Síndrome mielodisplásica

Síndrome mielodisplásica
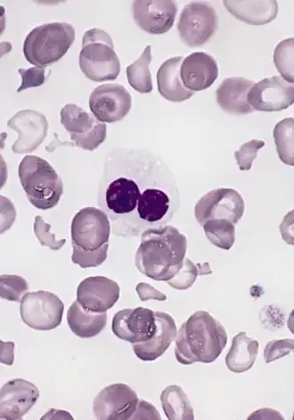
Sangue ao microscópio com um neutrófilo hipogranular e muitos glóbulos vermelhos anormais.
Especialidadehematologia
Classificação e recursos externos
CID-11e 1764029339 XH7PK9
CID-10D46
CID-9238.7
CID-CID-O9989/3, 998-999
OMIM614286
DiseasesDB8604
MedlinePlus007716
eMedicinemed/2695 ped/1527
MeSHD009190
A Wikipédia não é um consultório médico. Leia o aviso médico 

Síndrome mielodisplásica (SMD) refere-se a um grupo de neoplasias das células sanguíneas precursoras da medula óssea, caracterizada por um aumento na quantidade das células imaturas, que podem se deslocar para baço e fígado, e uma produção de células sanguíneas ineficientes e anormais (anemia, leucopenia ou trombocitopenia). Há um risco de 20 a 30% de se transformar em leucemia mieloide aguda. Todas as três linhas celulares da medula óssea podem estar envolvidas (série branca ou granulocítica, série vermelha ou eritrocítica e série plaquetária ou megacariocítica).

A SMD é mais comum em idosos com uma média de idade de 70 anos. A cada ano aparecem 4 novos casos em cada 100.000 habitantes. Há maior predominância desta doença no sexo masculino. A sobrevida média é de 2,5 a 3 anos.[1]

Causas

Alguns pacientes tem histórico de exposição a quimioterápicos e radiação ionizante (terapêutica ou acidental). Trabalhadores expostos a tabaco, pesticidas, hidrocarbonetos, benzenos, chumbo ou mercúrio têm mais chances de desenvolver a doença do que a população em geral.[2]

Mutações em fatores de ligação (splicing factors) foram encontradas em 40-80% dos casos com síndrome mielodisplásica, particularmente naqueles com sideroblastos anelados.[3] As mutações nos genes que codificam a isocitrato desidrogenase 1 e 2 (IDH1 e IDH2) ocorrem em 10-20% dos pacientes com síndrome mielodisplásica e estão associadas a um pior prognóstico.[4]

Algumas alterações hematológicas genéticas, como Anemia de Fanconi, Síndrome de Shwachman-Diamond e Anemia de Diamond-Blackfan, estão associadas com o risco de desenvolver SMD.

Sinais e Sintomas

Os sintomas incluem:

  • Cansaço frequente,
  • Dores no peito (devido a anemia),
  • Aumento de suscetibilidade a infecções (devido a neutropenia),
  • Tendência a sangramentos (devido a trombocitopenia),
  • Vertigens e náuseas,
  • Perda de apetite (geralmente em crianças) e,
  • Perda nos prazeres sexuais.

Embora haja um risco entre 20 e 30% de desenvolvimento de leucemia mieloide aguda, a maioria das mortes ocorre devido a sangramentos e infecções.

Tipos

Classificação da FAB

  • Anemia refratária (AR)
  • Anemia refratária com sideroblastos em anéis (ARSA)
  • Anemia refratária com excesso de blastos (AREB)
  • Anemia refratária com excesso de blastos em transformação (AREB-t)
  • Leucemia mielomonocítica crônica (LMMC)

Classificação da OMS

  • Anemia refratária (AR)
  • Anemia refratária com sideroblastos em anéis (ARSA)
  • Citopenia refratária com displasia multilinear (CRDM)
  • Citopenia refratária com displasia multilinear com anéis em sideroblasto (CRDM-SR)
  • Anemia refratária com excesso de blastos I e II
  • Síndrome 5-q
  • Mielodisplasia inclassicável

Diagnóstico

É caracterizada por leucopenia, anemia e trombocitopenia (baixa contagem de glóbulos brancos, vermelhos e plaquetas, respectivamente), grânulos anormais nas células sanguíneas, núcleo anormal em tamanho e forma, anormalidades cromossômicas, incluindo translocação cromossômica e número anormal de cromossomos.

O hemograma indica anemia hiporregenerativa geralmente macrocítica, neutrófilos hiposegmentados com pseudo-Pelger, trombocitopenia, raros blastos circulantes.

O mielograma geralmente hipercelular, mas pode ser hipocelular. Displasia pode afetar as três linhas celulares na medula óssea (série branca, série vermelha e série plaquetária):

  • Série Branca:
    • Neutrófilos hipersegmentados (também vistos na anemia megaloblástica)
    • Neutrófilos hiposegmentados (ou Pseudo-Pelger Hüet)
    • Neutrófilos hipogranulares ou com grânulos grandes (ou pseudo-Chediak Higashi)
  • Série Vermelha:
    • Precursores eritroides binucleados com kariorrexis
    • Pontes citoplasmáticas entre precursores eritroides (também vistas na anemia diseritropoética congênita)
    • Presença de > de 15% de sideroblastos em anéis em relação ao precursores eritroides quando o mielograma é corado com azul da Prússia (10 ou mais grânulos envolvendo 1/3 ou mais do núcleo)
  • Série Plaquetária:
    • Precursores plaquetários (megacariócitos) hiposegmentados
    • Megacariócitos hipersegmentados (com aparência de osteoclastos)

Tratamento

Os cuidados paliativos incluem produtos sanguíneos e factores de crescimento hematopoieticos (por exemplo, eritropoietina) são a base da terapia e preparam pra tratamentos curativos invasivos e agressivos como o transplante de medula óssea e quimioterapia.[5]

Referências

  1. Germing, U; Kobbe, G; Haas, R; Gattermann, N (15 November 2013). "Myelodysplastic syndromes: diagnosis, prognosis, and treatment.". Deutsches Arzteblatt international. 110 (46): 783–90.
  2. "Myelodysplastic Syndromes Treatment. NCI. 12 August 2015.
  3. Rozovski U, Keating M, Estrov Z (2012) The significance of spliceosome mutations in chronic lymphocytic leukemia. Leuk Lymphoma
  4. Molenaar, R J; Thota, S; Nagata, Y; Patel, B; Clemente, M; Przychodzen, B; Hirsh, C; Viny, A D; Hosano, N. "Clinical and biological implications of ancestral and non-ancestral IDH1 and IDH2 mutations in myeloid neoplasms". Leukemia. 29 (11): 2134–2142. doi:10.1038/leu.2015.91.
  5. "Lenalidomide (Revlimid) for anemia of myelodysplastic syndrome". The Medical letter on drugs and therapeutics. 48 (1232): 31–2. 2006. PMID 16625140.

Ligações externas