Doença de Creutzfeldt-Jakob
| Doença de Creutzfeldt–Jakob | |
|---|---|
| Sinónimos | Doença de Creutzfeldt–Jakob clássica[1] |
![]() | |
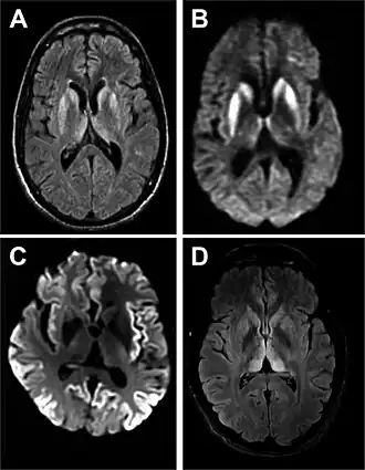
| Ressonância magnética de DCJ esporádica[2] | |
| Especialidade | Neurologia |
| Sintomas | Iniciais: perda de memória, alterações no comportamento, falta de coordenação, perturbações visuais[3] Tardios: demência, movimentos involuntários, perda de visão, fadiga, coma[3] |
| Complicações | Pneumonia por aspiração devido à dificuldade em tossir |
| Início habitual | Cerca de 60 anos[3] |
| Duração | Mortalidade de 70% no prazo de um ano após diagnóstico[3] |
| Tipos | Esporádica, familiar, iatrogénica, variante[3] |
| Causas | Prião[3] |
| Fatores de risco | Hereditária: pelo menos um antepassado com a doença |
| Método de diagnóstico | Baseado nos sintomas e exames médicos após serem descartadas outras possíveis causas[3] |
| Condições semelhantes | Encefalite, meningite crónica, doença de Huntington, doença de Alzheimer[3] |
| Tratamento | Cuidados paliativos[3] |
| Medicação | Para alívio da dor: morfina, metadona |
| Prognóstico | Fatal[3] |
| Frequência | 1 por milhão por ano[3] |
| Classificação e recursos externos | |
| CID-11 | 8E02.0 |
| CID-10 | A81.00, A81.0 |
| CID-9 | 046.1, 046.19 |
| OMIM | 123400 |
| DiseasesDB | 3166 |
| MedlinePlus | 000788 |
| eMedicine | 1169688 |
| MeSH | D007562 |
A doença de Creutzfeldt–Jakob (DCJ), também denominada encefalopatia espongiforme subaguda, é uma doença neurodegenerativa fatal.[3][1] Os sintomas iniciais mais comuns são perda de memória, alterações no comportamento, falta de coordenação e perturbações visuais[3] Entre os sintomas mais tardios estão demência, movimentos involuntários, perda de visão, fadiga e coma.[3] Em cerca de 70% dos casos a pessoa morre no prazo de um ano após o diagnóstico.[3]
A DCJ é causada por proteínas denominadas priões.[4] Os priões são proteínas mal enoveladas que fazem com que proteínas corretamente enoveladas se tornem elas próprias desenoveladas.[3] Cerca de 85% dos casos ocorrem por razões desconhecidas, enquanto cerca de 7,5% dos casos são herdados de um dos progenitores de forma autossómica dominante.[3][5] A doença pode também ser transmitida por exposição ao cérebro ou tecidos da medula espinal de uma pessoa infetada.[3] Não há evidências de que possa ser transmitida entre pessoas por contacto normal ou transfusão de sangue.[3] O diagnóstico da doença requer que sejam descartadas outras potenciais causas e pode ser complementado por electroencefalograma, punção lombar ou ressonância magnética.[3]
Não existe tratamento específico para a DCJ.[3] A dor pode ser aliviada com opioides, enquanto o clonazepam ou o valproato de sódio podem ajudar com os movimentos involuntários.[3] A DCJ afeta cerca de uma por cada milhão de pessoas por ano.[3] A doença tem geralmente início por volta dos 60 anos de idade.[3] Foi descrita pela primeira vez em 1920.[3] É um tipo de encefalopatia espongiforme transmissível.[6] A DCJ hereditária corresponde a cerca de 10% dos casos de doenças causadas por priões.[5] A DCJ esporádica é diferente da encefalopatia espongiforme bovina (doença das vacas loucas) e da doença de Creutzfeldt–Jakob variante.[7]
Referências
- 1 2 «Creutzfeldt-Jakob Disease, Classic (CJD)». CDC. 2 de outubro de 2018. Consultado em 21 de novembro de 2018
- ↑ Mead S, Rudge P (abril de 2017). «CJD mimics and chameleons». Practical Neurology. 17 (2): 113–121. PMC 5520355
. PMID 28153848. doi:10.1136/practneurol-2016-001571 - 1 2 3 4 5 6 7 8 9 10 11 12 13 14 15 16 17 18 19 20 21 22 23 24 25 «Creutzfeldt–Jakob Disease Fact Sheet | National Institute of Neurological Disorders and Stroke». NINDS. Março de 2003. Consultado em 16 de julho de 2017. Cópia arquivada em 4 de julho de 2017
- ↑ «Creutzfeldt-Jakob Disease, Classic (CJD) | Prion Diseases | CDC». www.cdc.gov (em inglês). 1 de fevereiro de 2019. Consultado em 17 de junho de 2019.
Classic CJD is a human prion disease
- 1 2 Manix, Marc; Kalakoti, Piyush; Henry, Miriam; Thakur, Jai; Menger, Richard; Guthikonda, Bharat; Nanda, Anil (1 de novembro de 2015). «Creutzfeldt-Jakob disease: updated diagnostic criteria, treatment algorithm, and the utility of brain biopsy». Neurosurgical Focus (em inglês). 39 (5): E2. ISSN 1092-0684. PMID 26646926. doi:10.3171/2015.8.FOCUS15328
- ↑ «About CJD | Creutzfeldt–Jakob Disease, Classic (CJD) | Prion Disease». CDC. 11 de fevereiro de 2015. Consultado em 16 de julho de 2017. Cópia arquivada em 8 de agosto de 2017
- ↑ «Creutzfeldt–Jakob Disease, Classic (CJD) | Prion Diseases». CDC. 6 de fevereiro de 2015. Consultado em 16 de julho de 2017. Cópia arquivada em 18 de julho de 2017
Ligações externas
- Doença de Creutzfeldt-Jakob (DCJ) no Manual Merck
