Má-absorção intestinal
| Má-absorção intestinal | |
|---|---|
![]() | |
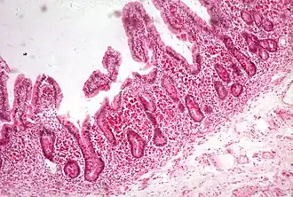
| Aumento das Vilosidades intestinais na Doença de Whipple com diversos macrófagos | |
| Especialidade | gastrenterologia |
| Classificação e recursos externos | |
| CID-11 | DA96.0 |
| CID-10 | (K90) |
| CID-9 | 579 |
| DiseasesDB | 7698 |
| MedlinePlus | 000299 |
| eMedicine | med/1384 |
| MeSH | D008286 |
Má-absorção intestinal ou malabsorção intestinal é um sintoma de anormalidades na absorção de nutrientes no intestino. A incapacidade pode ser relativa a um ou a vários nutrientes, dependendo da doença, e pode levar a desnutrição ou a diversas anemias.[1]
Patofisiologia
Proteínas, carboidratos, gorduras e a maioria dos fluidos, vitaminas e sais minerais são absorvidos no intestino delgado. A malabsorção intestinal ocorre quando algo impede o intestino de absorver nutrientes importantes e fluidos. O problema pode ser causado por infecção, uma lesão do revestimento do intestino, falta de alguma enzima, defeitos estruturais, falta de peristaltismo, substâncias laxantes.
Causas

- Agentes infecciosos[2]
- Diarreias bacterianas: Campilobacteriose, Salmonelose, Shigelose, Escherichia coli...
- Gastroenterites virais: Rotavirus, norovirus, adenovirus, astrovirus...
- Parasitoses: giardíase, lombrigas, ancilostomíase, estrongiloidíase...
- Enteropatia tropical (esprú)
- Doença de Whipple (causada pela bactéria Tropheryma whipplei)
- Inflamação intestinal relacionada ao HIV
- Tuberculose intestinal
- Anormalidade da mucosa intestinal[2]
- Intolerância à lactose, a deficiência da enzima que digere o leite (lactase) é bastante comum em descendentes de africanos ou asiáticos
- Doença celíaca, intolerância ao glúten
- Intolerância ao leite de soja
- Intolerância à frutose ou a sucralose
- Insuficiência pancreática, por exemplo por câncer de pâncreas ou por pancreatite
- Obstrução das vias biliares, por exemplo por cálculos vesiculares ou tumor hepático
- Síndrome de Zollinger-Ellison, caracterizada pela produção excessiva de ácido gástrico
- Cirrose, pois o fígado produz bile e enzimas essenciais para a boa digestão
- Defeitos estruturais[2]
- Doenças inflamatórias intestinais, como a doença de Crohn e a colite ulcerosa
- Fístulas (comunicação patológica do tubo intestinal)
- Estenoses (obstrução orgânica)
- Infiltração do intestino por amiloidose, linfoma ou gastroenterite eosinofílica
- Esclerose sistêmica
- Doenças sistêmicas[2]
- Hipotireoidismo e hipertireoidismo
- Doença de Addison
- Dismotilidade intestinal por Diabetes mellitus, hiperparatireoidismo e hipoparatiroidismo
- Síndrome carcinoide
- Síndrome de ativação de mastócitos[4]
- Doenças do colágeno vascular
- Outras
- Alcoolismo
- Síndrome do intestino irritável
- Cirurgia bariátrica (redução de estômago)
- Enterite por radiação
- Perda da flora bacteriana normal por uso prolongado de antibióticos
- Abuso de laxantes por pessoas com bulimia ou anorexia
Sinais e sintomas
Os sinais e sintomas dependem do nutriente não absorvido:[5]
- Malabsorção de gorduras: diarreia de cor clara, fétidas, moles, pouco densas e volumosas (esteatorreia), deficiência de vitamina A, deficiência de vitamina D, deficiência de vitamina E e deficiência de vitamina K (vitaminas armazenadas na gordura).
- Malabsorção de proteína: cabelos secos e frágeis, retenção de líquidos (edema), perda de massa muscular, Kwashiorkor.
- Malabsorção de açúcares: inchaço abdominal, cansaço, letargia, fraqueza, flatulência e diarreia explosiva.
- Malabsorção de vitaminas: dependem da vitamina. Falta de A causa imunodepressão, problemas de pele, cabelo e cegueira noturna. Falta de B9 ou B12 causa anemia megaloblástica. Falta de vitamina K causa hemorragia...
- Malabsorção de sais minerais: arritmias, dores osteomusculares, osteoporose...
Diagnóstico
A causa da malabsorção pode ser identificada pode diversos métodos:[5]
- Exames de nutriente em sangue: B12, vitamina D, folato, ferro, cálcio, caroteno, fósforo, proteínas...
- Exames de fezes para detectar quais nutrientes não foram absorvidos.
- Ecografia abdominal: visualizar vesícula biliar, fígado, pâncreas, parede intestinal e vias linfáticas.
- Seguimento de bário: revela anormalidades estruturais.
- Biópsia do intestino: revela alterações dos tecidos intestinais, como tumores, inflamação e necrose.
- Endoscopia e Colonoscopia
- Radiografia e Ressonância magnética: revela anormalidades estruturais
Tratamento
Administração de nutrientes, íons e líquidos intravenosos para reduzir os sintomas frequentemente são os primeiros passos no tratamento de uma síndrome de malabsorção. O tratamento específico dependerá da causa e tem uma dieta específica que pode ser planejada com ajuda de um nutricionista. Pessoas com intolerância à um nutriente (como lactose, frutose ou glúten) devem evitar produtos com esse nutriente ou tomar um comprimido com a enzima que o digere. Alguns defeitos estruturais e obstruções podem ser corrigidos com cirurgia abdominal. Doenças autoimunes como Crohn necessitam imunossupressão com esteroides.[5] Infecção bacteriana pode ser tratada com antibióticos, enquanto as parasitoses necessitam antiparasitários e enterites virais costumam melhorar apenas com líquidos e repouso. Abuso de laxantes por transtornos alimentares e abuso de álcool necessitam acompanhamento psicológico.
Ver também
Referências
- ↑ Jensen, Jonathan E. «Malabsorption Syndromes - Page 1». Colorado center for digestive disorders. Consultado em 15 de novembro de 2014. Cópia arquivada em 11 de abril de 2007
- 1 2 3 4 5 Dr Richard Draper, Dr Colin Tidy e Dr Adrian Bonsall.(2013) Gastrointestinal Malabsorption. http://patient.info/doctor/gastrointestinal-malabsorption
- ↑ http://www.msdmanuals.com/professional/gastrointestinal-disorders/malabsorption-syndromes/overview-of-malabsorption
- ↑ Afrin LB, Butterfield JH, Raithel M, Molderings GJ (2016). «Often seen, rarely recognized: mast cell activation disease--a guide to diagnosis and therapeutic options». The American Journal of the Medical Science (em inglês). 48 (3): 190-201. PMID 27012973. doi:10.3109/07853890.2016.1161231
- 1 2 3 Michael Kerr, Jacquelyn Cafasso e Judith Marcin MD (2016). Malabsorption Syndrome. http://www.healthline.com/health/malabsorption
