Comedocarcinoma
| Ductal carcinoma in situ | |
|---|---|
![]() | |
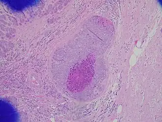
| Histopatologia de um comedocarcinoma com muita necrose (colorido de violeta no centro do ducto mamário). | |
| Especialidade | oncologia |
| Classificação e recursos externos | |
| CID-11 | XH1N58 |
| CID-10 | D05.1 |
| CID-CID-O | 8501/3 |
| MeSH | D002285 |
Comedocarcinoma ou carcinoma ductal in situ tipo comedo é um tipo de lesão pré-maligna dos ductos mamários que deve ser removido por seu risco elevado de tornar-se um câncer de mama invasivo. É diagnosticado com uma mamografia como uma ou várias massas calcificadas e muitos restos celulares que podem obstruir a passagem de leite. Geralmente exige radioterapia e cirurgia. Com o tratamento a mortalidade é menor a 2%.[1]
Histologia
É um tipo de carcinoma intraductal in situ de alto grau nuclear caracterizado pela presença de material de necrose de coagulação central e de restos celulares nos ductos mamários. [2]
Carcinomas ductal tipo comedo possuem tipicamente uma grande matriz extracelular de proteínas, uma lâmina basal alterada, e também uma matriz de colágeno mais solta e desorganizada. Em geral, verifica-se um aumento da celularidade estromal em carcinomas da mama tipo comedo, incluindo a presença de fibroblastos, linfócitos, histiócitos e pequenos vasos sanguíneos. Os espaços intercelulares entre grandes células mioepiteliais laterais que fazem fronteira com a lâmina basal são frequentemente expandidos quando comparados com os carcinomas intraductais de outros tipos. Algumas destas características pode desempenhar algum papel em seu aparente "maior potencial infiltrante".[3]
Tratamento
Não responde a terapia anti-estrógeno, como tamoxifeno, portanto geralmente se usa radioterapia para preparar para uma remoção cirúrgica (lumpectomia). A cirurgia precisa de uma margem um pouco maior por seu maior potencial invasivo. O risco de recorrência em 5 anos é de 8% após tratamento com radioterapia e lumpectomia, mas o prognóstico é muito positivo com menos de 2% de mortalidade em 10 anos após o diagnóstico.[3]
Referências
- ↑ Kelly TA, Kim JA, Patrick R, Grundfest S, Crowe JP. Axillary lymph node metastases in patients with a final diagnosis of ductal carcinoma in situ. Am J Surg 2003; 186:368–70 [PMID 14553852]
- ↑ https://mastologia.wordpress.com/2008/06/07/carcinoma-intraductal-da-mama-i/
- 1 2 http://breast-cancer.ca/comed-carc/
