Encefalite autoimune
| Encefalite autoimune | |
|---|---|
![]() | |
| Classificação e recursos externos | |
A encefalite autoimune é uma doença inflamatória caracterizada por um comprometimento subagudo da memória de curto prazo, características psiquiátricas e convulsões. Está frequentemente associada a uma variedade de outros sintomas neurológicos e o seu diagnóstico diferencial é vasto, o que leva a desafios no seu reconhecimento. Costumava ser considerada uma doença rara, geralmente paraneoplásica e com mau prognóstico. No entanto, com o recente reconhecimento dos anticorpos, sabe-se agora que, numa proporção substancial de casos, não há associação com qualquer malignidade e há um bom prognóstico se for tratada. Por conseguinte, o reconhecimento precoce e o início imediato de imunoterapias são de grande importância.
A descoberta de autoanticorpos contra células nervosas ou gliais como causa da encefalite autoimune levou a uma mudança abrangente na abordagem das doenças neurológicas e psiquiátricas nos últimos anos.[1] Isto não só diz respeito aos algoritmos diagnósticos e terapêuticos, às afirmações sobre o prognóstico ou à associação de tumores, mas também resultou em novos conhecimentos sobre a origem fundamental das doenças cerebrais e, não menos importante, tornou possível o tratamento de muitos doentes cujos sintomas eram anteriormente avaliados como dissociativos, associados a infecções, criptogénicos ou "pouco claros".[2][3] Paralelamente ao conhecimento clínico crescente, o diagnóstico foi significativamente simplificado e os testes de anticorpos sensíveis estão agora amplamente disponíveis. Como resultado, a terapêutica pode agora ser iniciada muito mais rapidamente em muitos doentes, o que, para além de uma terapêutica suficientemente eficaz, é considerado um fator importante para o prognóstico a longo prazo.[4][5]
As abordagens de tratamento são agora dirigidas a várias células e receptores do sistema imunitário, e o número de opções terapêuticas está a aumentar continuamente. Em parte, os anticorpos individuais estão na origem de síndromes clínicas muito específicas, que podem incluir ataques epilépticos, perturbações da consciência, perturbações do movimento, perturbações cognitivas, perturbações vegetativas ou psicoses. Atualmente, este desenvolvimento não tem fim à vista, uma vez que continuam a ser descobertos novos auto-anticorpos cujo significado patogénico será investigado em estudos futuros. Este artigo descreve os auto-anticorpos atualmente mais importantes que podem ocorrer como causa de encefalite autoimune, descreve os princípios diagnósticos e terapêuticos comuns e identifica novas descobertas que são relevantes para a compreensão da patogénese das encefalites.[carece de fontes]
Apresentação clínica
As encefalites autoimunes podem ser divididas em variantes com anticorpos contra antigénios intracelulares e variantes com anticorpos contra antigénios de superfície.
Encefalite com anticorpos contra antigénios intracelulares
Muito frequentemente, a encefalite autoimune com anticorpos contra alvos intracelulares tem por base um tumor. Os antigénios neuronais são expressos ectopicamente, por exemplo, em timomas, carcinomas pulmonares de pequenas células, carcinomas do ovário ou do testículo e levam à formação dos chamados anticorpos onconeurais. Estes anticorpos não diretamente patogénicos contra alvos intracelulares estão associados a uma resposta citotóxica das células T responsável por danos neuronais. Uma vez que as encefalites com anticorpos contra antigénios intracelulares respondem mal à imunoterapia, a deteção precoce do tumor é crucial para o sucesso terapêutico e o prognóstico. A deteção de determinados tipos de anticorpos pode simplificar significativamente a procura do tumor primário (Tabela 1).[carece de fontes]
| Anticorpo | Sindrome clinico Associado | Tumor associado |
|---|---|---|
| Anfifisina | Encefalite límbica, encefalomielite, neuropatia sensorial, Síndrome da pessoa rígida, degeneração cerebelar | > 90 %, geralmente carcinoma da mama ou cancro do pulmão de pequenas células (CPPC). |
| ANNA-3 | Encefalite límbica, degeneração cerebelar, encefalomielite, neuropatia sensorial | ≈ 60 % CPPC |
| CV2 (CRMP-5) | Encefalite límbica, perturbações do movimento, opsoclonia, neurite ótica, encefalomielite, degenerescência cerebelar, NMOSD | > 90 %, sobretudo CPPC ou timomas. |
| GADa | Síndrome da pessoa rígida, ataxia cerebelar, encefalite límbica, crises epilépticas refractárias.
|
Raro; é possível o aparecimento de timoma, tumor neuroendócrino ou carcinoma do pulmão/mamária |
| GFAP | Meningoencefalite, meningoencefalomielite (em 10-20 %, adicionalmente, NMDAR-Anticorpo detetável) | ≈ 10-20 %, sobretudo teratoma do ovário se NMDAR-Anticorpo detetável (caso contrário, associado a várias entidades tumorais) |
| Hu (ANNA-1) | Encefalite límbica, encefalite do tronco cerebral, degenerescência cerebelar, síndrome de Denny-Brown, disautonomia, mielite, menos frequentemente neuropatia motora, ocasionalmente coreia, LEMS, síndrome opsoclonus-myoclonus (no neuroblastoma pediátrico) | > 90 %, sobretudo CPPC (especialmente no LEMS), também no neuroblastoma ou no carcinoma da próstata |
| Ma2 | Encefalite límbica, síndroma cerebelar, ataxia | > 90 %, geralmente tumor do testículo ou do pulmão |
| Ri (ANNA-2) | Encefalite do tronco cerebral, síndrome opsoclonus-myoclonus, ataxia cerebelar | > 90 %, sobretudo carcinoma da mama, tumores ginecológicos ou CPPC |
| Sox-1 (AGNA) | Síndroma de miastenia de Lambert-Eaton (LEMS), ataxia cerebelosa, polineuropatia | > 90 %, sobretudo CPPC (especialmente no LEMS) |
| Yo (PCA-1) | Síndrome cerebelar com ataxia, disartria, nistagmo; possíveis sintomas acompanhantes: Diplopia, disfagia, neuropatia periférica | > 90 %, geralmente carcinoma da mama ou outros tumores ginecológicos, CPPC |
| Zic4 | Degenerescência cerebelar, ataxia | > 90 %, sobretudo CPPC |
Os autoanticorpos contra a glutamato descarboxilase (GAD) constituem uma certa exceção, uma vez que são dirigidos contra um antigénio localizado intracelularmente, mas na maioria dos casos não estão associados a um tumor.[6] Os títulos elevados (> 10.000 UI/ml) na encefalite GAD estão associados a encefalite límbica, síndrome da pessoa rígida, ataxia cerebelar ou crises epilépticas refractárias.[7] A encefalite GAD tem frequentemente um curso crónico com recuperação incompleta e resposta limitada à imunoterapia.[8] Em contraste, os títulos mais baixos estão associados a um espetro heterogéneo de sintomas em que os diagnósticos diferenciais devem ser considerados na ausência da clínica típica.
Encefalite com anticorpos contra antigénios de superfície neuronal
Nos últimos anos, foram identificados numerosos outros anticorpos dirigidos contra estruturas neuronais localizadas superficialmente. Estes antigénios de superfície, como os receptores NMDA ou AMPA, são diretamente acessíveis aos anticorpos. Os anticorpos de superfície têm, portanto, um efeito patogénico direto - em contraste com os anticorpos intracelulares.[9][9][1] Esta forma de encefalite autoimune responde melhor à imunoterapia e está menos frequentemente associada a tumores do que as encefalites paraneoplásicas clássicas com anticorpos contra antigénios intracelulares. Alguns dos quadros clínicos mais comuns são descritos em mais pormenor abaixo (Tab. 2).[carece de fontes]
| Anticorpos de superfície neuronais contra: | Sintomatologia/síndrome associada | Achados de RMN | Possível associação com tumores | Idade de início e sexo |
|---|---|---|---|---|
| Recetor NMDA[2] | Pródromo inespecífico (≈ 70% com dor de cabeça ou febre) seguido de alterações comportamentais, psicose, perturbações afectivas, perturbações da memória, convulsões epilépticas, perturbações do movimento como discinesias orofaciais, instabilidade autonómica, perturbações da consciência; | Lesões mais pequenas e inespecíficas da substância branca na RM ponderada em T2/FLAIR em 25-50% dos casos, menos frequentemente alterações nos gânglios basais, tronco cerebral e cerebelo, na PET hipermetabolismo frontotemporal e hipometabolismo occipital, Atrofia hipocampal possível no seguimento | ≈ 40 % em idades mais jovens (12-45 anos, principalmente teratomas do ovário), ≈ 25 % em idades mais velhas (45 anos ou mais, principalmente carcinomas). |
|
| LGI1[10][11] | Na fase inicial, convulsões faciobraquiais distónicas (FBDS) patognomónicas, seguidas de encefalite límbica com défices de memória, convulsões do lobo temporal, perturbações do sono e hiponatremia, | Na encefalite límbica, tipicamente elevações do sinal T2-FLAIR mesiotemporal e, frequentemente, hipermetabolismo PET dos gânglios basais e do lobo temporal medial; no seguimento, a atrofia hipocampal é típica (frequentemente também evidência de esclerose hipocampal) | Raros (< 10 %), principalmente timoma | m > w (2:1)
|
| CASPR2[12] | Encefalite límbica, síndrome de Morvan, neuromiotonia | RM tipicamente normal na síndrome de Morvan, nalguns casos com realce do sinal T2-FLAIR frontal e mesiotemporal ou lesões periventriculares inespecíficas, desenvolvimento menos frequente de atrofia hipocampal, na PET são possíveis alterações nas áreas frontotemporais e nos gânglios basais, mesmo com RM normal | Raro, possível timoma | m > w (9:1)
|
| Recetor AMPA[13] | Encefalite límbica com perturbação acentuada da memória e confabulações, raramente sintomatologia puramente psiquiátrica.
|
Tipicamente realce do sinal mesiotemporal na RM T2-FLAIR em 90 % dos casos, o seguimento pode mostrar evidência de esclerose hipocampal | ≈ 70 %, geralmente carcinoma do pulmão, carcinoma da mama ou timoma | m > p (2,3:1)
|
| Recetor GABA-A[14] | Crises epilépticas refractárias frequentes e status epilepticus, défices cognitivos, desorientação, perturbações da memória, depressão, psicose, mutismo | Marcado realce multifocal ou difuso do sinal T2-FLAIR cortical e subcortical, progressão rápida para atrofia e lesões bilaterais em alguns casos | Raro, possibilidade de linfoma de Hodgkin. | m > w (1,5:1)
|
| Recetor GABA-B[15] | Encefalite límbica com crises epilépticas frequentes, raramente ataxia cerebelosa ou envolvimento do tronco cerebral | Elevações típicas do sinal T2-FLAIR mesiotemporal, Em casos isolados associados a leucoencefalopatia frontotemporal ou lesões mais extensas (incluindo tronco cerebral, cerebelo e gânglios basais), pode desenvolver-se atrofia frontotemporal e hipocampal durante o seguimento | ≈ 70 %, geralmente carcinoma do pulmão de pequenas células ou tumores neuroendócrinos. | m = w
|
| mGluR5[16] | Encefalite límbica, síndroma de Ophelia. | RM anormal em ≈ 50% com elevações do sinal T2-FLAIR em áreas límbicas e extralímbicas | Comum, geralmente linfoma de Hodgkin. | m > w (1,5:1)
|
| DPPX[17] | Encefalite límbica, tremor, mioclonia, alucinações, desorientação, agitação, convulsões epilépticas, diarreia refractária | RM tipicamente normal, nalguns casos com realce do sinal T2-FLAIR inespecífico na substância branca periventricular ou subcortical |
|
m > w (2,3:1)
|
| Recetor da glicina[18][19] | PERM, síndrome da pessoa rígida, disautonomia, défices cognitivos, alucinações, depressão, ansiedade | Imagens frequentemente normais, em alguns casos lesões hiperintensas em T2 da substância branca, lesões espinais ou realce/atrofia do sinal mesiotemporal | < 10 %, sobretudo timoma |
|
| IgLON5[20] | Perturbações do sono, apneia do sono, estridor, disartria, disfagia, disautonomia, perturbações do movimento, défices cognitivos |
|
Sem associação tumoral conhecida | m = w
|
| AMPA "α-amino-3-hidroxi-5-metil-4-isoxazolepropiónico",
CASPR2 "contactin-associated protein-like 2", DPPX "dipeptidyl-peptidase-like protein 6", FBDS "faziobrachiale dystone Anfälle", GABA "γ-aminobutyric acid", LGI1 "leucine-rich glioma inactivated 1", NMDA N-Methyl-D-Aspartat, PERM progressive Enzephalomyelitis mit Rigidität und Myoklonien, PET Positronenemissionstomographie | ||||
Encefalite do recetor NMDA
Como uma das formas mais comuns de encefalite autoimune, a encefalite com anticorpos contra o recetor NMDA (NMDAR) está agora muito bem caracterizada.[3] O seu curso caraterístico começa, em muitos casos, com uma fase prodrómica semelhante à gripe e evolui, em pouco tempo, para um quadro clínico neuropsiquiátrico complexo, que começa frequentemente com sintomas psiquiátricos, como alterações comportamentais, delírios ou sintomas afectivos.[2] No decurso posterior, são quase sempre acrescentados sintomas neurológicos, incluindo crises epilépticas, perturbações do movimento, desregulação autonómica e perturbações da consciência, que exigem um tratamento médico intensivo em alguns doentes.[21] Até 40% dos doentes afectados são crianças, que são ligeiramente mais propensas do que os adultos a sofrer de perturbações do movimento e da fala.[22] Quase todos os doentes apresentam também perturbações de memória acentuadas.[23][4] Estas, juntamente com as perturbações das funções executivas, podem persistir durante vários anos após a fase aguda - mesmo que a perturbação neurológica (escala de Rankin modificada) tenha regredido quase completamente.
Uma ligeira pleocitose é normalmente detetável no líquido cefalorraquidiano; podem ocorrer bandas oligoclonais durante o curso da doença.[24] Os achados de RM são geralmente inespecíficos, não se correlacionam com os sintomas clínicos (pequenas lesões inespecíficas da substância branca nas áreas frontal, parietal e mesiotemporal; ocasionalmente tálamo, cerebelo e tronco cerebral, raramente gânglios basais) e são detectáveis na fase aguda em apenas cerca de 25-50% dos doentes. No entanto, os métodos de análise quantitativa podem detetar uma redução do volume do hipocampo[25] e alterações na substância branca utilizando imagens de difusão a longo prazo.[26] A maioria das crianças com encefalite NMDAR apresenta uma redução relevante do volume cerebral e um comprometimento do crescimento cerebral adequado à idade.[27] Através da ressonância magnética funcional (a chamada "ressonância magnética do estado de repouso"), foi recentemente demonstrado que, mesmo com imagens clínicas praticamente imperceptíveis, a organização intrínseca da rede pode ainda estar afetada anos após a encefalite NMDAR. [25][28][29]
Para além dos teratomas do ovário, as infecções virais do cérebro também foram identificadas como um fator desencadeante da encefalite autoimune. Esta relação é particularmente clara para as encefalites com o vírus herpes simplex tipo 1, que conduzem a encefalite secundária do recetor NMDA em quase 30% dos casos.[30][31] Entretanto, foram também descritas numerosas outras doenças virais em associação com a encefalite do recetor NMDA, o que sugere uma relação fisiopatológica mais ampla.[32] É interessante notar que, mesmo na pandemia de COVID-19, foram identificados doentes com encefalite do recetor NMDA após a infeção com SARS-CoV-2[33] e que os doentes com COVID-19 gravemente doentes e com sintomas neurológicos apresentaram múltiplos auto-anticorpos do SNC agrupados no LCR.[34] A investigação atual está a analisar a questão de saber se alguns anticorpos neutralizantes do vírus reconhecem simultaneamente os antigénios do próprio organismo e podem, assim, ser parcialmente responsáveis pelos sintomas neurológicos.[35] Se esta suspeita puder ser cientificamente comprovada, é de esperar que surjam inúmeros novos conhecimentos sobre a interação dos sistemas nervoso e imunitário, o que poderia alterar fundamentalmente a abordagem dos sintomas neurológicos e psiquiátricos.[carece de fontes]
Encefalite LGI1
As crises distónicas faciobraquiais (FBDS) são patognomónicas da presença de anticorpos LGI1.[36] Trata-se de tensões distónicas breves da face e do braço de um lado do corpo que podem ocorrer com elevada frequência (100 FBDS/dia). As FBDS respondem muito bem à imunoterapia, mas mal à medicação anticonvulsivante.[5] São também precursores da progressão da doença para a fase de encefalite límbica, com perturbações da memória e convulsões do lobo temporal - mas esta progressão pode ser evitada através de imunoterapia precoce. Para além disso, a hiponatremia é frequentemente um diagnóstico da encefalite LGI1. Os exames ao LCR são geralmente normais.[carece de fontes]
As imagens de ressonância magnética durante a evolução variam entre achados discretos no início, um padrão típico de envolvimento límbico e atrofia do hipocampo.[37][38][39] Os défices de memória de curto e longo prazo podem persistir mesmo anos após a encefalite LGI1.[40] Para além da perda selectiva de volume no hipocampo, são também encontradas alterações na conetividade das redes funcionais.[41] Embora inicialmente seja afetado sobretudo o lobo temporal medial, outras áreas cerebrais podem também ser funcionalmente afectadas por alterações patológicas a longo prazo na organização intrínseca da rede na RM funcional.[carece de fontes]
Encefalite CASPR2
A proteína CASPR2 ("contactin-associated protein 2"), associada ao complexo de canais de potássio, é expressa no hipocampo, no cerebelo e nos nervos periféricos. O CASPR2-Anticorpo pode, portanto, estar associada tanto à hiperexcitabilidade dos nervos periféricos (incluindo neuromiotonia, dor neuropática) como à encefalite límbica. A síndrome de Morvan é uma combinação de sintomas neuropsiquiátricos (frequentemente com perturbações acentuadas do sono e défices cognitivos), disfunção autonómica e neuromiotonia. São afectados predominantemente homens idosos por volta da 6ª década de vida. Os aumentos unilaterais ou bilaterais da intensidade do sinal T2/FLAIR mediotemporal são frequentemente detectáveis na ressonância magnética em casos de encefalite límbica; na maioria dos casos de síndrome de Morvan, os achados não são notáveis.[42][12] No LCR, a pleocitose ou as bandas oligoclonais são detectáveis em cerca de um quarto dos doentes.[43]
Encefalite do recetor AMPA Os doentes com encefalite AMPAR (recetor anti-α-amino-3-hidroxi-5-metil-4-isoxazolepropiónico) desenvolvem encefalite límbica aguda com convulsões epilépticas, perturbações da memória e psicose; também foi relatada uma apresentação com psicose isolada.[13] Em alguns casos, ocorrem perturbações do sono e do movimento. A encefalite AMPAR é paraneoplásica em cerca de 70 % dos casos. A RM mostra um realce do sinal T2-FLAIR, particularmente no lobo temporal medial, bem como lesões subcorticais e corticais que podem indicar desmielinização.[42] O exame do LCR revela pleocitose em cerca de metade dos casos.[13]
Encefalite do recetor GABAA A encefalite com anticorpos contra o recetor GABAA inibitório do canal de iões cloreto manifesta-se com crises epilépticas, especialmente epilepsia partialis continua e status epilepticus refratário. Além disso, podem existir sintomas psiquiátricos (alucinações, alterações comportamentais) e défices cognitivos.[14] As anomalias motoras, especialmente nas crianças, envolvem frequentemente os músculos faciais (discinesias orofaciais, convulsões). A RM mostra alterações muito proeminentes em quase todos os doentes, especialmente lesões hiperintensas multifocais corticais e subcorticais T2/FLAIR, sobretudo nos lobos temporal e frontal.[42] No LCR, a pleocitose e as bandas oligoclonais são encontradas em ≈ 60% dos doentes.[14]
Encefalite dos receptores GABAB
Em cerca de metade dos casos, o quadro clínico com encefalite límbica típica e crises epilépticas frequentes baseia-se no carcinoma brônquico de pequenas células ou em tumores neuroendócrinos.[15] Consequentemente, a RM apresenta intensidades de sinal T2/FLAIR unilaterais ou bilaterais do lobo temporal medial, por vezes com atrofia frontotemporal ou hipocampal.[42]
Encefalite mGluR5
Os anticorpos para o recetor metabotrópico de glutamato 5 (mGluR5) estão associados a síndromes neuropsiquiátricas complexas, incluindo depressão, psicose com alucinações, perturbações da personalidade e do comportamento e instabilidade emocional. Além disso, podem ocorrer ataques epilépticos, perturbações do movimento, perturbações da consciência e perturbações do sono. Em cerca de 50 % dos doentes, pode ser detectado um linfoma de Hodgkin (então denominado síndrome de Ophelia).[16] É frequente encontrar pleocitose e bandas oligoclonais no líquido cefalorraquidiano. As alterações T2/FLAIR na ressonância magnética ocorrem tanto nas áreas límbicas como extralímbicas.
Encefalite DPPX
A encefalite límbica em combinação com tremor, mioclonias, hiperecplexia e alucinações é observada em associação com anticorpos contra a "proteína 6 semelhante à dipeptidil-peptidase" (DPPX).[17] É frequentemente precedida por uma fase prodrómica com diarreia grave e perda de peso, que pode revelar-se refractária ao tratamento. A ressonância magnética mostra geralmente alterações normais ou inespecíficas; em casos isolados, foram descritas intensidades de sinal T2/FLAIR da substância branca periventricular e subcortical irregulares.[42]
Encefalite do recetor da glicina
Os anticorpos do recetor da glicina localizados no tronco cerebral e na medula espinal podem causar encefalomielite progressiva com rigidez e mioclonias (PERM) ou síndrome da pessoa rígida, acompanhada de sintomas cognitivos e psiquiátricos.[18] Os timomas são encontrados em até 10% dos pacientes. Na maioria dos casos (cerca de 70%), a RMN revela achados normais, mas também são observadas hiperintensidades da substância branca em T2/FLAIR, anomalias de sinal e atrofia dos lobos temporais, bem como lesões da coluna vertebral.[42]
Meningoencefalite GFAP
A encefalite GFAP ("glial fibrillary acidic protein") é uma forma recentemente descrita de meningoencefalite autoimune.[44] A encefalite por GFAP começa frequentemente com cefaleias graves e pode depois manifestar-se como encefalopatia responsiva à imunoterapia, mielite, papilite, síndrome cerebelar, disfunção autonómica e sintomas cognitivos.[45] O LCR apresenta frequentemente pleocitose e, em cerca de metade dos casos, é encontrado um padrão radial caraterístico de captação de contraste periventricular na RM.
Encefalopatia associada à IgLON5
A encefalopatia associada à IgLON5 representa uma mudança de paradigma na neurologia, uma vez que a doença tem componentes neuroinflamatórios e neurodegenerativos: Os anticorpos são dirigidos contra a proteína de adesão da superfície celular IgLON5, mas, por outro lado, as investigações neuropatológicas mostraram depósitos de tau hiperfosforilada no hipotálamo, hipocampo e tronco cerebral na maioria dos casos. Clinicamente, a encefalopatia IgLON5 manifesta-se com perturbações do sono (parassónias, movimentos periódicos noturnos das pernas [PLMS]), perturbações respiratórias (apneia obstrutiva do sono, estridor, hipoventilação central), sintomas do tronco cerebral (incluindo disartria, disfagia, perturbações oculomotoras), disfunção autonómica e défices cognitivos.[46] Não são encontradas alterações específicas na RMN e os parâmetros básicos do LCR são, na sua maioria, normais.[20] Em contraste com a maioria dos doentes com anticorpos para antigénios de superfície, a maioria dos doentes com tauopatia IgLON5 responde de forma menos acentuada à imunoterapia.[47]
Diagnóstico
O diagnóstico da encefalite autoimune baseia-se na história, na apresentação clínica, na RMN, no LCR, no EEG, se necessário, e no diagnóstico de autoanticorpos. Os critérios de diagnóstico publicados em 2016[3] apoiam a classificação dos achados obtidos nas categorias de possível encefalite autoimune, encefalite límbica definitiva e provável encefalite autoimune apesar da deteção negativa de anticorpos.
Critérios
Critérios para uma possível encefalite autoimune
Devem estar preenchidos os três critérios referidos:
- Início subagudo no prazo de 3 meses: Perda de memória a curto prazo, alterações da consciência ou sintomas psiquiátricos.
- Pelo menos um dos seguintes:
- Nova sintomatologia focal do SNC.
- Crises epilépticas sem causa conhecida
- Pleocitose no LCR (contagem de leucócitos > 5/mm3)
- Achados de RMN sugestivos de encefalite
- Exclusão de causas alternativas (infecciosas, vasculares, neoplásicas, metabólicas)
Critérios para encefalite límbica autoimune definitiva
Devem estar preenchidos os quatro critérios referidos:
- Início subagudo no espaço de 3 meses: Perda de memória a curto prazo, crises epilépticas ou sintomas psiquiátricos que sugiram o envolvimento do sistema límbico
- Anomalias bilaterais limitadas aos lobos temporais mediais na RM (ponderação T2/FLAIR).
- Pelo menos uma das seguintes situações
- Pleocitose no LCR (contagem de leucócitos > 5/mm3)
- EEG: atividade epilética/ondas lentas no lobo temporal
- Exclusão de causas alternativas (infecciosas, vasculares, neoplásicas, metabólicas).
Critérios para encefalite autoimune provável negativa para anticorpos
Devem estar preenchidos os quatro critérios referidos:
- Início subagudo no prazo de 3 meses: Perda de memória a curto prazo, alterações da consciência ou sintomas psiquiátricos.
- Exclusão de síndromes encefalíticas auto-imunes bem descritas (por exemplo, encefalite límbica típica, encefalite do tronco cerebral de Bickerstaff, ADEM).
- Ausência de autoanticorpos bem caracterizados no soro e no LCR e, pelo menos, duas das seguintes situações
- Achados de RMN sugestivos de encefalite autoimune.
- LCR: pleocitose, evidência de bandas oligoclonais isoladas e/ou índice IgG elevado
- Biópsia cerebral com infiltrados inflamatórios, com exclusão de outras causas (por exemplo, tumor)
- Exclusão de causas alternativas (por exemplo, infecciosas, vasculares, neoplásicas, metabólicas).
Métodos
Ressonância magnética
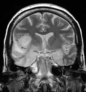
A RM cerebral é um exame padrão essencial em doentes com suspeita de encefalite autoimune, especialmente para excluir possíveis diagnósticos diferenciais. Os achados da RM na encefalite autoimune são diversos. Por exemplo, na maioria dos doentes com encefalite NMDAR (até 75%), a RM não apresenta alterações; na degenerescência cerebelar paraneoplásica, a atrofia do cerebelo também só é detetável no decurso da doença.[42] Em doentes com encefalite límbica, por outro lado, é frequente encontrar imagens hiperintensas em T2/FLAIR unilaterais ou bilaterais do lobo temporal medial (MTL) - o que permite então (no caso de afeção bilateral) o diagnóstico de "encefalite límbica definitiva" (Tab. 3).[3] No caso de afeção unilateral, no entanto, o glioma deve ser considerado como um dos diagnósticos diferenciais.[48] No entanto, as hiperintensidades T2/FLAIR do MTL não podem ser detectadas em todos os doentes com encefalite límbica associada ao LGI1-Ak, embora quase todos os doentes desenvolvam atrofia do hipocampo durante o curso.[40] A extensão desta lesão hipocampal está correlacionada com a gravidade dos défices de memória persistentes na encefalite LGI1. No caso das crianças com encefalite NMDAR, foi demonstrado que as alterações da RMN na linha de base estão associadas a um pior resultado a longo prazo.[27] Uma revisão exaustiva de outras alterações imagiológicas (RM, PET) na encefalite autoimune pode ser encontrada em Heine et al.[42]
Líquido cefalorraquídeo
A análise do LCR é outro componente central do diagnóstico. A pleocitose é encontrada em mais de 50% dos doentes com anticorpos contra GABABR, AMPAR, NMDAR ou DPPX, mas muito menos frequentemente - em frequência decrescente - com anticorpos contra CASPR2, GABAAR, GlycinR, IgLON5, LGI1 e GAD.[43] Podem ser detectadas bandas oligoclonais isoladas no LCR em mais de 50% dos doentes com anticorpos GABABR, NMDAR e GAD; são encontradas frequências mais baixas - por ordem decrescente - para anticorpos contra AMPAR, DPPX, CASPR2, GABAAR, GlycinR, IgLON5 e LGI1.[49]
Electroencefalograma
As alterações do EEG são comuns, mas raramente específicas; na maior parte dos casos, é detectado um abrandamento focal ou generalizado. Uma exceção são os complexos beta-delta ("pincel delta extremo"), que são detectáveis em cerca de 10% dos doentes com encefalite NMDAR e se caracterizam por um abrandamento delta generalizado com atividade beta sobreposta. Ocorrem principalmente em doentes clinicamente afectados de forma grave.[50] É importante notar que as convulsões agudas sintomáticas na fase aguda da encefalite autoimune também podem ocorrer ao longo de vários meses e, no entanto, o risco de desenvolvimento de epilepsia manifesta é relativamente baixo, pelo que, muitas vezes, não é necessária uma terapêutica anticonvulsiva permanente (em contraste com a "epilepsia autoimune", em que as convulsões epilépticas representam um sintoma central persistente da doença).[51]
Diagnóstico de anticorpos
O diagnóstico de anticorpos no LCR e no soro deve ser efectuado em todos os doentes com suspeita de encefalite autoimune, mesmo que a RM, o LCR e o EEG não apresentem alterações. Uma vez que o diagnóstico de anticorpos é essencial para a deteção fiável de uma etiologia paraneoplásica, tanto em síndromes de alto risco de carcinoma (por exemplo, encefalite límbica ou degenerescência cerebelar paraneoplásica) como em síndromes com um risco intermédio de cancro (por exemplo, encefalite do tronco cerebral ou degenerescência cerebelar paraneoplásica), deve ser utilizado o diagnóstico de anticorpos. Se for necessário um diagnóstico de encefalite autoimune, por exemplo, encefalite do tronco cerebral ou síndrome de Morvan,[52] este deve incluir o diagnóstico mais alargado possível, incluindo os anticorpos enumerados no quadro 1 e, pelo menos, GABA-B-R-Ak, GABA-A-R-Ak e AMPA-R-Ak.
No caso de outras encefalites auto-imunes, devem ser sempre determinados os anticorpos NMDAR, LGI1, CASPR2, AMPA-R e GABA-R e, no caso de sinais de hiperexcitabilidade (incluindo mioclonia, hiperecplexia, crises epilépticas, delírio), devem também ser determinados os anticorpos glicinaR, DPPX e GAD e, no caso de psicoses, devem também ser determinados os anticorpos mGluR5 (quadro 2). Em princípio, deve ser sempre preferido um diagnóstico de painel alargado, que inclua também novos anticorpos como o IgLON5. Na encefalite NMDAR, os anticorpos só são detectáveis no LCR em cerca de 10-20% dos doentes; títulos elevados indicam também um prognóstico menos favorável. Alguns anticorpos só são relevantes de forma fiável para a doença em títulos mais elevados, por exemplo, CASPR2 (a partir de 1:320) e GAD (a partir de 2000 U/ml).[53]
Tratamento
A terapia deve ser iniciada o mais cedo possível - se necessário, mesmo que a deteção de anticorpos ainda esteja pendente. As terapias de primeira linha estabelecidas incluem a terapia com esteróides em doses elevadas com metilprednisolona intravenosa (geralmente 1000 mg por dia durante 5 dias), procedimentos de aférese terapêutica (troca de plasma, imunoadsorção; diariamente durante 5 a 10 tratamentos) ou imunoglobulinas intravenosas (2 g/kg de peso corporal durante 3 a 5 dias). Embora os doentes com encefalite LGI1 que tomam esteróides apresentem normalmente uma melhoria significativa no início das crises distónicas faciobraquiais, estes não são normalmente suficientes para o controlo dos sintomas a longo prazo em qualquer forma de encefalite. Exceto em casos de evolução muito ligeira ou de melhoria muito acentuada com a terapêutica de primeira linha, está agora estabelecida uma extensão da terapêutica ou uma profilaxia de recaídas para a maioria das encefalites com anticorpos de superfície, que é efectuada em muitos casos com rituximab (1000 mg, repetidos a intervalos de 14 dias, e depois novamente a intervalos de 6 meses, se necessário).[carece de fontes]
Tradicionalmente, a ciclofosfamida é também recomendada como prolongamento da terapia, mas devido à sua considerável toxicidade e aos possíveis efeitos secundários a longo prazo, a sua utilização foi significativamente restringida em muitos centros. Novos dados apoiam a utilização do inibidor do proteassoma bortezomib[54][55] que também está atualmente a ser investigado num ensaio alemão multicêntrico, controlado por placebo e iniciado pelo investigador, em doentes com encefalite autoimune (GENERATE BOOST).[56] Recentemente, foram iniciados outros estudos clínicos aleatórios, por exemplo, sobre o inebilizumab na encefalite NMDAR[57] e sobre o rozanolixizumab[58] e a IgC intravenosa[59] no tratamento da encefalite LGI1. Em casos individuais, pode ser considerada uma terapêutica imunossupressora poupadora de esteróides com metotrexato ou azatioprina, entre outros, para manter a remissão a longo prazo,[2] mas não existem atualmente dados fiáveis de estudos sobre esta matéria.
No caso das encefalites paraneoplásicas autoimunes com anticorpos contra antigénios intracelulares, a eliminação de anticorpos é menos promissora porque os anticorpos não têm um efeito patogénico direto. Os danos neuronais que já ocorreram são frequentemente irreversíveis. No entanto, deve tentar-se uma imunoterapia, sobretudo na fase inicial, mas esta deve eliminar principalmente as células T citotóxicas (por exemplo, através de ciclofosfamida) e, em centros especializados, pode incluir a utilização de quimioterapias alargadas ou de produtos biológicos (por exemplo, alemtuzumab).[carece de fontes]
A remoção de um teratoma do ovário em doentes com encefalite NMDAR é necessária sem demora. A ovariectomia "cega" praticada em alguns centros há alguns anos em casos graves sem evidência de teratoma já não está actualizada, uma vez que todos os teratomas podem provavelmente ser detectados numa combinação de RM abdominal com meio de contraste, PET-CT (especialmente no caso de teratomas mediastínicos) e laparoscopia exploratória.[carece de fontes]
Além disso, a terapia sintomática aguda de acordo com os sintomas, por exemplo, com fármacos antiepilépticos e antipsicóticos, só deve ser considerada em conjunto com a imunoterapia, uma vez que os anticonvulsivantes isolados, por exemplo, raramente conduzem a um controlo eficaz das crises epilépticas.[5] Embora os anticonvulsivantes possam ser descontinuados precocemente após uma imunoterapia bem sucedida da encefalite NMDAR ou GABA-A-R, as epilepsias estruturais persistem frequentemente em doentes após encefalite límbica. As terapias não medicamentosas, como a fisioterapia ou a reabilitação neuropsicológica, também podem ser úteis.[60]
Evolução a longo prazo
Existem poucos dados sobre a evolução a longo prazo da encefalite autoimune. Na encefalite LGI1, apenas 35% dos doentes recuperam completamente após 2 anos.[37] A maioria dos doentes sofre de défices de memória persistentes devido a danos estruturais e atrofia do hipocampo.[40] O início tardio da terapia, a falta de resposta à terapiae as recorrências foram identificados como factores de previsão de maus resultados.[37] Na encefalite NMDAR, a maioria dos doentes obtém um resultado neurológico bom a muito bom - medido pela Escala de Rankin modificada (mRS) (atualmente desenvolvida para o AVC).[22] Em contrapartida, no entanto, até 80% dos doentes com encefalite NMDAR ainda apresentam défices cognitivos moderados a graves 2 anos após o início da doença, afectando principalmente a memória e as funções executivas.[4] Os factores de previsão dos défices cognitivos foram também um início tardio da terapêutica e uma maior gravidade da doença. Cerca de 5 anos após a fase aguda (mediana), um terço dos doentes tinha recuperado, enquanto um terço ainda apresentava défices cognitivos moderados e outro terço défices cognitivos acentuados. A recuperação dos défices neuropsicológicos foi maior logo após a fase aguda, mas a melhoria da função cognitiva foi observada durante vários anos após o início da doença, pelo que se deve prosseguir a reabilitação cognitiva destes doentes, a maioria dos quais ainda muito jovens.[60]
Referências
- ↑ a b Prüss, Harald (dezembro de 2021). «Autoantibodies in neurological disease». Nature Reviews Immunology (em inglês) (12): 798–813. ISSN 1474-1733. doi:10.1038/s41577-021-00543-w. Consultado em 26 de junho de 2023
- ↑ a b c d Dalmau, Josep; Armangué, Thais; Planagumà, Jesús; Radosevic, Marija; Mannara, Francesco; Leypoldt, Frank; Geis, Christian; Lancaster, Eric; Titulaer, Maarten J (novembro de 2019). «An update on anti-NMDA receptor encephalitis for neurologists and psychiatrists: mechanisms and models». The Lancet Neurology (em inglês) (11): 1045–1057. doi:10.1016/S1474-4422(19)30244-3. Consultado em 26 de junho de 2023
- ↑ a b c d Graus, Francesc; Titulaer, Maarten J; Balu, Ramani; Benseler, Susanne; Bien, Christian G; Cellucci, Tania; Cortese, Irene; Dale, Russell C; Gelfand, Jeffrey M (abril de 2016). «A clinical approach to diagnosis of autoimmune encephalitis». The Lancet Neurology (em inglês) (4): 391–404. doi:10.1016/S1474-4422(15)00401-9. Consultado em 26 de junho de 2023
- ↑ a b c Heine, Josephine; Kopp, Ute A.; Klag, Johanna; Ploner, Christoph J.; Prüss, Harald; Finke, Carsten (dezembro de 2021). «Long‐Term Cognitive Outcome in Anti–N‐Methyl‐D‐Aspartate Receptor Encephalitis». Annals of Neurology (em inglês) (6): 949–961. ISSN 0364-5134. doi:10.1002/ana.26241. Consultado em 26 de junho de 2023
- ↑ a b c Thompson, Julia; Bi, Mian; Murchison, Andrew G; Makuch, Mateusz; Bien, Christian G; Chu, Kon; Farooque, Pue; Gelfand, Jeffrey M; Geschwind, Michael D (1 de fevereiro de 2018). «The importance of early immunotherapy in patients with faciobrachial dystonic seizures». Brain (em inglês) (2): 348–356. ISSN 0006-8950. doi:10.1093/brain/awx323. Consultado em 26 de junho de 2023
- ↑ Ariño, Helena; Gresa-Arribas, Nuria; Blanco, Yolanda; Martínez-Hernández, Eugenia; Sabater, Lidia; Petit-Pedrol, Mar; Rouco, Idoia; Bataller, Luis; Dalmau, Josep O. (1 de agosto de 2014). «Cerebellar Ataxia and Glutamic Acid Decarboxylase Antibodies: Immunologic Profile and Long-term Effect of Immunotherapy». JAMA Neurology (em inglês) (8). 1009 páginas. ISSN 2168-6149. doi:10.1001/jamaneurol.2014.1011. Consultado em 26 de junho de 2023
- ↑ Strippel, Christine; Herrera-Rivero, Marisol; Wendorff, Mareike; Tietz, Anja K; Degenhardt, Frauke; Witten, Anika; Schroeter, Christina; Nelke, Christopher; Golombeck, Kristin S (1 de março de 2023). «A genome-wide association study in autoimmune neurological syndromes with anti-GAD65 autoantibodies». Brain (em inglês) (3): 977–990. ISSN 0006-8950. doi:10.1093/brain/awac119. Consultado em 26 de junho de 2023
- ↑ Muñoz-Lopetegi, Amaia; de Bruijn, Marienke A.A.M.; Boukhrissi, Sanae; Bastiaansen, Anna E.M.; Nagtzaam, Mariska M.P.; Hulsenboom, Esther S.P.; Boon, Agnita J.W.; Neuteboom, Rinze F.; de Vries, Juna M. (maio de 2020). «Neurologic syndromes related to anti-GAD65: Clinical and serologic response to treatment». Neurology - Neuroimmunology Neuroinflammation (em inglês) (3): e696. ISSN 2332-7812. doi:10.1212/NXI.0000000000000696. Consultado em 26 de junho de 2023
- ↑ a b van Coevorden-Hameete, M.H.; de Graaff, E.; Titulaer, M.J.; Hoogenraad, C.C.; Sillevis Smitt, P.A.E. (março de 2014). «Molecular and cellular mechanisms underlying anti-neuronal antibody mediated disorders of the central nervous system». Autoimmunity Reviews (em inglês) (3): 299–312. doi:10.1016/j.autrev.2013.10.016. Consultado em 26 de junho de 2023
- ↑ Irani, Sarosh R.; Alexander, Sian; Waters, Patrick; Kleopa, Kleopas A.; Pettingill, Philippa; Zuliani, Luigi; Peles, Elior; Buckley, Camilla; Lang, Bethan (setembro de 2010). «Antibodies to Kv1 potassium channel-complex proteins leucine-rich, glioma inactivated 1 protein and contactin-associated protein-2 in limbic encephalitis, Morvan's syndrome and acquired neuromyotonia». Brain (em inglês) (9): 2734–2748. ISSN 1460-2156. doi:10.1093/brain/awq213. Consultado em 26 de junho de 2023
- ↑ Lai, Meizan; Huijbers, Maartje GM; Lancaster, Eric; Graus, Francesc; Bataller, Luis; Balice-Gordon, Rita; Cowell, John K; Dalmau, Josep (agosto de 2010). «Investigation of LGI1 as the antigen in limbic encephalitis previously attributed to potassium channels: a case series». The Lancet Neurology (em inglês) (8): 776–785. doi:10.1016/S1474-4422(10)70137-X. Consultado em 26 de junho de 2023
- ↑ a b Lancaster, Eric; Huijbers, Maartje G. M.; Bar, Vered; Boronat, Anna; Wong, Andrew; Martinez-Hernandez, Eugenia; Wilson, Christina; Jacobs, Dina; Lai, Meizan (fevereiro de 2011). «Investigations of caspr2, an autoantigen of encephalitis and neuromyotonia». Annals of Neurology (em inglês) (2): 303–311. doi:10.1002/ana.22297. Consultado em 26 de junho de 2023
- ↑ a b c Hoftberger, R.; van Sonderen, A.; Leypoldt, F.; Houghton, D.; Geschwind, M.; Gelfand, J.; Paredes, M.; Sabater, L.; Saiz, A. (16 de junho de 2015). «Encephalitis and AMPA receptor antibodies: Novel findings in a case series of 22 patients». Neurology (em inglês) (24): 2403–2412. ISSN 0028-3878. doi:10.1212/WNL.0000000000001682. Consultado em 26 de junho de 2023
- ↑ a b c Spatola, Marianna; Petit-Pedrol, Mar; Simabukuro, Mateus Mistieri; Armangue, Thaís; Castro, Fernanda J.; Barcelo Artigues, Maria I.; Julià Benique, Maria R.; Benson, Leslie; Gorman, Mark (14 de março de 2017). «Investigations in GABA A receptor antibody-associated encephalitis». Neurology (em inglês) (11): 1012–1020. ISSN 0028-3878. doi:10.1212/WNL.0000000000003713. Consultado em 26 de junho de 2023
- ↑ a b Lancaster, Eric; Lai, Meizan; Peng, Xiaoyu; Hughes, Ethan; Constantinescu, Radu; Raizer, Jeffrey; Friedman, Daniel; Skeen, Mark B; Grisold, Wolfgang (janeiro de 2010). «Antibodies to the GABAB receptor in limbic encephalitis with seizures: case series and characterisation of the antigen». The Lancet Neurology (em inglês) (1): 67–76. doi:10.1016/S1474-4422(09)70324-2. Consultado em 26 de junho de 2023
- ↑ a b Spatola, Marianna; Sabater, Lidia; Planagumà, Jesús; Martínez-Hernandez, Eugenia; Armangué, Thaís; Prüss, Harald; Iizuka, Takahiro; Caparó Oblitas, Ruben L.; Antoine, Jean-Christophe (29 de maio de 2018). «Encephalitis with mGluR5 antibodies: Symptoms and antibody effects». Neurology (em inglês) (22): e1964–e1972. ISSN 0028-3878. doi:10.1212/WNL.0000000000005614. Consultado em 26 de junho de 2023
- ↑ a b Hara, Makoto; Ariño, Helena; Petit-Pedrol, Mar; Sabater, Lidia; Titulaer, Maarten J.; Martinez-Hernandez, Eugenia; Schreurs, Marco W.J.; Rosenfeld, Myrna R.; Graus, Francesc (4 de abril de 2017). «DPPX antibody–associated encephalitis: Main syndrome and antibody effects». Neurology (em inglês) (14): 1340–1348. ISSN 0028-3878. doi:10.1212/WNL.0000000000003796. Consultado em 26 de junho de 2023
- ↑ a b Carvajal-González, Alexander; Leite, M. Isabel; Waters, Patrick; Woodhall, Mark; Coutinho, Ester; Balint, Bettina; Lang, Bethan; Pettingill, Philippa; Carr, Aisling (agosto de 2014). «Glycine receptor antibodies in PERM and related syndromes: characteristics, clinical features and outcomes». Brain (em inglês) (8): 2178–2192. ISSN 1460-2156. doi:10.1093/brain/awu142. Consultado em 26 de junho de 2023
- ↑ Hutchinson, M.; Waters, P.; McHugh, J.; Gorman, G.; O'Riordan, S.; Connolly, S.; Hager, H.; Yu, P.; Becker, C. -M. (14 de outubro de 2008). «PROGRESSIVE ENCEPHALOMYELITIS, RIGIDITY, AND MYOCLONUS: A NOVEL GLYCINE RECEPTOR ANTIBODY». Neurology (em inglês) (16): 1291–1292. ISSN 0028-3878. doi:10.1212/01.wnl.0000327606.50322.f0. Consultado em 26 de junho de 2023
- ↑ a b Gaig, Carles; Graus, Francesc; Compta, Yarko; Högl, Birgit; Bataller, Luis; Brüggemann, Norbert; Giordana, Caroline; Heidbreder, Anna; Kotschet, Katya (2 de maio de 2017). «Clinical manifestations of the anti-IgLON5 disease». Neurology (em inglês) (18): 1736–1743. ISSN 0028-3878. doi:10.1212/WNL.0000000000003887. Consultado em 26 de junho de 2023
- ↑ Schubert, Julia; Brämer, Dirk; Huttner, Hagen B.; Gerner, Stefan T.; Fuhrer, Hannah; Melzer, Nico; Dik, Andre; Prüss, Harald; Ly, Lam-Than (janeiro de 2019). «Management and prognostic markers in patients with autoimmune encephalitis requiring ICU treatment». Neurology - Neuroimmunology Neuroinflammation (em inglês) (1): e514. ISSN 2332-7812. doi:10.1212/NXI.0000000000000514. Consultado em 26 de junho de 2023
- ↑ a b Titulaer, Maarten J; McCracken, Lindsey; Gabilondo, Iñigo; Armangué, Thaís; Glaser, Carol; Iizuka, Takahiro; Honig, Lawrence S; Benseler, Susanne M; Kawachi, Izumi (fevereiro de 2013). «Treatment and prognostic factors for long-term outcome in patients with anti-NMDA receptor encephalitis: an observational cohort study». The Lancet Neurology (em inglês) (2): 157–165. doi:10.1016/S1474-4422(12)70310-1. Consultado em 26 de junho de 2023
- ↑ Finke, Carsten; Kopp, Ute A; Prüss, Harald; Dalmau, Josep; Wandinger, Klaus-Peter; Ploner, Christoph J (fevereiro de 2012). «Cognitive deficits following anti-NMDA receptor encephalitis». Journal of Neurology, Neurosurgery & Psychiatry (em inglês) (2): 195–198. ISSN 0022-3050. doi:10.1136/jnnp-2011-300411. Consultado em 26 de junho de 2023
- ↑ Dalmau, Josep; Lancaster, Eric; Martinez-Hernandez, Eugenia; Rosenfeld, Myrna R; Balice-Gordon, Rita (janeiro de 2011). «Clinical experience and laboratory investigations in patients with anti-NMDAR encephalitis». The Lancet Neurology (em inglês) (1): 63–74. doi:10.1016/S1474-4422(10)70253-2. Consultado em 26 de junho de 2023
- ↑ a b Finke, Carsten; Kopp, Ute A.; Pajkert, Anna; Behrens, Janina R.; Leypoldt, Frank; Wuerfel, Jens T.; Ploner, Christoph J.; Prüss, Harald; Paul, Friedemann (maio de 2016). «Structural Hippocampal Damage Following Anti-N-Methyl-D-Aspartate Receptor Encephalitis». Biological Psychiatry (em inglês) (9): 727–734. doi:10.1016/j.biopsych.2015.02.024. Consultado em 26 de junho de 2023
- ↑ Finke, Carsten; Kopp, Ute A.; Scheel, Michael; Pech, Luisa-Maria; Soemmer, Carina; Schlichting, Jeremias; Leypoldt, Frank; Brandt, Alexander U.; Wuerfel, Jens (julho de 2013). «Functional and structural brain changes in anti-N-methyl-D-aspartate receptor encephalitis: Finke et al: MRI in Anti-NMDAR Encephalitis». Annals of Neurology (em inglês): n/a–n/a. doi:10.1002/ana.23932. Consultado em 26 de junho de 2023
- ↑ a b Bartels, Frederik; Krohn, Stephan; Nikolaus, Marc; Johannsen, Jessika; Wickström, Ronny; Schimmel, Mareike; Häusler, Martin; Berger, Andrea; Breu, Markus (julho de 2020). «Clinical and Magnetic Resonance Imaging Outcome Predictors in Pediatric Anti–N‐Methyl‐D‐Aspartate Receptor Encephalitis». Annals of Neurology (em inglês) (1): 148–159. ISSN 0364-5134. doi:10.1002/ana.25754. Consultado em 26 de junho de 2023
- ↑ Peer, Michael; Prüss, Harald; Ben-Dayan, Inbal; Paul, Friedemann; Arzy, Shahar; Finke, Carsten (outubro de 2017). «Functional connectivity of large-scale brain networks in patients with anti-NMDA receptor encephalitis: an observational study». The Lancet Psychiatry (em inglês) (10): 768–774. doi:10.1016/S2215-0366(17)30330-9. Consultado em 26 de junho de 2023
- ↑ von Schwanenflug, Nina; Krohn, Stephan; Heine, Josephine; Paul, Friedemann; Prüss, Harald; Finke, Carsten (12 de junho de 2020). «State-dependent signatures of Anti-NMDA Receptor Encephalitis: a dynamic functional connectivity study». dx.doi.org. Consultado em 26 de junho de 2023
- ↑ Armangue, Thaís; Spatola, Marianna; Vlagea, Alexandru; Mattozzi, Simone; Cárceles-Cordon, Marc; Martinez-Heras, Eloy; Llufriu, Sara; Muchart, Jordi; Erro, María Elena (setembro de 2018). «Frequency, symptoms, risk factors, and outcomes of autoimmune encephalitis after herpes simplex encephalitis: a prospective observational study and retrospective analysis». The Lancet Neurology (em inglês) (9): 760–772. doi:10.1016/S1474-4422(18)30244-8. Consultado em 26 de junho de 2023
- ↑ Prüss, Harald; Finke, Carsten; Höltje, Markus; Hofmann, Joerg; Klingbeil, Christine; Probst, Christian; Borowski, Kathrin; Ahnert-Hilger, Gudrun; Harms, Lutz (dezembro de 2012). «N-methyl- D -aspartate receptor antibodies in herpes simplex encephalitis». Annals of Neurology (em inglês) (6): 902–911. doi:10.1002/ana.23689. Consultado em 26 de junho de 2023
- ↑ Prüss, Harald (junho de 2017). «Postviral autoimmune encephalitis: manifestations in children and adults». Current Opinion in Neurology (em inglês) (3): 327–333. ISSN 1350-7540. doi:10.1097/WCO.0000000000000445. Consultado em 26 de junho de 2023
- ↑ Panariello, Adelaide; Bassetti, Roberta; Radice, Anna; Rossotti, Roberto; Puoti, Massimo; Corradin, Matteo; Moreno, Mauro; Percudani, Mauro (julho de 2020). «Anti-NMDA receptor encephalitis in a psychiatric Covid-19 patient: A case report». Brain, Behavior, and Immunity (em inglês): 179–181. doi:10.1016/j.bbi.2020.05.054. Consultado em 26 de junho de 2023
- ↑ Franke, Christiana; Ferse, Caroline; Kreye, Jakob; Reincke, S Momsen; Sanchez-Sendin, Elisa; Rocco, Andrea; Steinbrenner, Mirja; Angermair, Stefan; Treskatsch, Sascha (6 de julho de 2020). «High frequency of cerebrospinal fluid autoantibodies in COVID-19 patients with neurological symptoms». dx.doi.org. Consultado em 26 de junho de 2023
- ↑ Kreye, Jakob; Reincke, S. Momsen; Kornau, Hans-Christian; Sánchez-Sendin, Elisa; Corman, Victor Max; Liu, Hejun; Yuan, Meng; Wu, Nicholas C.; Zhu, Xueyong (novembro de 2020). «A Therapeutic Non-self-reactive SARS-CoV-2 Antibody Protects from Lung Pathology in a COVID-19 Hamster Model». Cell (em inglês) (4): 1058–1069.e19. doi:10.1016/j.cell.2020.09.049. Consultado em 26 de junho de 2023
- ↑ López Chiriboga, A. Sebastian; Siegel, Jason L.; Tatum, William O.; Shih, Jerry J.; Flanagan, Eoin P. (maio de 2017). «Striking basal ganglia imaging abnormalities in LGI1 ab faciobrachial dystonic seizures». Neurology - Neuroimmunology Neuroinflammation (em inglês) (3): e336. ISSN 2332-7812. doi:10.1212/NXI.0000000000000336. Consultado em 26 de junho de 2023
- ↑ a b c Ariño, Helena; Armangué, Thais; Petit-Pedrol, Mar; Sabater, Lidia; Martinez-Hernandez, Eugenia; Hara, Makoto; Lancaster, Eric; Saiz, Albert; Dalmau, Josep (23 de agosto de 2016). «Anti-LGI1–associated cognitive impairment: Presentation and long-term outcome». Neurology (em inglês) (8): 759–765. ISSN 0028-3878. doi:10.1212/WNL.0000000000003009. Consultado em 26 de junho de 2023
- ↑ van Sonderen, Agnes; Petit-Pedrol, Mar; Dalmau, Josep; Titulaer, Maarten J. (maio de 2017). «The value of LGI1, Caspr2 and voltage-gated potassium channel antibodies in encephalitis». Nature Reviews Neurology (em inglês) (5): 290–301. ISSN 1759-4758. doi:10.1038/nrneurol.2017.43. Consultado em 26 de junho de 2023
- ↑ van Sonderen, Agnes; Thijs, Roland D.; Coenders, Elias C.; Jiskoot, Lize C.; Sanchez, Esther; de Bruijn, Marienke A.A.M.; van Coevorden-Hameete, Marleen H.; Wirtz, Paul W.; Schreurs, Marco W.J. (4 de outubro de 2016). «Anti-LGI1 encephalitis: Clinical syndrome and long-term follow-up». Neurology (em inglês) (14): 1449–1456. ISSN 0028-3878. doi:10.1212/WNL.0000000000003173. Consultado em 26 de junho de 2023
- ↑ a b c Finke, Carsten; Prüss, Harald; Heine, Josephine; Reuter, Sigrid; Kopp, Ute A.; Wegner, Florian; Then Bergh, Florian; Koch, Sebastian; Jansen, Olav (1 de janeiro de 2017). «Evaluation of Cognitive Deficits and Structural Hippocampal Damage in Encephalitis With Leucine-Rich, Glioma-Inactivated 1 Antibodies». JAMA Neurology (em inglês) (1). 50 páginas. ISSN 2168-6149. doi:10.1001/jamaneurol.2016.4226. Consultado em 26 de junho de 2023
- ↑ Heine, Josephine; Prüss, Harald; Kopp, Ute A; Wegner, Florian; Then Bergh, Florian; Münte, Thomas; Wandinger, Klaus-Peter; Paul, Friedemann; Bartsch, Thorsten (novembro de 2018). «Beyond the limbic system: disruption and functional compensation of large-scale brain networks in patients with anti-LGI1 encephalitis». Journal of Neurology, Neurosurgery & Psychiatry (em inglês) (11): 1191–1199. ISSN 0022-3050. doi:10.1136/jnnp-2017-317780. Consultado em 26 de junho de 2023
- ↑ a b c d e f g h Heine, J.; Prüss, H.; Bartsch, T.; Ploner, C.J.; Paul, F.; Finke, C. (novembro de 2015). «Imaging of autoimmune encephalitis – Relevance for clinical practice and hippocampal function». Neuroscience (em inglês): 68–83. doi:10.1016/j.neuroscience.2015.05.037. Consultado em 26 de junho de 2023
- ↑ a b Blinder, Tetyana; Lewerenz, Jan (25 de julho de 2019). «Cerebrospinal Fluid Findings in Patients With Autoimmune Encephalitis—A Systematic Analysis». Frontiers in Neurology. ISSN 1664-2295. doi:10.3389/fneur.2019.00804. Consultado em 26 de junho de 2023
- ↑ Fang, Boyan; McKeon, Andrew; Hinson, Shannon R.; Kryzer, Thomas J.; Pittock, Sean J.; Aksamit, Allen J.; Lennon, Vanda A. (1 de novembro de 2016). «Autoimmune Glial Fibrillary Acidic Protein Astrocytopathy: A Novel Meningoencephalomyelitis». JAMA Neurology (em inglês) (11). 1297 páginas. ISSN 2168-6149. doi:10.1001/jamaneurol.2016.2549. Consultado em 26 de junho de 2023
- ↑ Dubey, Divyanshu; Hinson, Shannon R.; Jolliffe, Evan A.; Zekeridou, Anastasia; Flanagan, Eoin P.; Pittock, Sean J.; Basal, Eati; Drubach, Daniel A.; Lachance, Daniel H. (agosto de 2018). «Autoimmune GFAP astrocytopathy: Prospective evaluation of 90 patients in 1 year». Journal of Neuroimmunology (em inglês): 157–163. doi:10.1016/j.jneuroim.2018.04.016. Consultado em 26 de junho de 2023
- ↑ Grüter, Thomas; Möllers, Franziska E; Tietz, Anja; Dargvainiene, Justina; Melzer, Nico; Heidbreder, Anna; Strippel, Christine; Kraft, Andrea; Höftberger, Romana (13 de fevereiro de 2023). «Clinical, serological and genetic predictors of response to immunotherapy in anti-IgLON5 disease». Brain (em inglês) (2): 600–611. ISSN 0006-8950. doi:10.1093/brain/awac090. Consultado em 26 de junho de 2023
- ↑ Honorat, Josephe A.; Komorowski, Lars; Josephs, Keith A.; Fechner, Kai; St Louis, Erik K.; Hinson, Shannon R.; Lederer, Sabine; Kumar, Neeraj; Gadoth, Avi (setembro de 2017). «IgLON5 antibody: Neurological accompaniments and outcomes in 20 patients». Neurology - Neuroimmunology Neuroinflammation (em inglês) (5): e385. ISSN 2332-7812. doi:10.1212/NXI.0000000000000385. Consultado em 26 de junho de 2023
- ↑ Athauda, Dilan; Delamont, R. S.; Pablo-Fernandez, E. De (2014). «High Grade Glioma Mimicking Voltage Gated Potassium Channel Complex Associated Antibody Limbic Encephalitis». Case Reports in Neurological Medicine (em inglês): 1–4. ISSN 2090-6668. doi:10.1155/2014/458790. Consultado em 26 de junho de 2023
- ↑ Blinder, Tetyana; Lewerenz, Jan (25 de julho de 2019). «Cerebrospinal Fluid Findings in Patients With Autoimmune Encephalitis—A Systematic Analysis». Frontiers in Neurology. ISSN 1664-2295. doi:10.3389/fneur.2019.00804. Consultado em 27 de junho de 2023
- ↑ Sonderen, Agnes van; Arends, Samuel; Tavy, Dénes L J; Bastiaansen, Anna E M; Bruijn, Marienke A A M de; Schreurs, Marco W J; Sillevis Smitt, Peter A E; Titulaer, Maarten J (outubro de 2018). «Predictive value of electroencephalography in anti-NMDA receptor encephalitis». Journal of Neurology, Neurosurgery & Psychiatry (em inglês) (10): 1101–1106. ISSN 0022-3050. doi:10.1136/jnnp-2018-318376. Consultado em 26 de junho de 2023
- ↑ Geis, Christian; Planagumà, Jesus; Carreño, Mar; Graus, Francesc; Dalmau, Josep (4 de fevereiro de 2019). «Autoimmune seizures and epilepsy». Journal of Clinical Investigation (em inglês) (3): 926–940. ISSN 0021-9738. doi:10.1172/JCI125178. Consultado em 26 de junho de 2023
- ↑ Graus, Francesc; Vogrig, Alberto; Muñiz-Castrillo, Sergio; Antoine, Jean-Christophe G.; Desestret, Virginie; Dubey, Divyanshu; Giometto, Bruno; Irani, Sarosh R.; Joubert, Bastien (julho de 2021). «Updated Diagnostic Criteria for Paraneoplastic Neurologic Syndromes». Neurology - Neuroimmunology Neuroinflammation (em inglês) (4): e1014. ISSN 2332-7812. doi:10.1212/NXI.0000000000001014. Consultado em 26 de junho de 2023
- ↑ Rössling, Rosa; Prüss, Harald (dezembro de 2020). «SOP: antibody-associated autoimmune encephalitis». Neurological Research and Practice (em inglês) (1). ISSN 2524-3489. doi:10.1186/s42466-019-0048-7. Consultado em 26 de junho de 2023
- ↑ Behrendt, Volker; Krogias, Christos; Reinacher-Schick, Anke; Gold, Ralf; Kleiter, Ingo (1 de outubro de 2016). «Bortezomib Treatment for Patients With Anti- N -Methyl- d -Aspartate Receptor Encephalitis». JAMA Neurology (em inglês) (10). 1251 páginas. ISSN 2168-6149. doi:10.1001/jamaneurol.2016.2588. Consultado em 26 de junho de 2023
- ↑ Scheibe, Franziska; Prüss, Harald; Mengel, Annerose M.; Kohler, Siegfried; Nümann, Astrid; Köhnlein, Martin; Ruprecht, Klemens; Alexander, Tobias; Hiepe, Falk (24 de janeiro de 2017). «Bortezomib for treatment of therapy-refractory anti-NMDA receptor encephalitis». Neurology (em inglês) (4): 366–370. ISSN 0028-3878. doi:10.1212/WNL.0000000000003536. Consultado em 26 de junho de 2023
- ↑ Wickel, Jonathan; Chung, Ha-Yeun; Platzer, Stephanie; Lehmann, Thomas; Prüss, Harald; Leypoldt, Frank; Günther, Albrecht; Scherag, André; Geis, Christian (dezembro de 2020). «Generate-Boost: study protocol for a prospective, multicenter, randomized controlled, double-blinded phase II trial to evaluate efficacy and safety of bortezomib in patients with severe autoimmune encephalitis». Trials (em inglês) (1). ISSN 1745-6215. doi:10.1186/s13063-020-04516-7. Consultado em 26 de junho de 2023
- ↑ «The ExTINGUISH Trial of Inebilizumab in NMDAR Encephalitis - Full Text View - ClinicalTrials.gov». clinicaltrials.gov (em inglês). Consultado em 26 de junho de 2023
- ↑ «A Study to Test the Efficacy, Safety, and Pharmacokinetics of Rozanolixizumab in Adult Study Participants With Leucine-Rich Glioma Inactivated 1 Autoimmune Encephalitis - Full Text View - ClinicalTrials.gov». clinicaltrials.gov (em inglês). Consultado em 26 de junho de 2023
- ↑ Dubey, Divyanshu; Britton, Jeffrey; McKeon, Andrew; Gadoth, Avi; Zekeridou, Anastasia; Lopez Chiriboga, Sebastian A.; Devine, Michelle; Cerhan, Jane H.; Dunlay, Katie (fevereiro de 2020). «Randomized Placebo‐Controlled Trial of Intravenous Immunoglobulin in Autoimmune LGI1/CASPR2 Epilepsy». Annals of Neurology (em inglês) (2): 313–323. ISSN 0364-5134. doi:10.1002/ana.25655. Consultado em 26 de junho de 2023
- ↑ a b Seifert-Held, Thomas; Eberhard, Katharina; Lechner, Christian; Macher, Stefan; Hegen, Harald; Moser, Tobias; Jacob, Gregor Brecl; Puttinger, Gertraud; Topakian, Raffi (21 de maio de 2021). «Functional Recovery in Autoimmune Encephalitis: A Prospective Observational Study». Frontiers in Immunology. ISSN 1664-3224. doi:10.3389/fimmu.2021.641106. Consultado em 27 de junho de 2023
