas da clavícula, mas em algumas situações pode haver limitação ou até perda da função do membro afectado. As crianças, devido ao rápido metabolismo e crescimento ósseo, têm maior capacidade de recuperar uma anatomia normal após consolidação viciosa de uma fratura.
Referências
- 5,000 years of the treatment of fractures; Colton CL.; Rev Chir Orthop Reparatrice Appar Mot. 1998 Oct;84 Suppl 1:23-6.
- http://www.marcosbritto.com/2010/07/consolidacao-das-fraturas.html
