Síndrome de Boerhaave

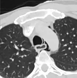
Tomografia com sinais compatíveis com ruptura esofagiana.

A Síndrome de Boerhaave é a ruptura espontânea do esôfago, ocorre subitamente e gera risco de morte. Em 80% dos casos é precedida por episódios de vômitos intensos. Descrita pela primeira vez por Hermann Boerhaave.

Diagnóstico

A Síndrome de Boerhaave não é diagnosticada inicialmente em 50% dos casos. Isto porque sua apresentação clínica mimetiza uma série de situações freqüentemente deparadas pelos profissionais médicos, tais como dissecção de aorta, infarto miocárdico, doença péptico dolorosa, pancreatite aguda, pericardite e pneumotórax.

Abordagem terapêutica

A necessidade de uma abordagem terapêutica precoce, a baixa incidência, a semelhança clínica com outras patologias e o risco de contaminação cervical, mediastínica e torácica são fatores que quando somados resultam numa taxa de mortalidade de 25-30% quando o tratamento ocorre antes de 24 horas a partir da ruptura e de 45-55% quando decorrem mais de 24 horas.