Esofagite

Inflamação do esôfago por endoscopia

A esofagite consiste na inflamação da mucosa que recobre o interior do esôfago. Pode vir acompanhada de um estreitamento no interior do conduto (estenose esofágica).

O refluxo gastroesofágico é a causa mais comum de esofagite.

Esofagite cáustica

Severa esofagite causada pela ingestão acidental (crianças) ou com intuito suicida (adolescentes e adultos) de soda cáustica (hidróxido de sódio) - presente em desentupidores de pia e materiais de limpeza. Recentemente um aumento significativo tem ocorrido devido a ingestão de solução cáustica comercializada de maneira informal e acondicionada em frascos vazios de refrigerantes, induzindo as crianças a pensar que se trata de bebidas convencionais.

Estes pacientes sofrem a ação do agente causando grandes transtornos, variando de intensidade na decorrência da quantidade e da potência do agente, variando no número de órgãos acometidos (boca, faringe, laringe, esôfago e estômago). A extensão e a profundidade das lesões determinam a qualidade de vida futura, que pode ser muito baixa, sendo submetidos a vários procedimentos endoscópicos (dilatações) ou cirúrgicos, devido ao estreitamento do órgão e à cicatrização anômala do esôfago

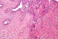
Esofagite Eosinofilica

É uma doença inflamatória com características alérgicas, causada por um denso infiltrado de eosinófilos no epitélio esofágico. O diagnóstico é feito por endoscopia digestiva alta, com identificação de lesões sugestivas e realização de biópsias. A análise destas amostras deve demonstrar a presença de pelo menos 15 eosinófilos por campo de grande aumento. O tratamento baseia-se em dietas específicas bem como medicamentos como corticóides.[1]

Referências

  1. Fey A, ;Kotze LM, ;Serapião M. ; Esofagite eosinofílica: revisão de literatura. Revista On-line da Associação Catarinense de Medicina. 2012; V41 N2: 89-92.