Agressão

Agressão é um ato em que um indivíduo prejudica ou lesa outro(s) de sua própria espécie.[1] O comportamento agressivo em humanos pode ser definido em termos gerais como um comportamento social hostil, como o de infligir dano ou causar prejuízo a uma pessoa ou grupo.[2] Ainda é um tema controverso se esse comportamento de causar danos em alguém é devido à existência de um instinto ou se é resultante de múltiplas determinações motivacionais e circunstanciais. Desde o final do século XX, diversos estudos têm apontado para o fato de que ambos os fatores estão presentes na manifestação desse fenótipo.[1][3][4][5] A agressão pode ter benefícios adaptativos ou impactos negativos para a espécie.[3] Na espécie humana, além da agressão capaz de causar lesão corporal, existem vários tipos de agressão: dirigida, verbal, deslocada etc., definidas por critérios de classificação jurídicos ou oriundos de diversas disciplinas científicas. A agressão distingue-se da predação por corresponder ao instinto de combate do animal e do homem dirigido contra o seu próprio congénere.[1]
Segundo definição da Organização Mundial da Saúde, considera-se violência como o uso de força ou poder, real ou apenas ameaçado, contra si próprio, contra outra pessoa, ou contra um grupo ou uma comunidade, que resulte ou tenha possibilidade de resultar em lesão, morte, dano psicológico, deficiência de desenvolvimento ou privação (OMS, 2002).[6] Os comportamentos agressivos são associados com problemas de ajustamento e diversos sintomas psicopatológicos e transtornos, tais como Transtorno de Personalidade Antissocial, Transtorno de Personalidade Borderline, Transtorno Explosivo Intermitente, Esquizofrenia e Transtorno de Humor Bipolar.[7][3]
Classificando a agressão humana
De acordo com Wierviorka, 1997, os problemas da violência estão ligados a representações sociais que os codificam positiva ou negativamente. Associados ao conceito de violência voluntária, surgem os conceitos de abuso, agressão e agressividade.

A agressão pode assumir uma variedade de formas. Diversas classificações e dimensões têm sido propostas para estimar tais diferenças. A agressão pode ser classificada quanto a sua forma (isto é, agressão direta ou agressão indireta) ou quanto a um excesso ou falta de sensibilidade emocional (isto é, agressão impulsiva-reativa/agressão instrumental-proativa).[3][5] Muitas são as possibilidades ou critérios para classificar a agressão, especialmente humana, como por exemplo os que a própria linguagem ou os idiomas e culturas utilizam, aparentemente designando a intensidade da ação ou sentimento. As categorias jurídicas de classificação de crimes, por sua vez, tomam, como parâmetros, a intensidade do dano provocado (ofensa moral, lesão corporal, morte), a motivação e forma de execução. Os crimes hediondos, por exemplo, se caracterizam por motivos fúteis e realização por meios cruéis. Explorando ainda as possibilidades linguísticas e forma de manifestação da agressão, temos:
Agressão direta
Esta é definida como comportamentos físicos ou verbais com a intenção manifesta de causar dano direto a alguém.[2][4] O comportamento agressivo dirige-se à pessoa ou ao objecto que justifica a agressão. Na agressão sexual, o objeto almejado confunde-se com o motivo da agressão. Os motivos fúteis opõem-se à defesa da vida como critério de gravidade do ato agressivo. Nessa categoria, podem, ainda, ser incluídos os crimes de ódio, sadismo ou agressão sociopática.
Agressão indireta
A agressão indireta é caracterizada por um comportamento que visa a causar prejuízo às relações sociais de um indivíduo ou grupo. É, frequentemente, relacionada com uma maior expressividade no gênero feminino.[4][5]
Agressão impulsiva ou reativa
A agressão impulsiva é definida como um ato hostil em resposta a um estímulo percebido como ameaçador ou frustrante.[8] Este tipo de agressão apresenta um forte componente emocional e uma elevada excitação autonômica, além de estar associado a um reduzido controle de impulsos e a uma percepção de hostilidade enviesada.[3] Este tipo de agressão é, geralmente, associado à raiva, o que o coloca em oposição à agressão premeditada.[2] Em termos neurobiológicos, este tipo de agressão apresenta um alto componente amigdalar e reduzido controle de cima para baixo e de funções do Córtex Pré-Frontal.[3] A agressão sem motivo algum denomina-se "agressão gratuita" e é conhecida legalmente como constrangimento ilegal.
Agressão instrumental ou proativa
É um tipo de agressão que visa a um objecto; que tem, por fim, conseguir algo independentemente do dano que possa causar. É, frequentemente, planejada e, portanto, não impulsiva, sendo uma forma de combatividade ofensiva. Assim, este comportamento agressivo premeditado e controlado, a agressão impulsiva, é um padrão comportamental planejado deliberadamente para atingir uma meta, sendo relacionado com a ocorrência de crime e falta de remorso.[7][3] Podemos apontar, como exemplo de agressão instrumental, o assalto a um banco: pode ocorrer, no decurso da ação, uma agressão, mas não é esse o objectivo. O seu fim é conseguir o dinheiro, a agressão que possa surgir é um subproduto da ação.
Outros tipos de classificação de comportamento agressivo
Combatividade (belicosidade)
É o conjunto de confrontos adaptativos para o indivíduo ou espécie contra seus semelhantes em situações de competição por objeto de motivação comum, podendo, ainda, se distinguirem formas mais ofensivas ou defensivas.[9]
Agressão deslocada
O sujeito dirige a agressão a um alvo que não é responsável pela causa que lhe deu origem. Em animais, também se observa esse mecanismo de controle dos impulsos agressivos.
Autoagressão
O sujeito desloca a agressão para si. Ver o verbete Suicídio.
Agressão aberta (aversão)
Este tipo de franca agressão, que se pode manifestar pela violência física ou psicológica, é explícita, isto é, concretiza-se, por exemplo, em espancamentos, ataques à autoestima, humilhações.
Agressão dissimulada
Este tipo de agressão recorre a meios não abertos para agredir. O sarcasmo e o cinismo são formas de agressão que visam a provocar o outro, feri-lo na sua autoestima, gerando ansiedade. A teoria psicanalítica tem, como explicação desta forma de agressão, a motivação inconsciente.
Agressão inibida
Como o próprio nome indica, o sujeito não manifesta agressão para com o outro, mas dirige-se a si. O sentimento de rancor é um exemplo dessa forma de expressão da agressão. Algumas teorias psicológicas têm a agressão inibida como causa de diversas doenças psicossomáticas. O grau mais severo do rancor pode ser designado por ódio, contudo ainda não existe um consenso para essa terminologia.
Causas da Agressão
Em muitos casos, os anos de formação da pessoa agressiva são marcados pelo mau exemplo dos pais ou por negligência total. Muitos agressores vêm de lares onde os pais eram frios, desinteressados ou onde eles tenham realmente ensinado a seus filhos a usar a fúria e a violência para resolver problemas. Crianças educadas num ambiente desses talvez nem reconheçam como sendo agressividade seus próprios ataques verbais e físicos; podem até mesmo pensar que seu comportamento é normal e aceitável.
Concepção psicanalítica
Na concepção psicanalítica, a agressividade designa uma tendência especificamente humana marcada pelo carácter ou vontade de cometer um acto violento sobre outro. Pode, também, ser definida como uma tendência ou conjunto de tendências que se actualizam em condutas reais ou fantasmáticas, as quais visam a causar dano a outro, destruí-lo, coagi-lo, humilhá-lo etc. (Laplanche e Pontalis[10]).
Manifesta-se a partir de uma experiência que é subjetiva por sua própria constituição, subjetividade esta que não pode ser objetada por falta de mensuração ao se rejeitar como observáveis os resultados da introspecção e comunicação verbal, pois são visíveis seus resultados, assim como o são muitos fenômenos físicos de que só conhecemos os efeitos.[11]
A agressividade, com base nos estudos de Winnicott, representa um instinto próprio a todo ser humano, necessário para a sua existência. Opinião da qual partilha o etólogo Konrad Lorenz. [carece de fontes]
A agressividade é sinônimo da motilidade, algo vital que o bebê adquire nos seus primeiros meses de vida em contato com o ambiente. O comportamento agressivo faz parte da vida humana, devendo ser encarado como normal. Winnicott ilustra sua definição através do comportamento da criança. A princípio, ela esgota os seus pais, mesmo sem saber, depois os esgota sabendo e, por fim, esgota-os furiosamente, com cansaço. [carece de fontes]
A manifestações das pulsões agressivas enquanto perversões ou substratos das neuroses e psicoses vai depender do modo como a criança interage com o amor de seus pais na formação de sua identidade e superação do complexo de édipo. Do "mapa" que a psicanálise oferece das pulsões, sem dúvida, as associadas à fase anal sádica são as mais temíveis. Examinando casos clínicos associados à crueldade humana, a resistência à cura no processo de terapia e a natureza da guerra, Sigmund Freud propôs a concepção de instinto de morte (Tânato), o que corresponde à fonte das motivações agressivas humanas nos termos da psicologia.[12]
A concepção de catarse tem origem na análise de Aristóteles (384-322 a.C.) sobre efeitos (ab-reação) da tragédia grega, e posteriormente foi incorporada como integrante da teoria psicanalítica e de algumas técnicas dela derivadas ou afins, a exemplo do soro da verdade, psicodrama e bioenergética.[13]
Actualmente, face à hipótese da catarse, ainda existem dúvidas acerca do impacto da violência veiculada através da televisão e do cinema na sociedade ocidental . Alguns especialistas julgam que esse tipo de exposição poderá aumentar a propensão da audiência a desenvolver algum tipo de agressividade subsequente na vida real. Além disso, as taxas de criminalidade e violência parecem também estar relacionadas com a programação da tevê. As constantes manifestações de agressividade com a qual a criança convive (família , televisão e sociedade ) contribuem de forma acentuada para a reprodução desses comportamentos aprendidos.[carece de fontes]
Teorias comportamentais sobre a agressão
Uma das teorias mais divulgadas sobre o comportamento agressivo foi proposta por psicólogos da Universidade Yale em 1939 (John Dollard, Leonard Doob, Neal Miller, O. Hobart Mowrer e Robert Sears). Seu postulado básico é a suposição de que a agressão é sempre uma consequência da frustração, ou seja, a resposta emocional a um bloqueio de uma resposta orientada para um objectivo numa sequência de comportamentos. Variando a intensidade ou força da agressão de acordo com a quantidade de frustração.[14] Sabe-se hoje da considerável variação individual quanto à tolerância à frustração, interpretada por sua vez em distintas teorias psicológicas.

Contribuições da neurociência e genética
Genética
Do ponto de vista da genética, apesar de ser nítido, em algumas espécies e/ou nas variedades de uma espécie (cães, por exemplo), a predominância de comportamentos agressivos na sua adaptação, ainda não há consenso sobre a existência de genes para agressão e mesmo sobre doenças genéticas que possuam a agressividade como característica patognomônica, a exemplo da Síndrome XYY e Epilepsia do lobo temporal,[16] especialmente quanto à determinação genética dessa última. A gênese da sociopatia e personalidades sádicas e agressivas têm que ser consideradas de natureza multifatorial, envolvendo tanto características da origem psicossocial como biológica.
Freire-Maia[17] apresenta estudos que apontam a presença de um fator genético predisponente à criminalidade, sem deixar de assinalar a importância maior ou menor, mas sempre atuante, dos fatores ambientais. Evidências da predisposição genética à criminalidade, segundo ele, podem ser visualizadas através das seguintes frequências de concordância entre gêmeos monozigóticos, dizigóticos do mesmo sexo e dizigóticos de sexo diferente: - 93%, 80% e 20% (Rosanoff et aI., em 1934; Estados Unidos); 65%, 53% e 14% (Kranz, em 1936; Alemanha); distúrbios do comportamento em crianças: 87%, 43% e 28% (Rosanoff et al., em 1934; Estados Unidos).[17]
Por outro lado, Nora e Fraser[18] ressaltam que estudos familiares de psicopatia e criminalidade mostram que a maioria das crianças com comportamento antissocial provém de lares desfeitos, sendo impossível dizer, por esses estudos, quanto do comportamento antissocial é biologicamente transmitido e quanto é culturalmente adquirido. Segundo ela, nos estudos de gêmeos, aparentemente predomina a utilização da categoria mais ampla e heterogênea de "criminalidade" do que a de "psicopatia".
Neurobiologia
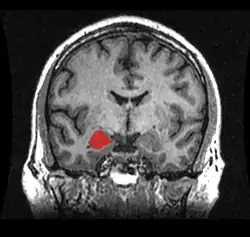
As bases neurais da agressão têm sido consistentemente estabelecidas nos últimos anos, onde regiões cerebrais e neurotransmissores, bem como as suas ligações com diversos genes, hormônios e transtornos psiquiátricos, têm sido triadas.[3][7] Dentre as estruturas corticais, o Córtex Pré-Frontal (CPF) é a região cerebral mais amplamente associada com a agressão impulsiva em humanos. O CPF desempenha um papel central no controle de comportamentos, no direcionamento a metas e na tomada de decisões. Pacientes com lesões no CPF ventromedial (CPFvm) tiveram uma maior probabilidade de mostrar confrontos verbais e agressividade, se comparados com pacientes com lesões em outras áreas cerebrais e com grupo-controle sem lesões.[19] Homens com transtorno de personalidade antissocial têm mostrado alterações no COF, no Córtex Cingulado Anterior (CCA), na Insula e na Amígdala. Similarmente, pacientes com Transtorno de Personalidade Borderline e Transtorno Explosivo Intermitente também apresentam características de funcionamento atípico nessas regiões. Estudos de neuroimagem têm confirmado uma disfunção e redução no volume do COF, CCA e CPFvm em pessoas com comportamento agressivo.[20][3]
Um número crescente de evidências tem corroborado a função da amígdala como uma das regiões cerebrais mais importantes para agressão na espécie humana. A amígdala, envolvida no processamento de estímulos biologicamente relevantes e reações emocionais, e o CPF, são reciprocamente conectados.[7][3][20] Além disso, neurotransmissores como serotonina, GABA e dopamina, e hormônios como testosterona, progesterona, cortisol e vasopressina, apresentam um relevante papel determinante para a manifestação do comportamento agressivo.[3]
Antropologia
Observe-se que tanto nos seres humanos como nos animais existem sistemas específicos de fibras nervosas e núcleos ou grupos específicos de células nervosas adequados funcionalmente no cérebro para cumprir as específicas funções de agressão ou ataque. Contudo, como assinala o antropólogo Ashley Montagu (1905-1999), mais que nos animais, nos seres humanos tais elementos pré-funcionais são organizados pela experiência,[21] ou história de punições e reforçamentos do comportamento, como diriam os behavioristas analisando o processo de aprendizagem e/ou inibição do comportamento agressivo.[22] Montagu, 1978 destaca ainda que, nos seres humanos em geral, as influências genéticas per se não podem ser responsabilizadas pelo comportamento agressivo, e que na maioria dos casos esse comportamento depende muito da interação com os fatores do meio, apesar de não se poder descartar que existem influências genéticas e que, em alguns casos, estes fatores têm grande influência.[21]
Estudos interdisciplinares
Os estudos da agressão ou violência, assim como os da sexualidade, são tidos como próprios para uma abordagem interdisciplinar, pois o seu enquadramento em qualquer uma das disciplinas científicas revela-se insuficiente. Já se aceita com naturalidade a expressão sexologia como uma espécie de interciência que reuniu: psicologia; antropologia e diversas especialidades médicas (ginecologia; urologia; psiquiatria; endocrinologia), além das disciplinas básicas que cuidam da descrição anatômica e pesquisa das funções do aparelho reprodutor humano (fisiologia), sendo ainda mais comuns estudos com o enfoque clínico visando ao tratamento das disfunções sexuais, da infertilidade e/ou da contracepção fundamentados em critérios sociológico–demográficos.
Os estudos da agressão, já denominados agressiologia (Agressiologie na França em 1983),[23] parecem seguir a mesma tendência de agregação multidisciplinar, situando-se, porém, o enfoque dominante na área jurídica – a criminologia - e não na área médica. São inúmeras as contribuições das ciências sociais, psicologia e ciências biológicas, em especial a etologia, e, mais recentemente, da Saúde Pública face à elevação da agressão como causa de morte em populações.[24]
Ver também

- Antropologia das emoções
- Abuso físico
- Assassino em série
- Psicopata
- Ódio
- Criminologia
- Artes marciais
- Código penal
- Guerra
- Predação
- Primatologia
- Comportamento agonístico
- Violência
- Epidemiologia da violência
- Violência doméstica
Referências
- 1 2 3 LORENZ, Konrad. A agressão. SP, Martins Fontes, 1973
- 1 2 3 Cabral, João Carlos Centurion; Patrice de Souza Tavares; Rosa M. M. de Almeida (2016). «Reciprocal effects between dominance and anger: A systematic review». Neuroscience & Biobehavioral Reviews. 71: 761–771. doi:10.1016/j.neubiorev.2016.10.021
- 1 2 3 4 5 6 7 8 9 10 11 de Almeida, Rosa M M; Cabral, J. C.; Narvaes, R. «Behavioural, hormonal and neurobiological mechanisms of aggressive behaviour in human and nonhuman primates». Physiology & Behavior. doi:10.1016/j.physbeh.2015.02.053
- 1 2 3 Archer, John. «Sex Differences in Aggression in Real-World Settings: A Meta-Analytic Review». Review of General Psychology. doi:10.1037/1089-2680.8.4.291
- 1 2 3 Björkqvist, K. «Sex differences in physical, verbal, and indirect aggression: A review of recent research». Sex Roles. doi:10.1007/BF01420988
- ↑ ORGANIZAÇÃO MUNDIAL DA SAÚDE (OMS). Relatório mundial sobre violência e saúde. Brasília: OMS/OPAS, 2002. p.5
- 1 2 3 4 Glenn, A L. «Psychopathy and instrumental aggression: Evolutionary, neurobiological, and legal perspectives». International Journal of Law and Psychiatry. doi:10.1016/j.ijlp.2009.04.002
- ↑ Dodge, K. «Social-information-processing factors in reactive and proactive aggression in children's peer groups». Journal of Personality and Social Psychology. doi:10.1037/0022-3514.53.6.1146
- ↑ CANEGHEM, Denise van. Agressividade e combatividade. RJ, Zahar, 1980
- ↑ LAPLANCHE, Jean; PONTALIS, Jean-Bertrand. Vocabulário da Psicanálise. sp, Martins Fontes, 2001
- ↑ LACAN, Jacques. A agressividade em psicanálise. in: LACAN, Jacques. Escritos. RJ, Zahar, Campo Freudiano Brasil, 1998, p.105
- ↑ FREUD, S. Além do Princípio de Prazer. In: Obras psicológicas completas: Edição Standard Brasileira. Rio de Janeiro: Imago, (1920) 1996
- ↑ LARRAIN, Leôncio Camino R. A catarse da agressão: uma abordagem experimental. Arquivos Brasileiros de Psicologia. v. 28, n. 1 (1976) FGV ISSN 0004-2757 disponível http://bibliotecadigital.fgv.br/ojs/index.php/abpa/article/view/17554 Acesso, out. 2015
- ↑ MEGARGEE, Edwin I.; HOKANSON, Jack E. (org.) A dinâmica da agressão: análise de indivíduos, grupos e nações. SP, EPU, EDUSP, 1976
- ↑ PURVES, D; AUGUSTINE, G.J.; FITZPATRICK, D. et al. Neuroscience. 2nd edition. Sunderland (MA): Sinauer Associates; 2001. The Importance of the Amygdala. Available from: http://www.ncbi.nlm.nih.gov/books/NBK10891/
- ↑ SAKAMOTO, Américo C. Expressão das crises límbicas em adultos. Escola Latino Americana de Verão de Epilepsia Material didático Arquivado em 21 de fevereiro de 2014, no Wayback Machine. (Dez. 2010)
- 1 2 FREIRE-MAIA, Newton. Tópicos de genética humana. SP, Hucitec / EDUSP. 1976 p.154-155
- ↑ NORA, James J.; FRASER, F. Clarke. Genética médica. RJ, Guanabara-Koogan, 1991, p.249
- ↑ Grafman, J. «Frontal lobe injuries, violence, and aggression: A report of the Vietnam Head Injury Study». Neurology. doi:10.1212/WNL.46.5.1231
- 1 2 Blair, R. «Neuroimaging of psychopathy and antisocial behavior: a targeted review». Current Psychiatry Reports. doi:10.1007/s11920-009-0086-x
- 1 2 MONTAGU, Ashley. A natureza da agressividade humana. RJ, Zahar, 1978, p.180
- ↑ STAUB, Ervin. Aprendizagem e Desaprendizagem de Agressão, in: SINGER, Jerome L. (org.) O controle da agressão e da violência. SP, EPU/ EDUSP, 1975
- ↑ LABORIT, HENRI. Os mecanismos da agressividade. Correio da UNESCO ano 12, n3, 25-29, março de 1983
- ↑ DAHLBERG, L.L.; KRUG, E.G. Violência: um problema global de saúde pública. Ciênc. saúde coletiva vol.11 suppl.0 Rio de Janeiro 2006. Disponível em .pdf (Dez.2010)

