Schwannoma
| Schwannoma | |
|---|---|
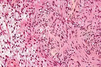
![]() | |
| Micrografia de um schwannoma com área Antoni A (centro e direita) e área Antoni B (esquerda). Tinção HPS. | |
| Especialidade | oncologia |
| Classificação e recursos externos | |
| CID-10 | C72.4 |
| CID-9 | 225.1 |
| CID-CID-O | 9560/0 |
| DiseasesDB | 33713 |
| MeSH | D009442 |
Schwannoma, Neuroma, Neurolemoma ou Neurilemoma é um tumor do sistema nervoso periférico originado nas células de Schwann. As células de Schwann são responsáveis pela criação de uma membrana isolante elétrica ao redor do axônio dos neurônios periféricos, a bainha de mielina, e também que atuam regenerando nervos. Geralmente o termo "Schwannoma" se refere a um tumor benigno e de crescimento lento. Os raros casos cancerosos devem ser chamados de Schwannoma maligno. [1]
Tipos

Os locais mais comuns afetados por Schwannomas são[2]:
- O oitavo par cranial (nervo acústico)
- O principal nervo da perna (nervo ciático)
- Os nervos na parte superior do braço (plexo braquial)
- Os nervos da parte inferior das costas (plexo sacral)
Causas
A causa geralmente é desconhecida, mas Schwannomas bilaterais ou recorrentes são comuns e portadores de neurofibromatose. Geralmente é diagnosticado entre os 30 e 50 anos.[3]
Sinais e sintomas
O sintoma mais habitual é dor e problemas sensitivos ou motores moderados pela compressão sobre os nervo circundantes. Os sintomas variam dependendo do nervo afetado, por exemplo[4]:
- A compressão do nervo auditivo pode causar perda auditiva em um ouvido, tinido, dor e paralisia facial.
- A compressão do nervo trigêmio pode causar dor intensa e constante ao falar, comer, beber e ainda dormência ou paralisia facial.
- Schwannomas dentro do canal espinhal podem se estender para dentro ou para fora do canal vertebral ao longo de uma raiz nervosa da medula espinhal. Ao comprimir a medula podem causar fraqueza, problemas digestivos e/ou dificuldade para controlar a urina, esfincter anal ou genital.
- A compressão da raiz nervosa de um braço ou perna pode causar dor, fraqueza, rigidez ou dormência no braço ou perna afetado.
Diagnóstico
Exames de imagem com ressonância magnética ou tomografia computadorizada podem localizar e medir o tamanho do tumor. Uma biópsia pode ser usada para confirmar o diagnóstico.[5]
Tratamento
Schwannomas benignos podem não precisar de tratamento enquanto não estão causando nenhum sintoma. A cirurgia é por vezes necessária, se o tumor está pressionando um nervo, causando dor, problemas sensitivos ou motores. Schwannomas malignos também devem ser removidos com cirurgia e radioterapia, usada frequentemente após cirurgia para ajudar a reduzir o risco de recorrência. Remover o tumor com cirurgia é difícil porque o cirurgião pode danificar os nervos envolvidos durante a tentativa de remoção do tumor. Além da terapia com radiação e cirurgia, podem também ser necessárias sessões de quimioterapia. Quando um tumor não pode ser removido, a terapia com doses elevadas de radiação podem ser utilizados para direcionar o tumor. Caso o tumor seja muito grande, a quimioterapia pode ser usada para reduzir seu tamanho antes da cirurgia.[5]
Ver também
- Neuroma do acústico (Schwannoma no nervo acústico)
- Neuroma de amputação (Schawannoma causado por corte de neurônios)
Referências
- ↑ James, William; Berger, Timothy; Elston, Dirk (2005). Andrews' Diseases of the Skin: Clinical Dermatology. (10th ed.). Saunders. ISBN 0-7216-2921-0.
- ↑ Cancer research UK ORG - What is a schwannoma
- ↑ https://rarediseases.info.nih.gov/gard/4767/benign-schwannoma/resources/1
- ↑ http://neurosurgery.ucla.edu/schwannomas
- ↑ a b http://www.webmd.com/cancer/neurofibrosarcoma-and-schwannoma?page=2
