Estenose do esófago
| Estenose do esófago | |
|---|---|
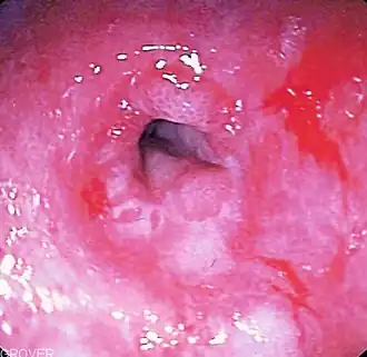
![]() | |
| Imagem por endoscopia de uma estenose do esófago benigna | |
| Especialidade | gastrenterologia |
| Classificação e recursos externos | |
| CID-11 | DA20.0 |
| CID-10 | K22.2 |
| CID-9 | 530.3 |
| DiseasesDB | 31502 |
| MedlinePlus | 000207 |
| eMedicine | article/175098 |
| MeSH | D004940 |
Uma estenose do esófago benigna é qualquer estreitamento ou aperto do esófago que cause dificuldade em engolir. Os sintomas mais comuns são azia, sabor amargo ou ácido na boca, engasgos, tosse, falta de ar, soluços ou eructação frequentes, dor ou dificuldade em engolir, vómitos com sangue ou perda de peso.[1]
A condição pode ser causada por, ou estar associada a, doença de refluxo gastroesofágico,[2] esofagite, uma cárdia desfuncional, problemas de motilidade ou uma hérnia de hiato. Uma estenose pode ainda ser o resultado de cicatrizes resultantes de uma cirurgia ao esófago ou de outros tratamentos como terapia laser ou terapia fotodinâmica.[3] O diagnóstico pode ser auxiliado por radiografia com contraste de bário, tomografia computorizada, biópsia ou endoscopia.[4]
Nos casos em que é causada por uma esofagite, geralmente é tratada a infeção subjacente com antibióticos. A estenose pode também ser alargada com uma intervenção cirúrgica.[3] A doença de refluxo gastroesofágico afeta aproximadamente 40% dos adultos. A estenoses ocorrem em 7–23% dos casos não tratados de doença do refluxo gastroesofágico.[5]
Referências
- ↑ PDRhealth – Esophageal Stricture: (http://www.pdrhealth.com/disease/disease-mono.aspx?contentFileName=ND7417G.xml&contentName=Esophageal+Stricture&contentId=506&TypeId=2)
- ↑ Shaker, Reza; Belafsky, Peter C.; Postma, Gregory N.; Easterling, Caryn, eds. (27 de setembro de 2012). Principles of Deglutition (em inglês). [S.l.]: Springer Science & Business Media. p. 746. ISBN 978-1-4614-3794-9. Consultado em 26 de junho de 2016.
Chronic GERD is the most common etiology of benign esophageal strictures, referred to as peptic strictures.
- ↑ a b Ginex, Pamela K., Manjit S. Bains, Jacqueline Hanson, and Bart L. Frazzitta. 100 Questions & Answers About Esophageal Cancer (100 Questions & Answers). New York: Jones and Bartlett, Inc., 2005. Print.
- ↑ Craner, David J. «Esophageal Strictue». Discovery Health
- ↑ Esophageal Stricture no eMedicine
