Cartilagem elástica
Cartilagem elástica | |
|---|---|
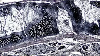
![]() Corte transversal de cartilagem elástica de mamífero | |
![]() Lado lateral do pavilhão auricular |
A cartilagem elástica, fibrocartilagem elástica ou cartilagem amarela [1] é um tipo de cartilagem presente nos pavilhões auriculares (orelhas), dando-lhes forma,[2] fornece forma para a região lateral do meato acústico externo,[3] parte medial do canal auditivo[3], Tuba auditiva, cartilagens laríngeas corniculada e cuneiforme,[3] e na epiglote. Ela contém redes de fibras elásticas e fibras de colágeno tipo II.[4] A principal proteína é a elastina.
Estrutura
A cartilagem elástica é histologicamente semelhante à cartilagem hialina, mas contém muitas fibras elásticas amarelas dispostas em uma matriz sólida. Essas fibras formam feixes que aparecem escuros sob um microscópio. As fibras elásticas exigem coloração especial, pois quando coradas com hematoxilina e eosina (H&E) aparecem iguais à cartilagem hialina.[3] São usados corantes de Verhoeff van Geison (dando às fibras elásticas uma cor preta), mas corantes de fucsina aldeída, corantes elásticos de Weigert e corantes de orceína também funcionam.[3] Essas fibras conferem à cartilagem elástica uma grande flexibilidade, de modo que é capaz de suportar flexões repetidas. Da mesma forma que na hialina, um ou múltiplos condrócitos ficam entre os espaços (ou lacunas) nas fibras.[2] Os condrócitos representam apenas 2% do volume do tecido.[2] Os condrócitos e a matriz extracelular estão contidos em uma camada externa chamada pericôndrio[2] (que é uma camada de tecido conjuntivo denso não modelado que envolve a cartilagem independente da articulação).[3] É encontrada na epiglote (parte da laringe) e nos pavilhões auriculares (a parte externa da orelha de muitos mamíferos). As fibras de elastina coram em roxo escuro/preto com o corante de Verhoeff.
A matriz extracelular contém elastina, fibrilina, glicoproteínas, colágeno tipos II, IX, X e XI, e o proteoglicano aggrecan.[2] Os componentes da matriz extracelular são produzidos pelos condroblastos localizados nas bordas do pericôndrio.[2]
As fibras elásticas dentro da matriz extracelular são feitas de proteínas de elastina que co-polimerizam com a fibrilina, formando cadeias elásticas semelhantes a fibras.[2] Quando as fibras elásticas estão relaxadas, as cadeias elásticas aparecem desorganizadas; quando a pressão de tração é aplicada, as cadeias elásticas aparecem organizadas e retornam a um estado desorganizado quando a pressão é liberada.[2]
As fibras de colágeno formam redes para fornecer resistência e estrutura para as moléculas dentro da matriz extracelular.[2]
Função
Ver também
- Lista de tipos de células do corpo humano adulto
Referências
- Este artigo incorpora texto em domínio público da 20ª edição de Gray's Anatomy (1918)
- ↑ «Elastic cartilage histology». Kenhub (em inglês). Consultado em 8 de março de 2022
- 1 2 3 4 5 6 7 8 9 10 11 Editores, B. D. (26 de abril de 2019). «Elastic Cartilage». Biology Dictionary (em inglês). Consultado em 12 de março de 2021
- 1 2 3 4 5 6 «Elastic cartilage histology». Kenhub (em inglês). Consultado em 12 de março de 2021
- ↑ «Elastic cartilage». Medline Plus/Merriam-Webster Dictionary. Consultado em 1 de março de 2015
Ligações externas
- Imagem de Histologia: 02901loa – Histology Learning System at Boston University
- Histologia em ucsd.edu Arquivado em 2012-02-05 no Wayback Machine
.jpg)
