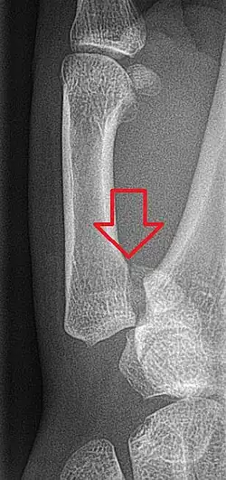
Fratura de Bennett

Fratura de Bennett é uma ruptura da base do polegar, mais especificamente da primeira articulação carpo-metacarpal, formada pela epífise proximal do primeiro metacarpo e pelo osso trapézio. É o tipo mais comum de fratura do polegar, pode ser causado por queda sobre mão aberta ou ao golpear contra um objeto duro. Essa fratura intra-articular é quase sempre acompanhada por algum grau de deslocamento dos ossos (luxação) da articulação carpometacarpiana (CMC).[1]
Signos e sintomas
A dor e instabilidade da primeira articulação carpometacarpiana impede o movimento de pinza, muito usado para agarrar objetos. Edema, hematoma, deformidade e perda de sensibilidade do polegar também são comuns. A incapacidade de executar metade dos movimentos da mão pode ser bastante incapacitante, especialmente se for a mão mais usada.[2]
Causas
As causas mais comuns incluem esmurrar um objeto duro, cair com a mão flexionada, acidente automobilístico segurando o volante ou como lesão esportiva.
Diagnóstico
Se há 3 signos clínicos de fratura deve-se pedir uma radiografia de mão, frente e perfil.
Tratamento
Nos casos de fratura de Bennett com menos de 1mm de deslocamento, há relativamente pouca instabilidade articular e subluxação da articulação. Se recomenda a redução fechada seguida de imobilização do polegar e radiografias mensais para um tratamento eficaz. Para as fraturas de Bennett com 1 mm a 3 mm de deslocamento da articulação trapezio-metacarpiana, a redução fechada e a fixação percutânea com pino (CRPP) com cabos Kirschner geralmente é suficiente para garantir um resultado funcional satisfatório. Os cabos não são empregados para conectar os dois fragmentos de fratura, mas sim para fixar o primeiro metacarpo ao trapézio. Para as fraturas de Bennett com mais de 3 mm de deslocamento na articulação trapezio-metacarpiana, a redução aberta e a fixação interna são tipicamente recomendadas. A imobilização com gesso geralmente é recomendada por 4 a 6 semanas. AINEs e gelo são usados para a dor e inflamação.[3]
Referências
- ↑ "Bennett fracture-subluxation"
- ↑ Edmunds, JO (Aug 2006). "Traumatic dislocations and instability of the trapeziometacarpal joint of the thumb" (PDF). Hand clinics. 22 (3): 365–92. doi:10.1016/j.hcl.2006.05.001. PMID 16843802. Archived from the original (PDF) on 2011-07-17.
- ↑ Soyer, AD (Nov–Dec 1999). "Fractures of the base of the first metacarpal: current treatment options". The Journal of the American Academy of Orthopaedic Surgeons. 7 (6): 403–12. PMID 11505928.