Linfoma de Burkitt

Linfoma/Leucemia de Burkitt
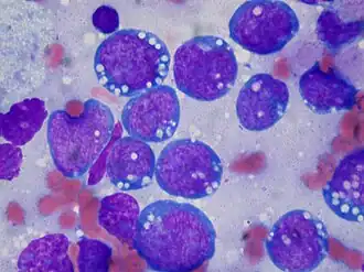
Os cortes histológicos do Linfoma de Burkitt podem apresentar aspecto de "céu estrelado" (starry sky).
Especialidadehematologia
Classificação e recursos externos
CID-11e 808906009 2A85.6
CID-10C83.7
CID-9200.2
CID-CID-O9687/3
OMIM113970
DiseasesDB1784
MedlinePlus001308
eMedicinemed/256
MeSHD002051
A Wikipédia não é um consultório médico. Leia o aviso médico 

O Linfoma de Burkitt (anteriormente denominado Linfoma Não-Hodgkin de alto grau de pequenas células não-clivadas) é uma neoplasia de células B maduras altamente agressiva, sendo endémico nas regiões centrais da África. É entre duas e três vezes mais comum em homens. Na África a idade média do diagnóstico é de 4 a 7 anos (forma endêmica) enquanto no resto do mundo é de 55 anos (forma esporádica). [1]

Causa

A translocação de material genético entre os cromossomos 8 e 14 - t(8;14)(q24;q32) - ocorre em 80% dos casos. Os outros 20% correspondem a t(2;8)(p12;q24) e t(8;22)(q24;q11).

Todas estas alterações citogenéticas envolvem a superexpressão de um gene com múltiplas funções celulares denominado c-myc. Este gene é determinante no desenvolvimento desta patologia.[2]

Existe uma forte associação entre a infeção pelo vírus Epstein-Barr (EBV) e o desenvolvimento do linfoma de Burkitt. E 30-40% dos casos ocorrem em pacientes HIV positivos, mesmo com boa imunidade, sugerindo que o HIV é um fator de risco.[3]

Muitas vezes apresenta-se com doença extranodal. Os portadores podem ser afetados sobretudo nas estruturas ósseas, com lesões orais maciças, sendo a mandíbula o osso mais atingido. Pode ainda afetar diversas estruturas, incluindo rins e ovários.

As células do linfoma de Burkitt são morfologicamente idênticas às células da leucemia linfóide aguda, subtipo FAB L3. A imunofenotipagem celular revela positividade do CD20 na extensa maioria dos casos.

Histórico

A primeira descrição desta doença foi realizada em 1958[4] pelo médico irlandês Denis P. Burkitt, que observou grande prevalência de um tumor altamente agressivo que atingia de forma endémica crianças na África equatorial.

Foi inicialmente descrito como sarcoma (câncer das partes moles), porém posteriormente observou-se que se tratava de tumor primário do sistema linfático (linfoma).

Acreditou-se durante muitos anos que o linfoma de Burkitt e a leucemia linfóide aguda L3 (leucemia de Burkitt) representavam doenças diferentes. No entanto, com o advento de modernas técnicas de análise cromossômica e genética, foi possível determinar que ambas representavam sintomas de uma mesma doença.

Em 2001 a Organização Mundial da Sáude (OMS) classificou estas afecções como sendo uma entidade única (neoplasia de células B maduras, subtipo Linfoma/Leucemia de Burkitt), com três variantes clínicas.[5]

Variantes Clínicas

De acordo com a OMS, três variantes clínicas são identificáveis:

  • Variante Endêmica: ocorre em crianças da África equatorial onde a malária é endêmica e possui alta correlação com a infecção pelo EBV (98% dos casos). Acredita-se que o status de imunodepressão crônica causado pela malária contribua para o desenvolvimento da doença.
  • Variante Esporádica: acomete crianças e adultos de outras áreas geográficas. Associa-se com infecção pelo EBV em 5-10% dos casos.
  • Associada à imunodeficiência: na maioria dos casos associada com infecção pelo vírus da imunodeficiência humana (HIV). A associação com co-infecção pelo EBV situa-se entre 25-40% dos casos.

Referências

  1. http://emedicine.medscape.com/article/1447602-overview#a5
  2. Hecht J, Aster J (2000). «Molecular biology of Burkitt´s lymphoma». J Clin Oncol. 18. 3703 páginas
  3. http://www.leukaemia.org.au/blood-cancers/lymphomas/non-hodgkin-lymphoma-nhl/burkitt-lymphoma
  4. Burkitt D (1958). «A sarcoma involving the jaws in African children». Br J Surg. 46. 218 páginas
  5. Jaffe ES, Harris NL, Stein H, Vardiman JW (2001). Pathology & Genetics Tumours of haematopoietic and lymphoid tissues. World Health Organization Classification of Tumours. [S.l.: s.n.]