Carcinoma ductal in situ
| Carcinoma ductal in situ | |
|---|---|
![]() | |
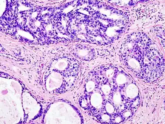
| Imagem histopatológica de carcinoma ductal in situ da mama. | |
| Especialidade | oncologia |
| Classificação e recursos externos | |
| CID-10 | D05.1 |
| MeSH | D002285 |
Carcinoma ductal in situ (CDIS), também denominado carcinoma intraductal, é uma lesão cancerosa pré-maligna ou não invasiva da mama.[1][2] O CDIS é classificado como estágio 0.[3] Raramente produz sintomas ou nódulos que se possam sentir durante a palpação, sendo geralmente detectado através de mamografia.[4][5]
O CDIS corresponde à presença de células anormais no revestimento de um ou mais ductos lactíferos na mama. In situ significa "no local" e refere-se ao facto de as células anormais não se terem expandido para além do ducto mamário para um dos tecidos mamários envolventes. "Pré-maligno" refere-se ao facto de não se ter ainda tornado um cancro invasivo. Em alguns casos, o CDIS pode-se tornar invasivo e espalhar para outros tecidos, mas não é possível distinguir quais as lesões que permanecem estáveis sem tratamento e quais é que se tornam invasivas. O CDIS engloba um amplo espectro de doenças, desde tumores de baixo grau que não apresentam risco de vida, até lesões de alto grau e agressivas que colocam a vida em risco.
O CDIS é classificado de acordo com o padrão estrutural das células (micropapilares, papilares, sólidos e cribiformes), grau do tumor (alto, intermédio e baixo) e presença ou ausência de histologia de comedo.[6] O CDIS pode ser detectado em mamografias ao examinar pequenas manchas de cálcio denominadas microcalcificações. Como é possível existirem grupos suspeitos de microcalcificações mesmo na ausência de CDIS, em alguns casos pode ser necessário realizar biópsia para concluir um diagnóstico.
Cerca de 20 a 30% dos CDIS que não recebem tratamento evoluem para cancro da mama.[7] O CDIS é o tipo mais comum de pré-cancro em mulheres. Não existe ainda um consenso se, para efeitos de estatística, o CDIS deve ser considerado cancro. Algumas publicações incluem o CDIS quando contabilizam os casos de cancro da mama, enquanto outras não.[8][9]
Ver também
Referências
- ↑ Sinn, HP; Kreipe, H (maio de 2013). «A Brief Overview of the WHO Classification of Breast Tumors, 4th Edition, Focusing on Issues and Updates from the 3rd Edition.». Breast care (Basel, Switzerland). 8 (2): 149–154. PMID 24415964. doi:10.1159/000350774
- ↑ Seltzer, William H. Hindle, editor ; with a foreword by Vicki (1999). Breast care: a clinical guidebook for women's primary health care providers. New York: Springer. p. 129. ISBN 9780387983486
- ↑ Staging, Breastcancer.org
- ↑ Welch HG, Woloshin S, Schwartz LM (fevereiro de 2008). «The sea of uncertainty surrounding ductal carcinoma in situ--the price of screening mammography». J. Natl. Cancer Inst. 100 (4): 228–9. PMID 18270336. doi:10.1093/jnci/djn013
- ↑ Liberman, Laura (2005). Breast MRI. New York: Springer Science+Business Media, Inc. p. 164. ISBN 9780387219974
- ↑ Virnig BA, Shamliyan T, Tuttle TM, Kane RL, Wilt TJ (setembro de 2009). «Diagnosis and management of ductal carcinoma in situ (DCIS)». Evidence Report/Technology Assessment. AHRQ Publication No.09-E018. (185): 1–549. PMID 20629475
- ↑ Raphael Rubin; David S. Strayer, eds. (2008). Rubin's Pathology: clinicopathologic foundations of medicine 5. ed. Philadelphia [u.a.]: Wolters Kluwer/Lippincott Williams & Wilkins. p. 848. ISBN 9780781795166
- ↑ «Breast Cancer Treatment (PDQ®)». NCI. 11 de abril de 2014. Consultado em 19 de junho de 2014
- ↑ «Breast Cancer Treatment (PDQ®)». NCI. Consultado em 19 de junho de 2014
.jpg)