Linfoma de Hodgkin

Linfoma de Hodgkin
SinónimosDoença de Hodgkin[1]
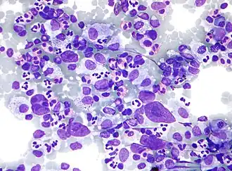
Micrografia de um linfoma de Hodgkin (coloração de Field)
EspecialidadeHematologia e oncologia
SintomasFebre, suores noturnos, perda de peso, inflamação indolor dos gânglios linfáticos[2]
TiposLinfoma de Hodgkin clássico, linfoma de Hodgkin de predomínio linfocítico nodular[3]
Fatores de riscoVírus Epstein–Barr, antecedentes familiares VIH/SIDA[4][2]
Método de diagnósticoBiópsia dos gânglios linfáticos[2]
TratamentoQuimioterapia, radioterapia, transplante de células estaminais hematopoiéticas[5]
PrognósticoTaxa de sobrevivência a 5 anos: 86% (EUA)[3]
Frequência574 000 (afetados durante 2015)[6]
Mortes23 900 (2015)[7]
Classificação e recursos externos
CID-11e 1852364357 2B30
CID-10C81
CID-9201
CID-CID-O9650/3-9667/3
OMIM236000, 300221, 400021
DiseasesDB5973
MedlinePlus000580
eMedicinemed/1022
MeSHD006689
A Wikipédia não é um consultório médico. Leia o aviso médico 

Linfoma de Hodgkin é um tipo de linfoma que se acredita ser o resultado de leucócitos do tipo linfócito.[8] Linfomas são tumores de células sanguíneas com origem nas células linfáticas.[9] Os sintomas mais comuns do linfoma de Hodgkins são febre, suores noturnos e perda de peso.[2] Em muitos casos, verifica-se aumento de tamanho indolor dos gânglios linfáticos do pescoço, da axila ou da virilha.[2] As pessoas afetadas podem-se sentir cansadas ou com prurido.[2]

Cerca de metade dos casos de linfoma de Hodgkin são causados pelo vírus Epstein–Barr (VEB).[4] Entre outros fatores de risco estão antecedentes familiares da doença e ser portador de VIH/SIDA.[2][4] Existem dois tipos principais de linfoma de Hodgkin: linfoma de Hodgkin clássico (LHC) e linfoma de Hodgkin de predomínio linfocítico nodular.[3] O diagnóstico é realizado através de exames aos gânglios linfáticos para a presença de células de Hodgkin, como células de Reed-Sternberg multinucleadas.[2]

O linfoma de Hodgkin pode ser tratado com quimioterapia, radioterapia ou transplante de células estaminais hematopoiéticas.[5] A escolha do tratamento depende em muitos casos do estádio do cancro e de existirem ou não características favoráveis.[5] Quando é detectado em fases iniciais, em muitos casos a cura é possível.[10] Nos Estados Unidos, a taxa de sobrevivência a cinco anos é de 86%.[3] Em pessoas com menos de 20 anos de idade, a taxa de sobrevivência é de 97%.[11] No entanto, a radioterapia e alguns fármacos usados na quimioterapia aumentam o risco de outros cancros, doenças cardiovasculares ou doenças pulmonares nas décadas seguintes.[10]

Em 2015, cerca de 574 000 pessoas em todo o mundo tinham linfoma de Hodgkin's. No mesmo ano, a doença causou 23 900 mortes.[6][7] Nos Estados Unidos, a doença afeta 0,2% da população em algum momento da vida.[3] A idade de diagnóstico mais comum é entre os 20 e os 40 anos.[3] A doença tem este nome em homenagem ao médico inglês Thomas Hodgkin, o primeiro a descrever a condição em 1832.[10][12]

Classificação

Classificação dos linfomas de Hodgkin com base na classificação histopatológica de Rye de 1966 (conferência em Rye, Nova York), adaptada à mais recente classificação para linfomas a REAL (Revised European American List) Os linfomas de Hodgkin (doenças de Hodgkin) são classificados em dois tipos principais:

  • Linfoma de Hodgkin clássico;
  • Linfoma de Hodgkin predomínio linfocitário nodular (LHPLN).

Linfoma de Hodgkin clássico

O linfoma de Hodgkin clássico apresenta os seguintes subtipos:

  • Rico em linfócitos;
  • Celularidade mista;
  • Depleção linfocitária;
  • Esclerose nodular;

Linfoma de Hodgkin subtipo rico em linfócitos

A principal característica é a presença de grande quantidade de linfócitos, tendo mais ou menos um componente histiocitário; Presença de raros granulócitos; Presença de pequeno número de plasmócitos; Presença de células de Reed-Sternberg (CRS) pouco diferenciáveis e raras.Escassas fibrose e necrose.

Esse tipo apresenta um bom prognóstico, e também é conhecido como linfoma de Hodgkin com predominância linfocitária.

Linfoma de Hodgkin subtipo celularidade mista

Em relação a celularidade é mista sem marcada presença de um determinado tipo; Grande número de típicas células de Reed-Sternberg; Pequena ou moderada fibrose; Pode-se encontrar necrose; Em relação aos outros subtipos acha-se plasmócitos neste subtipo com mais frequência.

Linfoma de Hodgkin subtipo depleção linfocitária

Acetuada leucopenia; Às vezes presenças de numerosas células de Reed-Sternberg multinucleadas de aspecto essencialmente anormal.

Linfomas de Hodgkin subtipo esclerose nodular

A principal características é a presença de nódulos de tecidos linfoides separados por faixas ordenadas de tecido conectivo colagenoso; Presença de raras células típicas de Reed-Sternberg; Presença de células anormais semelhantes as de Reed-Sternberg; Fibrose aumentada; Pode surgir zona de necrose.

Sinais e sintomas

Os possíveis sinais e sintomas são:

  • Geralmente começa no tórax (40%), ombros (15%), axilas (15%) ou pescoço (12%).
  • Adenomegalia(linfonodos inchados) é a principal queixa constituindo o sintoma inicial em mais de 50% dos casos;
  • Os linfonodos são móveis e de consistência elástica, maiores de 1.5-2.0 cm e duradouros. Eventualmente estão endurecidos pela fibrose(cicatrização) associada.
  • A adenomegalia cervical é mais frequente (47% dos casos) juntamente com a cadeia ganglionar supraclavicular. Mas pode acometer qualquer sítio.
  • Pode ocorrer infartamento ganglionar axilar (5% dos casos), inguinal (3% dos casos) ou generalizado (12% dos casos);
  • Pode estar presente prurido(coceira) e dor nos linfonodos desencadeados pela ingestão de bebidas alcoólicas (característica da Doença de Hodgkin.) O prurido também é visto na policitemia vera.
  • As lesões extranodais viscerais dos LH são menos comuns que na doença não-Hodgkin.
  • Certas glândulas como mamas e tireóide podem ser atingidas;
  • O comprometimento extranodal atinge principalmente: pulmões, fígado e a medula óssea.
  • Os Sintomas B de valor prognóstico são: febre, sudorese noturna, perda de peso.
  • A febre é causada pela liberação de interleucina-1 IL-1 tanto pelas células tumorais quanto pelas células do sistema imune do paciente assim como pela reação à neoplasia.

Não possui um padrão definido, geralmente cursa com dias de febre alta, alternados com dias sem febre. É a chamada febre de Pel-Ebstein.

  • A perda ponderal de peso é devido à liberação de TNF-alfa (caquexina).
  • Em cerca de 60 a 65% dos pacientes apresentam esplenomegalia(aumento do baço).

Diagnóstico laboratorial

O diagnóstico laboratorial baseia-se no exame histológico do material obtido por biópsia de gânglio linfático, fragmento do baço, fragmento do fígado ou de qualquer outro órgão ou tecido. Na doença de Hodgkin o sangue periférico não apresenta achado específico.

Uma de suas principais características é a presença da clássica célula de Reed-Sternberg, que possui em geral citoplasma abundante, apresentando-se com dois núcleos e dois nucléolos grandes (um em cada núcleo) visualizadas em microscópio com a aparência de olhos de coruja.

Epidemiologia

Entre 2008 e 2012 o número de novos casos de Linfoma de Hodgkin foi de 2,7 por 100.000 pessoas por ano, a incidência estava diminuindo a cada ano. O número de óbitos foi de 0,4 por 100.000 pessoas por ano. A mortalidade diminuiu muitos nas últimas décadas, em 2007 cerca de 88% dos pacientes sobreviviam mais de 5 anos com esse linfoma. É mais comum entre os 15 aos 44 anos e um pouco mais frequente no sexo masculino e entre brancos.[13] Os Linfoma não-Hodgkin são 9 vezes mais comuns que os linfomas de Hodgkin, são mais frequentes em maiores de 50 anos e tem pior prognóstico com 70% de sobrevivência em 5 anos.[14]

Tratamento

Quimioterapia

  • Vários protocolos podem ser utilizados no tratamento quimioterápico dos linfomas de Hodgkin. Um dos primeiros protocolos, utilizados no tratamento de indivíduos com linfoma de Hodgkin, foi o MOPP. Nos dias atuais têm-se vários protocolos como o ABVD, o C-MOPPABV, o Stanford V, e o BEACOPP. Após os ciclos de quimioterapia o paciente pode ou não ter indicação da utilização da radioterapia, a depender de cada caso.

Protocolo MOPP

O protocolo MOPP é constituído pelas drogas: Mecloretamina, Vincristina, Procarbazina e Prednisona. A mecloretamina e a Vincristina (oncovin) são administradas por via intravenosa. A Procarbazina e a Prednisona são administradas por via oral.

Protocolo ABVD

O protocolo ABVD é constituído pelas drogas: Adriamicina (Doxorubicina), Bleomicina, Vimblastina e Dacarbazina. As quatro drogas constituintes do protocolo ABVD, são administradas por via intravenosa.

Protocolo C-MOPPABV

O protocolo C-MOPPABV é constituído pelas drogas: Ciclofosfamida, Mecloretamina, Vincristina, Procarbazina, Prednisona, Adriblastina, Belomicina e Vimblastina. A Ciclofosfamida é administrada por via intravenosa.

Protocolo Stanford V

O protocolo Stanford V é constituído pelas drogas: Doxorrubicina, Vimblastina, Mostarda nitrogenada, Vincristina, Bleomicina, Etoposide e Prednisona. A Prednisona é administrada por via oral.

Protocolo BEACOPP

O protocolo BEACOPP é constituído pelas drogas: Bleomicina, Etoposido, Doxorrubicina, Ciclofosfamida, Vincristina, Procarbazina e Prednisona.

Referências

  1. Lozano R, Naghavi M, Foreman K, Lim S, Shibuya K, Aboyans V, et al. (15 de dezembro de 2012). «Global and regional mortality from 235 causes of death for 20 age groups in 1990 and 2010: a systematic analysis for the Global Burden of Disease Study 2010.». Lancet. 380 (9859): 2095–128. OCLC 23245604. PMID 23245604. doi:10.1016/S0140-6736(12)61728-0 
  2. a b c d e f g h «Adult Hodgkin Lymphoma Treatment (PDQ®)–Patient Version». NCI. 3 de agosto de 2016. Consultado em 12 de agosto de 2016. Cópia arquivada em 28 de julho de 2016 
  3. a b c d e f «SEER Stat Fact Sheets: Hodgkin Lymphoma». NCI. Abril de 2016. Consultado em 13 de agosto de 2016. Cópia arquivada em 17 de outubro de 2012 
  4. a b c World Cancer Report 2014. [S.l.]: World Health Organization. 2014. pp. Chapter 2.4. ISBN 928320429-8 
  5. a b c «Adult Hodgkin Lymphoma Treatment (PDQ®)–Patient Version». NCI. 3 de agosto de 2016. Consultado em 13 de agosto de 2016. Cópia arquivada em 28 de julho de 2016 
  6. a b GBD 2015 Disease and Injury Incidence and Prevalence, Collaborators (8 de outubro de 2016). «Global, regional, and national incidence, prevalence, and years lived with disability for 310 diseases and injuries, 1990–2015: a systematic analysis for the Global Burden of Disease Study 2015.». Lancet. 388 (10053): 1545–1602. PMC 5055577Acessível livremente. PMID 27733282. doi:10.1016/S0140-6736(16)31678-6 
  7. a b GBD 2015 Mortality and Causes of Death, Collaborators (8 de outubro de 2016). «Global, regional, and national life expectancy, all-cause mortality, and cause-specific mortality for 249 causes of death, 1980–2015: a systematic analysis for the Global Burden of Disease Study 2015». Lancet. 388 (10053): 1459–1544. PMC 5388903Acessível livremente. PMID 27733281. doi:10.1016/s0140-6736(16)31012-1 
  8. Bower, Mark; Waxman, Jonathan (2011). Lecture Notes: Oncology (em inglês) 2 ed. [S.l.]: John Wiley & Sons. p. 195. ISBN 978-1118293003. Cópia arquivada em 10 de setembro de 2017 
  9. Taylor, Elizabeth J. (2000). Dorland's Illustrated medical dictionary. 29th ed. Philadelphia: Saunders. p. 1038. ISBN 0721662544 
  10. a b c Armitage, JO (agosto de 2010). «Early-stage Hodgkin's Lymphoma». N. Engl. J. Med. 363 (7): 653–62. PMID 20818856. doi:10.1056/NEJMra1003733. Cópia arquivada em 30 de setembro de 2011 
  11. Ward, E; DeSantis, C; Robbins, A; Kohler, B; Jemal, A (2014). «Childhood and adolescent cancer statistics, 2014». CA: A Cancer Journal for Clinicians. 64 (2): 83–103. PMID 24488779. doi:10.3322/caac.21219. Cópia arquivada em 20 de março de 2016 
  12. Hodgkin T (1832). «On some morbid experiences of the absorbent glands and spleen». Med Chir Trans. 17: 69–97 
  13. [1]
  14. [2]

Ligações externas