Placa epifisária
Placa epifisária | |
|---|---|
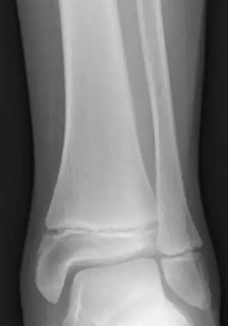
![]() Radiografia da parte inferior da perna de uma criança de 12 anos, mostrando placa epifisária em crescimento na tíbia e na fíbula. | |
![]() Zona hipertrófica da placa epifisária apresentando três zonas: de maturação (parte superior), degenerativa (parte média) e de calcificação (parte inferior). | |
| Identificadores | |
| Latim | lamina epiphysialis |
A placa epifisária (ou placa do crescimento) é uma placa de cartilagem hialina localizada na metáfise da terminação dos ossos longos. A placa é encontrada em crianças e adolescentes, pois tem a função de auxiliar no crescimento ósseo. Nos adultos, que já pararam de crescer, a placa é substituída por uma linha epifisária.
Organização histológica
A placa epifisária apresenta uma morfologia muito específica com um arranjo em zonas.[1]
| Zona da placa epifisária (da epífise para a diáfise) | Descrição |
|---|---|
| Zona de reserva | São encontrados condrócitos quiescentes na região terminal da epífise. |
| Zona de proliferação | Os condrócitos realizam várias mitoses sob a influência do hormônio do crescimento. |
| Zona de maturação e hipertrofia | Os condrócitos interrompem as mitoses e começam a sofrer hipertrofia devido ao acúmulo de glicogênio, lipídios e fosfatase alcalina. |
| Zona de calcificação | Os condrócitos sofrem apoptose. A matriz cartilaginosa começa a ser calcificada. |
| Zona de ossificação | Os osteoclastos e os osteoblastos da diáfise penetram na cartilagem calcificada e a substituem por tecido ósseo mineralizado. |
Referências
- ↑ Ovalle, William K.; Nahirney, Patrick C. (2007). Netter's essential histology : with Student consult online access 1 ed. Philadelphia, Pa.: Elsevier Saunders. ISBN 9781929007868

