Síndrome XYYY
| Síndrome XYYY | |
|---|---|
![]() | |
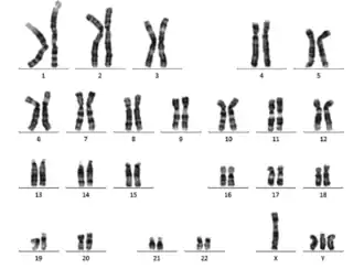
| Cariótipo da síndrome XYYY | |
| Especialidade | Genética Médica |
| Sintomas | Infertilidade, problemas de comportamento, atrasos no desenvolvimento |
| Início habitual | Concepção |
| Duração | Ao longo de toda a vida |
| Causas | Aneuploidia |
| Método de diagnóstico | Cariótipo |
| Classificação e recursos externos | |
| CID-10 | Q98.8 |
A síndrome XYYY, também conhecida como 48,XYYY, é uma anomalia cromossômica na qual um homem tem duas cópias extras do cromossomo Y. A síndrome é excepcionalmente rara, com apenas doze casos registrados. O fenótipo da síndrome é heterogêneo, mas parece ser mais grave do que sua contraparte, a síndrome XYY. Entre os traços comuns, inclui-se a deficiência intelectual leve, a infertilidade, a sinostose radioulnar e, em alguns casos, a estatura alta.
Apresentação
A apresentação da síndrome XYYY é variável e, desde seu primeiro diagnóstico a um menino em 1965, não é totalmente clara. Como todos os casos conhecidos foram diagnosticados pós-natal (após o nascimento), e é perceptível que a síndrome XYY tem um fenótipo mais leve em casos pré-natais do que em casos diagnosticados após o nascimento, suspeita-se que muitos casos de síndrome XYYY possam ser leves ou assintomáticos.[1]
As capacidades intelectuais dos casos XYYY conhecidos têm variado, especialmente em casos com mosaicismo, mas na maioria dos casos estão no limite do funcionamento intelectual.[2] O QI de desempenho é frequentemente maior do que o QI verbal.[3] Foram relatados atrasos suaves na fala.[4] Habilidades básicas de autocuidado, tais como higiene no banheiro, curativo, alimentação e higiene, são normais ou, no máximo, ligeiramente atrasadas.[1] Observam-se várias anomalias esqueléticas menores, tais como clinodactilia,[5] sinostose radioulnar (a fusão dos ossos longos no antebraço) e desenvolvimento dentário deficiente. Estes achados também são observados em outras aneuploidias cromossômicas sexuais.[1] A altura é normal a alta, com alguns casos de estatura anormalmente alta.[1][5] Além de acne grave na adolescência, a síndrome XYYY não está associada a nenhuma anormalidade física ou facial óbvia.[2]

Como muito poucos casos de síndrome XYYY em homens adultos foram relatados, tirar certas conclusões sobre o funcionamento sexual e a reprodução é difícil. Entretanto, a baixa testosterona parece estar associada. Todos os homens adultos com um cariótipo não mosaico 48,XYYY conhecido pela literatura médica têm sido azoospérmicos, embora um homem relatado com um complemento mosaico 46,XY/48,XYYY (81,1% 48,XYYY) tivesse alguma evidência de espermatogênese.[2] Alguns adultos tiveram um comportamento sexual impulsivo ou agressivo, enquanto alguns tiveram um baixo impulso sexual e nenhum interesse sexual aparente; um teve disforia de gênero.[2][6] Dois homens com síndrome XYYY são conhecidos por terem uma vida adulta independente, casando-se e encontrando emprego, e só vieram ao atendimento médico por infertilidade.[4][7]
Questões comportamentais, de gravidade variável, estão associadas com a síndrome. Alguns pacientes foram transferidos para escolas especiais, casas de grupos de alta segurança ou instituições devido a agressão severa.[8] Entretanto, aqueles casos com problemas de comportamento particularmente severos foram geralmente de origem familiar problemática ou abusiva.[3] Enquanto algumas descrições da síndrome enfatizam a agressão como uma característica, a maioria dos relatos dos pais de uma instituição de caridade com distúrbios cromossômicos enfatiza a insegurança, a imaturidade e a timidez.[1] Embora os adolescentes com síndrome XYYY possam ser estudantes em risco, eles são capazes de formar uma identidade positiva, e os relatos de casos após a formação da identidade e desenvolvimento pessoal dos adolescentes XYYY demonstram um desejo de ter relacionamentos saudáveis e de se integrar com sucesso na sociedade.[8]
Causas
A síndrome XYYY é causada por duas cópias extras do cromossomo Y, o cromossomo que determina o desenvolvimento sexual masculino. As aneuploidias cromossômicas sexuais são as causas mais frequentes de aneuploidia em humanos.[9] Embora um complemento de 48 cromossomos envolvendo os autossomos fosse insuportável, 48,XYYY e outras aneuploidias cromossômicas sexuais de alto nível, como a síndrome XXXY e a tetrassomia X - ou até mesmo 49 distúrbios cromossômicos, como a pententassomia X - são passíveis de sobrevivência com fenótipos relativamente leves devido à escassez de genes vitais para o desenvolvimento básico dos cromossomos sexuais.[3][10]
As aneuploidias cromossômicas sexuais ocorrem através de um processo conhecido como não disjunção, onde os cromossomos não se dividem corretamente durante a divisão celular e produzem gametas, neste caso espermatozoides, com um número anormal de cromossomos.[11] No caso da síndrome XYYY, o cariótipo pode ser resultado de não disjunção com um pai XYY, ou de dupla não disjunção resultando em um esperma YYY com um pai cromossomicamente normal.[5] A não disjunção também pode surgir durante o desenvolvimento embrionário logo após a concepção, o que dá muitas vezes origem ao mosaicismo.[1]
Diagnóstico
Aneuploidias cromossômicas como 48,XYYY são diagnosticadas via cariótipo.[12] Raramente, foi detectada pré-natal por amniocentese, embora nenhum caso pré-natal tenha sobrevivido até o nascimento.[13]
Epidemiologia
A síndrome XYYY é excepcionalmente rara. Apenas doze casos foram relatados na literatura médica,[8] além de quatro casos de mosaico.[2] Como a síndrome XYY relacionada é muito mais comum e tem um fenótipo leve a assintomático, especula-se que pode haver muitos casos não diagnosticados de síndrome XYYY que são mais suaves do que aqueles clinicamente relatados.[1]
História
A síndrome XYYY foi registrada pela primeira vez em 1965, quando o cariótipo 48,XYYY foi encontrado em um menino de cinco anos avaliado por deficiência intelectual limítrofe.[14] Nenhum outro caso de não mosaico 48,XYYY foi relatado até 1972, destacando a raridade da síndrome.[15] Como o cariótipo na época estava em sua infância, confirmar muitos casos iniciais era difícil; um caso registrado precocemente de um suposto mosaico 47,XYY/48,XYYY foi encontrado após investigação adicional para ter um rearranjo cromossômico não relacionado.[16][17]
As primeiras pesquisas sobre homens com polissomia do cromossomo Y foram focadas na possibilidade de comportamentos violentos e criminosos. Os casos seriam analisados em prisões e hospitais psiquiátricos, criando um ciclo de confirmação para a hipótese de que homens com o cromossomo Y adicional fossem criminosos, procurando por eles apenas em populações criminosas.[16][18] Essas suposições seriam posteriormente desmentidas por estudos longitudinais de pessoas diagnosticadas ao nascimento com aneuploidias de cromossomos sexuais, que descobriram que homens com um cromossomo Y adicional não tinham propensões criminais particulares e mal se distinguiam da população em geral. Entretanto, como as únicas condições a serem encontradas em tais pesquisas populacionais eram a síndrome de Klinefelter, trissomia X e síndrome XYY, condições mais raras como a síndrome XYYY permanecem pouco compreendidas.[19]
Comparação com a síndrome XYY
A síndrome XYY, muito mais bem compreendida, ocorre em cerca de um a cada mil homens.[20] A síndrome XYY é conhecida por ter um fenótipo mais leve em casos encontrados por acaso, como durante a triagem pré-natal, do que naqueles cariotípicos devido a uma indicação médica ou comportamental.[18] Como todos os casos descritos de síndrome XYYY foram determinados devido a uma indicação médica, não está claro se o fenótipo relativamente severo descrito na literatura médica é representativo de todos os casos XYYY, ou se há casos mais leves que não foram levados à atenção diagnóstica.[1]
As duas síndromes têm uma série de sintomas em comum, tais como alta estatura (embora o aumento da altura em XYY pareça maior do que em XYYY)[1][18] e questões comportamentais. Uma distinção significativa observada é que enquanto os homens com 47,XYY cariótipos geralmente têm fertilidade normal, o 48,XYYY parece associado à infertilidade ou esterilidade. O cariótipo 47,XYY está associado a uma expressão maior do antígeno H-Y, e a azoospermia observada em casos de 48,XYYY pode por sua vez estar associada a uma expressão maior do antígeno H-Y do que em 47,XYY.[5]
Notas
- Este artigo foi inicialmente traduzido, total ou parcialmente, do artigo da Wikipédia em inglês cujo título é «XYYY syndrome».
Referências
- 1 2 3 4 5 6 7 8 9 Tartaglia, N; Hultén, M (2005). «XYYY syndrome» (PDF). Unique. Consultado em 3 de julho de 2021. Cópia arquivada (PDF) em 25 de abril de 2021
- 1 2 3 4 5 Teyssier, M.; Pousset, G. (1994). «46,XY/48,XYYY mosaicism case report and review of the literature». Genetic Counseling (Geneva, Switzerland) (4): 357–361. ISSN 1015-8146. PMID 7888137. Consultado em 3 de julho de 2021
- 1 2 3 Linden, Mary C.; Bender, Bruce G.; Robinson, Arthur (1 de outubro de 1995). «Sex Chromosome Tetrasomy and Pentasomy». Pediatrics (em inglês) (4): 672–682. ISSN 0031-4005. PMID 7567329. Consultado em 3 de julho de 2021
- 1 2 Abedi, Maryam; Salmaninejad, Arash; Sakhinia, Ebrahim (2018). «Rare 48, XYYY syndrome: case report and review of the literature». Clinical Case Reports (em inglês) (1): 179–184. ISSN 2050-0904. PMC 5771943
. PMID 29375860. doi:10.1002/ccr3.1311. Consultado em 3 de julho de 2021 - 1 2 3 4 Mazauric-Stüker, M.; Kordt, G.; Brodersen, D. (1992). «Y aneuploidy: a further case of a male patient with a 48,XYYY karyotype and literature review». Annales De Genetique (4): 237–240. ISSN 0003-3995. PMID 1296523. Consultado em 3 de julho de 2021
- ↑ Ridler, M. a. C.; Lax, R.; Mitchell, M. J.; Shapiro, A.; Saldaña-Garcia, P. (1973). «An adult male with XYYY sex chromosomes». Clinical Genetics (em inglês) (1): 69–77. ISSN 1399-0004. doi:10.1111/j.1399-0004.1973.tb01125.x. Consultado em 4 de julho de 2021
- ↑ Hori Natsuki; Kato Takahiro; Sugimura Yoshiki; Tajima Kazuhiro; Tochigi Hiromi; Kawamura Juichi (1 de maio de 1988). «A Male Subject with 3 Y Chromosomes (48, XYYY): A Case Report». Journal of Urology (5): 1059–1061. doi:10.1016/S0022-5347(17)42772-8. Consultado em 4 de julho de 2021
- 1 2 3 Rausch, John L. (janeiro de 2012). «A Case Study of the Identity Development of an Adolescent Male with Emotional Disturbance and 48, XYYY Karyotype in an Institutional Setting». Qualitative Report (em inglês) (1): 17. ISSN 1052-0147. Consultado em 4 de julho de 2021
- ↑ Le Gall, Jessica; Nizon, Mathilde; Pichon, Olivier; Andrieux, Joris; Audebert-Bellanger, Séverine; Baron, Sabine; Beneteau, Claire; Bilan, Frédéric; Boute, Odile (agosto de 2017). «Sex chromosome aneuploidies and copy-number variants: a further explanation for neurodevelopmental prognosis variability?». European Journal of Human Genetics (em inglês) (8): 930–934. ISSN 1476-5438. PMC 5567159
. PMID 28612834. doi:10.1038/ejhg.2017.93. Consultado em 4 de julho de 2021 - ↑ Rooman, R; Hultén, M (2005). «Pentasomy X» (PDF). Unique. Consultado em 4 de julho de 2021. Cópia arquivada (PDF) em 16 de abril de 2021
- ↑ Robinson, D. O.; Jacobs, P. A. (1 de novembro de 1999). «The Origin of the Extra Y Chromosome in Males with a 47,XYY Karyotype». Human Molecular Genetics (12): 2205–2209. ISSN 0964-6906. doi:10.1093/hmg/8.12.2205. Consultado em 4 de julho de 2021
- ↑ O'Connor, C (2008). «Chromosomal Abnormalities: Aneuploidies». www.nature.com (em inglês). Nature Education. Consultado em 4 de julho de 2021. Cópia arquivada em 13 de agosto de 2020
- ↑ Venkataraman, G. (1 de outubro de 2002). «Triple-Y syndrome following ICSI treatment in a couple with normal chromosomes: Case report». Human Reproduction (10): 2560–2563. ISSN 1460-2350. doi:10.1093/humrep/17.10.2560. Consultado em 4 de julho de 2021
- ↑ Townes, PhilipL.; Ziegler, NancyA.; Lenhard, LindaW. (maio de 1965). «A PATIENT WITH 48 CHROMOSOMES (XYYY)». The Lancet (7394): 1041–1043. ISSN 0140-6736. doi:10.1016/s0140-6736(65)91315-2. Consultado em 7 de julho de 2021
- ↑ Schoepflin, G. S.; Centerwall, W. R. (1 de setembro de 1972). «48,XYYY: a new syndrome?». Journal of Medical Genetics (em inglês) (3): 356–360. ISSN 0022-2593. PMC 1469123
. PMID 4116771. doi:10.1136/jmg.9.3.356. Consultado em 7 de julho de 2021 - 1 2 Wiener, Saul; Sutherland, Grant; Bartholomew, AllenA.; Hudson, Bryan (janeiro de 1968). «XYY MALES IN A MELBOURNE PRISON». The Lancet (7534): 150. ISSN 0140-6736. doi:10.1016/s0140-6736(68)92770-0. Consultado em 7 de julho de 2021
- ↑ Wiener, S.; Sutherland, G.; Bartholomew, Allen A. (1 de março de 1969). «A Murderer with 47,XYY and an Additional Autosomal Abnormality». Australian & New Zealand Journal of Criminology (em inglês) (1): 20–28. ISSN 0004-8658. doi:10.1177/000486586900200103. Consultado em 7 de julho de 2021
- 1 2 3 Ross, J; Bishop, D (2014). «XXY» (PDF). Unique. Consultado em 7 de julho de 2021. Cópia arquivada (PDF) em 11 de março de 2021
- ↑ Robinson, Arthur; Lubs, Herbert A.; Bergsma, Daniel, eds. (1979). Sex chromosome aneuploidy: prospective studies on children. Col: Birth defects original article series 15 (1). New York: Alan R. Liss. ISBN 978-0-8451-1024-9
- Stewart, Donald A., ed. (1982). Children with sex chromosome aneuploidy: follow-up studies. Col: Birth defects original article series 18 (4). New York: Alan R. Liss. ISBN 978-0-8451-1052-2
- Ratcliffe, Shirley G.; Paul, Natalie, eds. (1986). Prospective studies on children with sex chromosome aneuploidy. Col: Birth defects original article series 22 (3). New York: Alan R. Liss. ISBN 978-0-8451-1062-1
- Evans, Jane A.; Hamerton, John L.; Robinson, Arthur, eds. (1991). Children and young adults with sex chromosome aneuploidy: follow-up, clinical and molecular studies. Col: Birth defects original article series 26 (4). New York: Wiley-Liss. ISBN 978-0-471-56846-9
- ↑ «47,XYY syndrome». Medline Plus (em inglês). Consultado em 7 de julho de 2021. Cópia arquivada em 8 de junho de 2021
