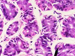
Célula parietal

Célula parietal
Célula parietal
Subclasse de célula, epithelial cell of stomach
Localização anatômica estômago
Cell Ontology CL_0000162
MeSH D010295
Foundational Model of Anatomy 62901

Células parietais ou células oxínticas são células epiteliais do estômago que secretam ácido gástrico e fator intrínseco. Compõem as glândulas oxínticas.[1]

Referências

  1. Hall, John E. (20 de fevereiro de 2015). Tratado de fisiologia médica. Arthur C. Guyton. [S.l.]: Elsevier. p. 819