Síndrome de Ofélia
A síndrome de Ofélia ou síndrome de Ophelia é caracterizada pela coincidência de sintomas neuropsiquiátricos graves, linfoma de Hodgkin clássico e a presença de anticorpos contra o recetor metabotrópico do glutamato 5 (mGluR5). A expressão de mGluR5 está aumentada no tecido do linfoma de Hodgkin clássico nos doentes com síndrome de Ophelia, em contraste com doentes com linfoma de Hodgkin clássico sem encefalite autoimune. Tendo em conta a associação entre encefalite e linfoma de Hodgkin clássico na síndrome de Ophelia, é possível que a expressão de mGluR5 nas células do linfoma de Hodgkin clássico não só conduza à progressão do tumor, mas também desencadeie uma encefalite anti-mGluR5 mesmo antes de o linfoma de Hodgkin clássico se manifestar.

Problemática e enquadramento
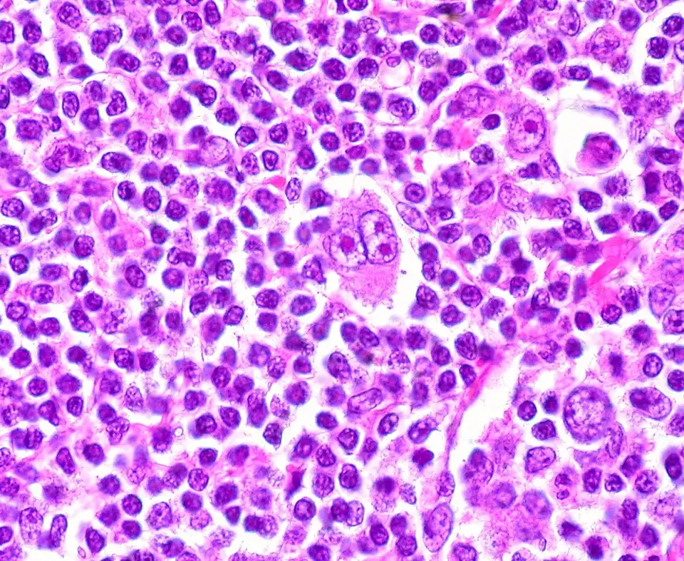
O linfoma de Hodgkin clássico é um linfoma de células B caracterizado pela presença de algumas células gigantes multinucleadas de Hodgkin e Reed-Sternberg.[1] Estas células constituem menos de 1% do tecido linfoide infiltrado e estão rodeadas por células inflamatórias que formam o microambiente tumoral.[1][2] As células de Hodgkin e Reed-Sternberg expressam o marcador de superfície CD30, definindo assim o linfoma de Hodgkin clássico. A doença divide-se nos subtipos:
- (i) esclerose nodular,
- (ii) celularidade mista,
- (iii) depleção de linfócitos e
- (iv) rico em linfócitos, que representam a maioria dos linfomas de Hodgkin.[2]
Embora o linfoma de Hodgkin represente apenas 5-6% de todos os cancros da infância, é a neoplasia mais frequente em adolescentes e adultos jovens entre os 15 e os 19 anos de idade, com um segundo pico em indivíduos idosos.[3][4] [5]
Sabe-se que o linfoma de Hodgkin clássico está associado não só a infecções virais e doenças auto-imunes, mas também a fenómenos imunomediados atípicos, como as síndromes neurológicas paraneoplásicas.[6] Estas são frequentemente causadas por uma resposta mediada por anticorpos contra os chamados antigénios "onconeurais", por exemplo, antigénios que são expressos tanto pelo sistema nervoso como pelo tumor.[7]
Mecanismo Autoimune
Assim, a expressão ectópica destes antigénios pelo linfoma de Hodgkin clássico pode desencadear uma resposta autoimune mal dirigida contra estruturas neuronais devido ao mimetismo molecular.[8][9] Os sintomas neurológicos paraneoplásicos podem preceder, acompanhar ou ocorrer na sequência do linfoma de Hodgkin clássico.[10][11] Exemplos são a síndrome de degeneração cerebelar paraneoplásica (DCP), a degeneração cerebelar cortical subaguda (DCSC) e a encefalite límbica (EL) [9,14,17]. Uma forma desta última foi descrita pela primeira vez como "síndrome de Ophelia" por Ian Carr (1982).[12] Afecta principalmente e de forma quase exclusiva crianças e jovens adultos, que desenvolvem psicose grave com alucinações extensas, alterações comportamentais, disfunção cognitiva, convulsões, perturbações do movimento e perturbações do sono.[13] Lancaster et al. (2011) descreveram autoanticorpos patogénicos na síndrome de Ophelia que têm como alvo o recetor metabotrópico de glutamato 5 (mGluR5) e causam uma diminuição da densidade de mGluR5 nos neurónios.[12] O reconhecimento precoce desta encefalite anti-mGluR5 através do rastreio de anticorpos no líquido cefalorraquidiano é crucial, uma vez que os doentes respondem favoravelmente à remoção dos anticorpos. A maioria dos doentes recupera e beneficia de um acompanhamento minucioso com deteção precoce do linfoma de Hodgkin clássico.[14][12]
Embora o linfoma ocorra em metade de todos os casos de Ophelia, não há relatos que tenham investigado a associação fisiopatológica ou funcional entre a encefalite anti-mGluR5 e o linfoma de Hodgkin clássico.[14]
Tratamento
O tratamento tratamento passa pela imunoterapia, incluindo metilprednisolona, imunoglobulinas intravenosas, imunoadsorção, rituximab intravenoso e intratecal, bem como aplicação de bortezomib intravenoso.[15] Ver também tratamento da encefalite limbica.
Tratamento da enfermedade de base. Veja-se Linfoma de Hodgkin.
Conclusões
Nos últimos anos, foram feitos progressos significativos na nossa compreensão da síndrome de Ophelia. No entanto, os mecanismos moleculares subjacentes que conduzem tanto à encefalite anti-mGluR5 como ao linfoma de Hodgkin clássico são pouco conhecidos.
A deteção de doença neurológica paraneoplásica que precede o linfoma de Hodgkin clássico pode ser um desafio.[16] No entanto, o diagnóstico precoce de uma síndrome de Ophelia é fundamental tanto para o tratamento da encefalite anti-mGluR5 como para o reconhecimento mais precoce possível de um linfoma de Hodgkin clássico subsequente. Recomenda-se:
- um acompanhamento minucioso e um rastreio rigoroso do linfoma de Hodgkin clássico após a deteção de encefalite anti-mGluR5,
- a pesquisa da expressão de mGluR5 no material de biópsia de linfoma de Hodgkin clássico de doentes com encefalite autoimune e
- a inclusão do rastreio de mGluR5 no procedimento de diagnóstico padrão do linfoma de Hodgkin clássico, uma vez que tal poderia fornecer mais informações sobre a progressão do tumor e servir como marcador de prognóstico.
Outros factores podem também estar implicados na patogénese da síndrome de Ophelia no contexto do linfoma de Hodgkin clássico, porque a expressão de mGluR5 não é tão rara no linfoma de Hodgkin clássico, em contraste com a raridade da síndrome de Ophelia. Por conseguinte, são necessários mais estudos sobre a relevância clínica da expressão de mGluR5 no linfoma de Hodgkin clássico, bem como sobre o seu impacto funcional no desenvolvimento do tumor, para se obter uma compreensão mais aprofundada da patogénese da encefalite anti-mGluR5 e da sua ligação ao desenvolvimento do linfoma.
Veja também
Referências
- ↑ a b Weniger, Marc A.; Küppers, Ralf (8 de março de 2021). «Molecular biology of Hodgkin lymphoma». Leukemia (4): 968–981. ISSN 0887-6924. doi:10.1038/s41375-021-01204-6. Consultado em 9 de julho de 2023
- ↑ a b Tiacci, Enrico; Döring, Claudia; Brune, Verena; van Noesel, Carel J. M.; Klapper, Wolfram; Mechtersheimer, Gunhild; Falini, Brunangelo; Küppers, Ralf; Hansmann, Martin-Leo (29 de novembro de 2012). «Analyzing primary Hodgkin and Reed-Sternberg cells to capture the molecular and cellular pathogenesis of classical Hodgkin lymphoma». Blood (23): 4609–4620. ISSN 0006-4971. doi:10.1182/blood-2012-05-428896. Consultado em 9 de julho de 2023
- ↑ Connors, Joseph M.; Cozen, Wendy; Steidl, Christian; Carbone, Antonino; Hoppe, Richard T.; Flechtner, Hans-Henning; Bartlett, Nancy L. (23 de julho de 2020). «Hodgkin lymphoma». Nature Reviews Disease Primers (1). ISSN 2056-676X. doi:10.1038/s41572-020-0189-6. Consultado em 9 de julho de 2023
- ↑ Grimm, Sean; Chamberlain, Marc (2011). «Hodgkin's Lymphoma: A Review of Neurologic Complications». Advances in Hematology: 1–7. ISSN 1687-9104. doi:10.1155/2011/624578. Consultado em 9 de julho de 2023
- ↑ Gopas, J; Stern, E; Zurgil, U; Ozer, J; Ben-Ari, A; Shubinsky, G; Braiman, A; Sinay, R; Ezratty, J (10 de novembro de 2016). «Reed-Sternberg cells in Hodgkin's lymphoma present features of cellular senescence». Cell Death & Disease (11): e2457–e2457. ISSN 2041-4889. doi:10.1038/cddis.2016.185. Consultado em 9 de julho de 2023
- ↑ Edward B, Miller (30 de junho de 2018). «Autoimmunity and Lymphoma: A Brief Review». Journal of Rheumatic Diseases and Treatment (2). ISSN 2469-5726. doi:10.23937/2469-5726/1510062. Consultado em 9 de julho de 2023
- ↑ Briani, C.; Vitaliani, R.; Grisold, W.; Honnorat, J.; Graus, F.; Antoine, J. C.; Bertolini, G.; Giometto, B. (21 de fevereiro de 2011). «Spectrum of paraneoplastic disease associated with lymphoma». Neurology (8): 705–710. ISSN 0028-3878. doi:10.1212/wnl.0b013e31820d62eb. Consultado em 9 de julho de 2023
- ↑ Dropcho, Edward J. (janeiro de 2004). «Neurologic paraneoplastic syndromes». Current Oncology Reports (1): 26–31. ISSN 1523-3790. doi:10.1007/s11912-996-0006-8. Consultado em 9 de julho de 2023
- ↑ Dalmau, Josep; Geis, Christian; Graus, Francesc (abril de 2017). «Autoantibodies to Synaptic Receptors and Neuronal Cell Surface Proteins in Autoimmune Diseases of the Central Nervous System». Physiological Reviews (2): 839–887. ISSN 0031-9333. doi:10.1152/physrev.00010.2016. Consultado em 9 de julho de 2023
- ↑ Goldin, Lynn R.; Landgren, Ola (1 de abril de 2009). «Autoimmunity and lymphomagenesis». International Journal of Cancer (7): 1497–1502. ISSN 0020-7136. doi:10.1002/ijc.24141. Consultado em 9 de julho de 2023
- ↑ Váróczy, László; Gergely, Lajos; Zeher, Margit; Szegedi, Gyula; Illés, ÁrpÁd (1 de novembro de 2002). «Malignant lymphoma-associated autoimmune diseases - a descriptive epidemiological study». Rheumatology International (6): 233–237. ISSN 0172-8172. doi:10.1007/s00296-002-0229-4. Consultado em 9 de julho de 2023
- ↑ a b c Lancaster, E.; Martinez-Hernandez, E.; Titulaer, M. J.; Boulos, M.; Weaver, S.; Antoine, J.- C.; Liebers, E.; Kornblum, C.; Bien, C. G. (19 de outubro de 2011). «Antibodies to metabotropic glutamate receptor 5 in the Ophelia syndrome». Neurology (18): 1698–1701. ISSN 0028-3878. doi:10.1212/wnl.0b013e3182364a44. Consultado em 9 de julho de 2023
- ↑ Carr, Ian (abril de 1982). «THE OPHELIA SYNDROME: MEMORY LOSS IN HODGKIN'S DISEASE». The Lancet (8276): 844–845. ISSN 0140-6736. doi:10.1016/s0140-6736(82)91887-6. Consultado em 9 de julho de 2023
- ↑ a b Spatola, Marianna; Sabater, Lidia; Planagumà, Jesús; Martínez-Hernandez, Eugenia; Armangué, Thaís; Prüss, Harald; Iizuka, Takahiro; Caparó Oblitas, Ruben L.; Antoine, Jean-Christophe (27 de abril de 2018). «Encephalitis with mGluR5 antibodies». Neurology (22): e1964–e1972. ISSN 0028-3878. doi:10.1212/wnl.0000000000005614. Consultado em 9 de julho de 2023
- ↑ Lo, Andrea C.; Dieckmann, Karin; Pelz, Tanja; Gallop‐Evans, Eve; Engenhart‐Cabillic, Rita; Vordermark, Dirk; Kelly, Kara M.; Schwartz, Cindy L.; Constine, Louis S. (5 de abril de 2021). «Pediatric classical Hodgkin lymphoma». Pediatric Blood & Cancer (S2). ISSN 1545-5009. doi:10.1002/pbc.28562. Consultado em 9 de julho de 2023
- ↑ Betcherman, Laura; Punnett, Angela (2017). «Paraneoplastic Syndromes in Children with Hodgkin Lymphoma». Oncology & Hematology Review (US) (01). 41 páginas. ISSN 2052-3815. doi:10.17925/ohr.2017.13.01.41. Consultado em 9 de julho de 2023