Contusão cerebral
| Contusão cerebral | |
|---|---|
![]() | |
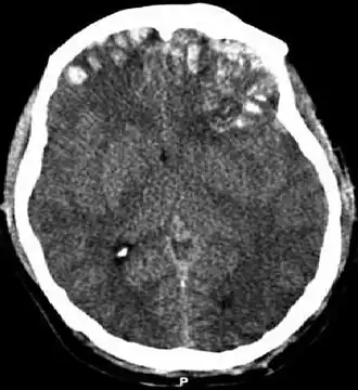
| Tomografia computadorizada mostrando contusões cerebrais, hemorragia nos hemisférios, hematoma subdural à esquerda e fraturas do crânio. | |
| Especialidade | neurocirurgia |
| Classificação e recursos externos | |
| MeSH | D000070624 |
A contusão cerebral, do latim contusio cerebri, é uma forma de lesão cerebral traumática.[1] A contusão ocorre em 20-30% dos ferimentos graves na cabeça. A lesão pode causar um declínio na função mental a longo prazo e, no cenário de emergência, pode resultar em hérnia cerebral, uma condição com risco de vida em que partes do cérebro são pressionadas para passar por partes do crânio.[2]
Referências
- ↑ Hardman JM, Manoukian A (2002). «Pathology of Head Trauma». Neuroimaging Clinics of North America. 12: 175–187, vii. PMID 12391630. doi:10.1016/S1052-5149(02)00009-6
- ↑ Khoshyomn, Sami; Tranmer, Bruce I. (maio de 2004). «Diagnosis and management of pediatric closed head injury». Seminars in Pediatric Surgery (2): 80–86. ISSN 1055-8586. PMID 15362277. doi:10.1053/j.sempedsurg.2004.01.003. Consultado em 17 de abril de 2021
