Contusão
A contusão, também conhecida como trauma contuso ou trauma não penetrante, é um trauma físico, ocorrendo particularmente por quedas em idosos.[1][2] É contrastado com o trauma penetrante, que ocorre quando um objeto perfura a pele e entra em um tecido do corpo, criando ferida aberta e hematoma.[3]
O trauma contuso pode resultar em contusões, escoriações, lacerações, hemorragias internas, fraturas ósseas, assim como a morte.[1]
Em todo o mundo, uma causa significativa de incapacitação e morte em pessoas com idade inferior a 35 anos são os traumas, sendo a maioria classificada como traumas contusos.[1]
Classificação
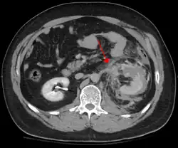
Contusão abdominal

O trauma abdominal contuso (TAB) representa 75% de todos os traumas contusos e é o exemplo mais comum dessa injúria.[4] 75% dos TAB ocorrem em colisões de veículos motorizados,[5] em que a desaceleração rápida pode impulsionar o motorista contra o volante, opainel de bordo ou o cinto de segurança,[6] causando contusões em casos menos graves ou ruptura de órgãos internos nos casos mais graves devido ao rápido aumento da pressão intraluminal, dependendo da força aplicada. Inicialmente, pode haver poucos indícios de que tenha ocorrido lesão abdominal interna grave, tornando a avaliação mais desafiadora e requerendo alto grau de suspeita clínica.[7]
Existem dois mecanismos físicos básicos a se levar em consideração no potencial de lesão de órgãos intra-abdominais: a compressão e a desaceleração.[8] A primeira ocorre a partir de um golpe direto, como um soco ou compressão contra um objeto resistente, como um cinto de segurança ou uma coluna de direção. Essa força pode deformar um órgão oco, aumentando sua pressão intraluminal ou interna e possivelmente levar à ruptura do mesmo.
A desaceleração, por outro lado, causa estiramento e cisalhamento nos pontos onde os conteúdos móveis do abdomen, como os intestinos, estão ancorados. Isso pode causar ruptura do mesentério intestinal e lesões nos vasos sanguíneos que passam por ele. São exemplos clássicos desses mecanismos ruptura no fígado por meio de seu ligamento redondo e lesões nas artérias renais.
Quando o trauma abdominal fechado é complicado por "lesão interna", o fígado e o baço (ver trauma esplênico fechado) são envolvidos com maior frequência, seguidos pelo intestino delgado.[9]
Em casos raros, essa injúria tem sido atribuída a técnicas médicas, como a manobra de Heimlich,[10] tentativas de RCP e impulsos manuais para desobstruir alguma via respiratória. Embora estes sejam exemplos raros, sugere-se que eles sejam causados pela aplicação de pressão excessiva ao realizar tais técnicas de salvamento. Finalmente, a ocorrência de ruptura esplênica com trauma abdominal contuso leve em pacientes em recuperação de mononucleose infecciosa ou 'mono' é bem reportada.[11]
Trauma abdominal contuso nos esportes
O ambiente supervisionado em que ocorrem a maioria das lesões esportivas permite leves desvios dos algoritmos tradicionais de tratamento de trauma, como o Suporte Avançado de Vida no Trauma, devido à maior precisão na identificação do mecanismo da injúria. A prioridade na avaliação do trauma contuso em lesões esportivas é separar contusões e lesões músculo tendinosas de lesões em órgãos sólidos e nos intestinos, reconhecer o potencial para desenvolver perda de sangue e reagir de acordo. Lesões contundentes nos rins por capacetes, ombreiras e joelhos são descritas no futebol americano,[12] futebol europeu, artes marciais e acidentes com todos os veículos terrestres.

Trauma torácico contuso
O termo trauma torácico contuso ou, mais informalmente, contusão pulmonar, abrange uma variedade de lesões no tórax. No geral, também se incluem danos causados por força contundente direta (como um soco forte), aceleração ou desaceleração (como a de uma batida na traseira do veículo), tensão de cisalhamento (uma combinação de aceleração e desaceleração), compressão (como um objeto pesado caindo sobre uma pessoa) e rajadas de energia (como algum tipo de explosão). Os sinais e sintomas comuns incluem algo tão simples quanto hematomas, mas ocasionalmente tão complicados quanto hipóxia, desequilíbrio ventilação-perfusão, hipovolemia e redução do débito cardíaco, dependendo da forma como os órgãos torácicos tiverem sido afetados. O trauma torácico fechado nem sempre é clinicamente perceptível e tais lesões internas podem não apresentar sinais ou sintomas no momento em que ele ocorre ou mesmo horas depois. Às vezes, um alto grau de suspeita clínica pode ser necessário para identificar tais lesões, e uma tomografia computadorizada pode ser útil nesses casos. Aqueles que sofrem complicações mais óbvias de uma lesão torácica fechada deverão passar por Avaliação Focada com Ultrassonografia para Trauma (de sigla em inglês FAST), que pode detectar com segurança quantidades significativas de sangue ao redor do coração ou nos pulmões usando uma máquina especial que visualiza as ondas sonoras enviadas através o corpo. Apenas 10 a 15% dos traumas torácicos requerem cirurgia, mas podem ter sérios impactos no coração, pulmões e grandes vasos.[13]

As lesões com mais imediato risco de morte que podem ocorrer incluem pneumotórax hipertensivo, pneumotórax aberto, hemotórax, tórax instável, tamponamento cardíaco e obstrução/ruptura das vias aéreas.[13]

As lesões podem exigir uma interferência médica, sendo a mais comum a inserção de um dreno intercostal ou dreno torácico. Esse tubo é tipicamente instalado porque ajuda a restaurar um certo equilíbrio nas pressões (geralmente devido ao ar extravasado ou ao sangue circundante) que impedem a capacidade dos pulmões de inflarem-se e, assim, trocar gases vitais que permitem a função corporal.[14] Um procedimento menos comum que pode ser empregado é a pericardiocentese que, ao remover o sangue rodeando o coração, permite que este recupere alguma capacidade de bombear sangue adequadamente.[15][16] Em certas circunstâncias mais graves, uma toracotomia de emergência pode ser feita.[17]
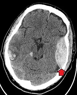
Trauma craniano contuso
A principal preocupação clínica com o trauma contuso na cabeça é o dano ao cérebro, embora outras estruturas, como crânio, face, órbitas e pescoço, também possam estar em risco.[9] Após haver avaliação das vias aéreas, circulação e respiração, um colar cervical pode ser colocado no paciente se houver suspeita de trauma no pescoço. Em seguida, procede-se com levantamento secundário de evidências de que haja trauma craniano, como a presença de hematomas, contusões, lacerações e escoriações. Além de se observarem lesões externas, o exame neurológico completo é tipicamente realizado para que sejam avaliados danos ao cérebro. Dependendo do mecanismo da lesão e das avaliações, tomografia computadorizada do crânio e do cérebro pode ser realizada. Ela normalmente é feita para avaliar se há hemorragia intracraniano ou fratura dos ossos cranianos.[18]

Traumatismo cranioencefálico
O traumatismo cranioencefálico (TCE) é uma causa significativa de morbidade e mortalidade, sendo mais comumente causada por quedas, acidentes automobilísticos, lesões esportivas, acidentes de trabalho e agressões. É a causa mais comum de morte em pacientes de até 25 anos. O TCE é classificado de leve a grave, com maior gravidade sendo correlacionada com aumentos da morbidade e mortalidade.[18][19]
A maioria dos pacientes com grave traumatismo cranioencefálico apresenta uma combinação de lesões intracranianas, podendo ser incluídas lesão axonal difusa, contusões cerebrais e hemorragias intracranianas, como hemorragia subaracnóidea, hematoma subdural, hematoma epidural e hemorragia intraparenquimatosa.[9][18] A recuperação da função cerebral após uma lesão traumática é altamente variável e depende das lesões intracranianas específicas existentes. Porém, existe uma significativa correlação entre gravidade da lesão inicial e nível de função neurológica durante a primeira avaliação e o nível de déficits neurológicos duradouros.[18] O tratamento inicial pode ser direcionado à redução da pressão intracraniana se houver preocupação com inchaço ou sangramento dentro do crânio, podendo exigir cirurgias como a hemicraniectomia, na qual parte do crânio é removida.[9][18]

Trauma contuso nas extremidades

Lesões nas extremidades (como braços, pernas, mãos e pés) são extremamente comuns.[20] As quedas são a etiologia mais comum, representando até 30% das injúrias dos membros superiores e 60% das dos membros inferiores. O mecanismo mais comum para as exclusivas dos membros superiores é a operação de máquinas ou o uso de ferramentas. Acidentes de trabalho e colisões de veículos são causas também comuns.[21] A extremidade lesionada é examinada quanto a quatro principais componentes funcionais, sendo eles tecidos moles, nervos, vasos sanguíneos e ossos.[22] Os vasos são examinados quanto à presença de hematomas em expansão, ruídos, sinais/sintomas de isquemia e exame de pulso distal é feito. Essencialmente, se pergunta: "O sangue parece estar passando pela área lesionada de uma maneira suficiente para chegar à da lesão?"[23] Quando a resposta "sim" não for óbvia, um índice de extremidade lesionada ou Índice Tornozelo-Braquial pode ser usado para ajudar a orientar se deve haver avaliação adicional com arteriografia portomografia computadorizada. Dessa forma, usa-se um scanner especial e uma substância que torna mais fácil examinar os vasos com mais detalhes do que as mãos ou os olhos humanos podem sentir ou ver.[24] Danos nos tecidos moles podem levar à rabdomiólise (uma rápida ruptura do músculo lesionado que pode sobrecarregar os rins) ou pode ser desenvolvida a síndrome compartimental (quando apressão se acumula nos compartimentos fasciais e danifica os nervos e vasos nos mesmos).[25][26] Os ossos são avaliados com radiografia simples ou tomografia computadorizada se forem observadas deformações (mudanças de formatos), hematomas ou frouxidão articular (frouxidão ou maior flexibilidade do que o normal). A avaliação neurológica envolve o teste das principais funções nervosas dos nervos axilar, radial e mediano na extremidade superior, bem como dos nervos femoral, ciático, fibular profundo e tibial na extremidade inferior. Pode ser necessário tratamento cirúrgico dependendo da extensão da lesão e das estruturas envolvidas, mas muitas vezes opta-se por tratamento não-cirúrgico.[27]
Trauma pélvico contuso
As causas mais comuns de trauma pélvico contuso são acidentes de veículos motorizados e quedas recorrentes, sendo comumente associadas a lesões traumáticas adicionais em outros locais.[28] Especificamente na pelve, as estruturas em risco incluem os ossos pélvicos, o fêmur proximal, os principais vasos sanguíneos (como as artérias ilíacas), o trato urinário, os órgãos reprodutivos e o reto.[29][28]
.png)
Uma das principais preocupações é o risco de fratura pélvica, que está associada a inumeráveis complicações, incluindo sangramento, danos à uretra e à bexiga e danos nervosos.[30] Se houver suspeita de trauma pélvico, os socorristas podem colocar um cinto de imobilização pélvico no paciente para estabilizar sua pelve e evitar mais danos a essas estruturas enquanto o mesmo é transportado para um hospital. Durante a avaliação de pacientes com trauma em um departamento de emergência, a estabilidade da pelve é normalmente avaliada pelo profissional de saúde para determinar se a fratura pode ter ocorrido. Os profissionais podem então decidir solicitar exames de imagem, como radiografia ou tomografia computadorizada, para detectar fraturas. No entanto, se houver suspeita de sangramento com risco de morte, o paciente deve passar por radiografia de pelve.[31] Após o tratamento inicial, as fraturas podem precisar ser tratadas cirurgicamente se forem significativas, enquanto outras menores podem cicatrizar sem a necessidade de intervenção cirúrgica.[28]
Uma preocupação com risco de morte é a hemorragia, que pode ser resultado de danos à aorta, artérias ilíacas ou veias da pelve, sendo a maioria dos sangramentos devido ao trauma pélvico proporcionada por lesões nas últimas.[30] Fluido (geralmente sangue) pode ser detectado na pelve por meio do ultrassom da ultrassonografia FAST, que geralmente é realizada após lesões traumáticas. Se um paciente parecer hemodinamicamente instável e não existir sangue evidente no exame FAST, pode haver preocupação com sangramento no espaço retroperitoneal, conhecido como hematoma retroperitoneal. Parar o sangramento pode exigir cirurgia endovascular ou cirurgia comum, dependendo da localização e da gravidade.[29]
Diagnóstico
Na maioria dos casos, a avaliação inicial e a estabilização da lesão traumática seguem os mesmos princípios gerais de identificação e tratamento de lesões com risco de morte iminente. Nos EUA, o American College of Surgeons publicou as diretrizes do Advanced Trauma Life Support, que fornecem uma abordagem passo a passo para a avaliação inicial, estabilização, raciocínio diagnóstico e tratamento de lesões traumáticas. Assim, padronizaram-se tais princípios gerais.[9] A avaliação geralmente começa garantindo que as vias aéreas do paciente estejam abertas e funcionais, que a respiração não seja dificultosa e que a circulação – ou seja, pulsações que podem ser sentidas – esteja presente. Isso às vezes é descrito como "A, B, C'" - Via Aérea (do inglês, Airway), Respiração (Breathing) e Circulação (Circulation) - e é o primeiro passo em qualquer ressuscitação ou triagem. Então, o conhecimento do acidente ou da lesão é ampliado com qualquer relato médico, dietético (hora da última ingestão oral) e outros relatos de quaisquer fontes que possam estar disponíveis, como família, amigos e médicos anteriores. Este método às vezes recebe o mnemônico "SAMPLE ". A quantidade de tempo gasto no diagnóstico deve ser minimizada e acelerada por uma combinação de avaliação clínica e uso apropriado de tecnologias,[32] como lavagem peritoneal diagnóstica (LPD) ou ultrassonografia à beira do leito (FAST),[33] antes de se submeter o paciente à laparotomia, caso necessário. Caso o tempo e a estabilidade do paciente permitam, o exame de TC pode ser realizado, se disponível.[34] Suas vantagens incluem maior definição da lesão, levando à sua graduação e, às vezes, à confiança para evitar ou adiar uma cirurgia. Suas desvantagens incluem o tempo necessário à aquisição das imagens, embora este se reduza a cada geração que surge de aparelhos, e a remoção do paciente dos cuidados da equipe de emergência ou cirúrgica. Muitos profissionais de saúde têm o auxílio de um algoritmo como as diretrizes do ATLS para determinar quais imagens obter após a avaliação inicial. Tais algoritmos levam em consideração o mecanismo da lesão, o exame físico e os sinais vitais do paciente para determinar se este deve fazer exames de imagem ou ser diretamente submetido à cirurgia.[9]
Critérios que podem permitir que pacientes com trauma abdominal fechado recebam alta com segurança sem avaliação adicional têm sido definidos recentemente. As características de tais pacientes incluem:
- ausência de intoxicação
- ausência de evidência de pressão arterial reduzida ou pulsação aumentada
- ausência de dor abdominal ou sensibilidade
- ausência de sangue na urina.
Para serem considerados de baixo risco, os pacientes precisam atender a todos esses os critérios.[35]
Tratamento
Quando a contusão do paciente é significativa o suficiente para este ter de ser avaliado por um profissional de saúde, o tratamento geralmente visa tratar lesões com risco de morte, o que requer a garantia de que o paciente seja capaz de respirar e evitar a perda contínua de sangue. Se houver evidências de que o paciente perdeu sangue, uma ou mais terapias intravenosas podem ser aplicadas e soluções cristalóides e/ou sangue administrados em taxas suficientes para manter a circulação.[9] Alguns pacientes podem necessitar de uma operação cirúrgica chamada laparotomia exploratória para que essas lesões internas sejam reparadas.[9]
Epidemiologia
No mundo todo, uma causa significativa de incapacitação e morte em pessoas com idade inferior a 35 anos são os traumas, dos quais a maioria é devido a trauma contuso.[1]
Veja também
- Trauma renal contuso
- Lesão cardíaca contundente
- Equipamento de proteção individual para trauma contuso
Referências
- 1 2 3 4 Simon, Leslie V.; Lopez, Richard A.; King, Kevin C. (2020). «Blunt Force Trauma». StatPearls Publishing. StatPearls. PMID 29262209. Consultado em 1 de janeiro de 2021
- ↑ Cimino-Fiallos, Nicole (28 de maio de 2020). «Hard Hits: Blunt Force Trauma»
. login.medscape.com. Medscape. Consultado em 1 de janeiro de 2021. Cópia arquivada em 24 de setembro de 2017 - ↑ Shkrum, Michael J.; Ramsay, David A. (6 de novembro de 2007). «8. Blunt trauma: with reference to planes, trains and automobiles». Forensic Pathology of Trauma (em inglês). [S.l.]: Springer Science & Business Media. ISBN 978-1-58829-458-6
- ↑ Isenhour JL, Marx J (agosto de 2007). «Advances in abdominal trauma». Emergency Medicine Clinics of North America. 25 (3): 713–733, ix. PMID 17826214. doi:10.1016/j.emc.2007.06.002
- ↑ «Assessment of abdominal trauma – Differential diagnosis of symptoms | BMJ Best Practice». bestpractice.bmj.com (em inglês). 14 de agosto de 2018. Consultado em 1 de janeiro de 2021
- ↑ Bansal V, Conroy C, Tominaga GT, Coimbra R (dezembro de 2009). «The utility of seat belt signs to predict intra-abdominal injury following motor vehicle crashes». Traffic Injury Prevention. 10 (6): 567–572. PMID 19916127. doi:10.1080/15389580903191450
- ↑ «Chapter 15: Management of Abdominal Trauma». Clinical Surgery: A Practical Guide. [S.l.]: CRC Press. 2009. pp. 192–204. ISBN 978-1-4441-0962-7
- ↑ Mukhopadhyay M (outubro de 2009). «Intestinal Injury from Blunt Abdominal Trauma: A Study of 47 Cases». Oman Med J. 24 (4): 256–259. PMC 3243872
. PMID 22216378. doi:10.5001/omj.2009.52 - 1 2 3 4 5 6 7 8 Advanced Trauma Life Support Student Course Manual (PDF) 9th ed. [S.l.]: American College of Surgeons. Consultado em 17 de dezembro de 2018. Cópia arquivada (PDF) em 21 de dezembro de 2018
- ↑ Mack L, Forbes TL, Harris KA (janeiro de 2002). «Acute aortic thrombosis following incorrect application of the Heimlich maneuver». Ann Vasc Surg. 16 (1): 130–133. PMID 11904818. doi:10.1007/s10016-001-0147-z
- ↑ O'Connor TE, Skinner LJ, Kiely P, Fenton JE (agosto de 2011). «Return to contact sports following infectious mononucleosis: the role of serial ultrasonography». Ear Nose Throat J. 90 (8): E21–24. PMID 21853428. doi:10.1177/014556131109000819

- ↑ Brophy RH, Gamradt SC, Barnes RP, Powell JW, DelPizzo JJ, Rodeo SA, Warren RF (janeiro de 2008). «Kidney injuries in professional American football: implications for management of an athlete with 1 functioning kidney». The American Journal of Sports Medicine. 36 (1): 85–90. PMID 17986635. doi:10.1177/0363546507308940
- 1 2 Blyth A (março de 2014). «Thoracic trauma». BMJ. 348: g1137. PMID 24609501. doi:10.1136/bmj.g1137
- ↑ Falter, Florian; Nair, Sukumaran (2012). Intercostal Chest Drain Insertion. [S.l.]: Springer, London. pp. 105–111. ISBN 9781447122586. doi:10.1007/978-1-4471-2259-3_10
- ↑ Interventional Pericardiology. Berlin: Springer. 2011. ISBN 978-3-642-11334-5. OCLC 1036224056. doi:10.1007/978-3-642-11335-2
- ↑ Bhargava M, Wazni OM, Saliba WI (março de 2016). «Interventional Pericardiology». Current Cardiology Reports. 18 (3). 31 páginas. PMID 26908116. doi:10.1007/s11886-016-0698-9
- ↑ Platz JJ, Fabricant L, Norotsky M (agosto de 2017). «Thoracic Trauma: Injuries, Evaluation, and Treatment». The Surgical Clinics of North America. 97 (4): 783–799. PMID 28728716. doi:10.1016/j.suc.2017.03.004
- 1 2 3 4 5 Haydel, Micelle; Scott, Dulebohn (2021). «Blunt Head Trauma». PubMed. StatPearls. PMID 28613521. Consultado em 11 de dezembro de 2018
- ↑ Nickson, Chris. «Traumatic Brain Injury». Life in the Fast Lane. Consultado em 13 de dezembro de 2018
- ↑ de Mestral C, Sharma S, Haas B, Gomez D, Nathens AB (fevereiro de 2013). «A contemporary analysis of the management of the mangled lower extremity». The Journal of Trauma and Acute Care Surgery. 74 (2): 597–603. PMID 23354257. doi:10.1097/TA.0b013e31827a05e3
- ↑ Søreide K (julho de 2009). «Epidemiology of major trauma». The British Journal of Surgery. 96 (7): 697–698. PMID 19526611. doi:10.1002/bjs.6643
- ↑ Johansen K, Daines M, Howey T, Helfet D, Hansen ST (maio de 1990). «Objective criteria accurately predict amputation following lower extremity trauma». The Journal of Trauma (em inglês). 30 (5): 568–572; discussion 572–3. PMID 2342140. doi:10.1097/00005373-199005000-00007
- ↑ «Annual Report of the National Trauma Data Bank (NTDB)». www.facs.org. Consultado em 16 de dezembro de 2018
- ↑ Lynch K, Johansen K (dezembro de 1991). «Can Doppler pressure measurement replace "exclusion" arteriography in the diagnosis of occult extremity arterial trauma?». Annals of Surgery. 214 (6): 737–741. PMC 1358501
. PMID 1741655. doi:10.1097/00000658-199112000-00016 - ↑ Egan AF, Cahill KC (novembro de 2017). «Compartment Syndrome». The New England Journal of Medicine. 377 (19). 1877 páginas. PMID 29117495. doi:10.1056/NEJMicm1701729
- ↑ Bosch X, Poch E, Grau JM (julho de 2009). «Rhabdomyolysis and acute kidney injury». The New England Journal of Medicine. 361 (1): 62–72. PMID 19571284. doi:10.1056/NEJMra0801327
- ↑ Kennedy RH (setembro de 1932). «Emergency Treatment of Extremity Fractures». New England Journal of Medicine. 207 (9): 393–395. doi:10.1056/NEJM193209012070903
- 1 2 3 «UpToDate». www.uptodate.com
- 1 2 Geeraerts, Thomas; Chhor, Vibol; Cheisson, Gaëlle; Martin, Laurent; Bessoud, Bertrand; Ozanne, Augustin; Duranteau, Jacques (2007). «Clinical review: Initial management of blunt pelvic trauma patients with haemodynamic instability». Critical Care. 11 (1). 204 páginas. ISSN 1364-8535. PMC 2151899
. PMID 17300738. doi:10.1186/cc5157 - 1 2 Nickson, Chris. «Pelvic Trauma». Life in the Fast Lane. Consultado em 20 de dezembro de 2018
- ↑ Croce, Martin. «Initial Management of Pelvic Fractures». FACS. American College of Surgeons. Consultado em 20 de dezembro de 2018. Arquivado do original em 21 de abril de 2015
- ↑ Woods SD (fevereiro de 1995). «Assessment of blunt abdominal trauma». ANZ Journal of Surgery. 65 (2): 75–76. PMID 7857232. doi:10.1111/j.1445-2197.1995.tb07263.x
- ↑ Marco GG, Diego S, Giulio A, Luca S (outubro de 2005). «Screening US and CT for blunt abdominal trauma: a retrospective study». Eur J Radiol. 56 (1): 97–101. PMID 16168270. doi:10.1016/j.ejrad.2005.02.001
- ↑ Jansen JO, Yule SR, Loudon MA (abril de 2008). «Investigation of blunt abdominal trauma». BMJ. 336 (7650): 938–942. PMC 2335258
. PMID 18436949. doi:10.1136/bmj.39534.686192.80 - ↑ Kendall JL, Kestler AM, Whitaker KT, Adkisson MM, Haukoos JS (novembro de 2011). «Blunt abdominal trauma patients are at very low risk for intra-abdominal injury after emergency department observation». West J Emerg Med. 12 (4): 496–504. PMC 3236146
. PMID 22224146. doi:10.5811/westjem.2010.11.2016
