Granuloma

Granuloma
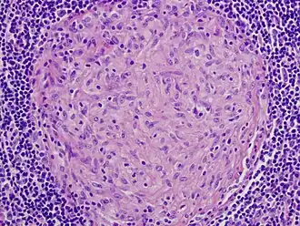
Granuloma em um linfonodo formado para conter infecção por Mycobacterium avium.
Especialidadedermatologia
Classificação e recursos externos
CID-10L92
CID-9686.1, 709.4
MeSHD006099
A Wikipédia não é um consultório médico. Leia o aviso médico 

Granuloma, em patologia, são pequenos nódulos de caráter inflamatório formados especialmente por macrófagos, mas que também podem conter outros leucócitos, e servem para isolar bactérias, fungos ou substâncias estranhas insolúveis que o organismo foi incapaz de expulsar.[1]

Características

O granuloma é composto por macrófagos, células epitelioides, células gigantes e cercado por linfócitos T e, em alguns casos por plasmócitos também.

Com o tempo alguns granulomas podem fazer a substituição de macrófagos por fibroblastos (células produtoras de colágeno) e aumentar progressivamente as fibras de colágeno formando uma cápsula e deixando uma cicatriz. Conforme as células morrem elas se calcificam e aparecem no Raio X.[2]

Causas

Granuloma causado por tuberculose com necrose caseosa no centro.

Infecções que formam granulomas incluem[3]:

Também podem ser sintomas de doenças não-infecciosas como febre reumática, artrite reumatoide ou doença de Crohn.

Granuloma epitelioide

Há dois tipos de granulomas que se diferem quanto a patogenia: os epitelioides e os de corpo estranho. Em geral os granulomas residuais são assintomáticos, e não incapacitante as atividades habituais.[4]

Os granulomas epitelioides, ou granulomas imunes, são característicos de partículas insolúveis, tipicamente microorganismos que são capazes de induzir uma resposta imune.[5] Os macrófagos fagocitam tais agentes e apresentam antígenos aos linfócitos T. Servem para impedir a disseminação destes agentes e apresentam célula gigante do tipo Langhans. Pessoas imunocomprometidas são incapazes de formar tais granulomas, alastrando assim a doença, tendo um pior prognóstico.´

Granuloma de corpos estranhos

Os granulomas de corpos estranhos são classicamente resposta a uma substância estranha que o corpo não consegue expulsar, como suturas, e ganham sua característica devido ao fato do agente agressor ser grande demais para ser fagocitado por um único macrófago. Há menor quantidade de células epitelioides e as células gigante são do tipo Corpo Estranho.

Etimologia

Granuloma (do Latim grānulum, ´´pequeno grão´´ + [grego] -oma, sufixo para ´´tumor´´, ´´massa´´)

Referências

  1. http://escuela.med.puc.cl/publ/patologiageneral/patol_064.html
  2. http://www.mayoclinic.org/granuloma/expert-answers/faq-20057838
  3. Woodard BH, Rosenberg SI, Farnham R, Adams DO (1982). "Incidence and nature of primary granulomatous inflammation in surgically removed material". American Journal of Surgical Pathology 6 (2): 119–129. doi:10.1097/00000478-198203000-00004. PMID 7102892.
  4. Corrêa, Luciana. Inflamação crônica e granulomas. Universidade de São Paulo. [Texto da internet]. Disponível em:[1]. Acesso em: 31 de julho de 2010.
  5. Seixas, Josi. Inflamação. Universidade Federal do Espírito Santo. [Texto da internet]. Disponível em: [2][ligação inativa]. Acesso em: 31 de julho de 2010.

Ver também