Metatarso

Metatarso
Metatarso
Vista superior do metatarso, em verde.
Recursos externos
Gray's subject #64 272
MeSH A01.378.610.250.300.480
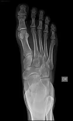
Radiografia metatarso

Em anatomia, denomina-se metatarso a parte mediana do , nos membros posteriores (ou extremidades inferiores,[1] no ser humano) dos mamíferos e outros vertebrados. É formado pelos cinco ossos metatarsais, que articulam com o tarso pelas suas extremidades proximais e com as primeiras falanges pelas extremidades distais.

Esta secção do esqueleto é correspondente ao metacarpo dos membros anteriores (ou extremidades superiores, no ser humano) - as mãos.

Em muitos animais o número básico de cinco reduziu-se durante o processo evolutivo, como no caso dos ungulados. O caso extremo é o das aves em que todos os ossos do tarso e metatarso se fundiram num único osso, chamado tarsometatarso.

No homem e outros bípedes, o tarso faz parte da "planta" ou "sola" do pé, a parte que assenta no solo.

Ver também

  • digitígrado
  • plantígrado
  • braquimetatarsia

Referências

  1. «Metatarso». Encyclopædia Britannica Online (em inglês). Consultado em 23 de novembro de 2019