Célula gigante

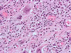
Uma célula gigante é uma massa de vários núcleos formada a partir da união de macrófagos, que muitas vezes forma granulomas.[1] Ao redor desta célula existe uma camada de fibroblastos, que com o tempo depositam colágeno, tal que substitui todo o granuloma por uma cicatriz mielinizada.
Referências
- ↑ National Library of Medicine - Medical Subject Headings. «Giant Cells». Consultado em 12 de fevereiro de 2015