Pneumócito
Pneumócito
| |
|---|---|
![]() | |
| Subclasse de | célula |
| Cell Ontology | CL_0000322 |

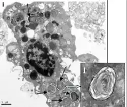
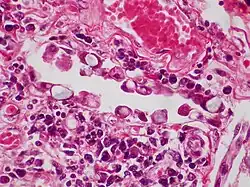
Um pneumócito é uma célula epitelial dos alvéolos pulmonares.[1] Há dois tipos de pneumócitos, os de tipo I, que constituem 40% das células e ocupam 90% da superfície do alvéolo e os de tipo II, que constituem 60% das células e ocupam apenas 10% da superfície do alvéolo.[2] [3]
Referências
- ↑ OMS,OPS (ed.). «Células epiteliales alveolares». Descriptores en Ciencias de la Salud, Biblioteca virtual de salud (em espanhol). Consultado em 9 de janeiro de 2021
- ↑ Lowe J.S., Anderson P.G., Anderson S.I. (2020). «10:Aparato respiratorio». Stevens y Lowe. Histología humana 5a. ed. [S.l.]: Elsevier Health Sciences. p. 168
- ↑ Ventrice E.A.; Martí-Sistac O.; Gonzalvo R.; Villagrá A.; López-Aguilar J.; Blanch L. (2007). «Mecanismos biofísicos, celulares y modulación de la lesión pulmonar inducida por la ventilación mecánica». SciELO. Puesta al día en Medicina Intensiva: Síndrome de Distrés Respiratorio Agudo. 31 (2). Consultado em 8 de janeiro de 2021
