Fratura de crânio basilar
| Fratura de crânio basilar | |
|---|---|
![]() | |
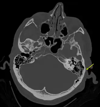
| Uma fratura sutil do osso temporal vista na TC de uma pessoa com traumatismo craniano grave | |
| Especialidade | Medicina de emergência, neurocirurgia |
| Sintomas | Contusões atrás das orelhas, hematomas ao redor dos olhos, sangramento atrás do tímpano[1] |
| Tipos | Anterior, central, posterior[1] |
| Causas | Trauma[1] |
| Método de diagnóstico | Tomografia computadorizada[1] |
| Tratamento | Com base nas lesões do crânio[1] |
| Frequência | ≈12% das lesões na cabeça[1] |
| Classificação e recursos externos | |
| eMedicine | 248108 |
| MeSH | D020205 |
Uma fratura de crânio basilar é uma fratura óssea na base do crânio.[1] Os sintomas podem incluir hematomas atrás das orelhas, hematomas ao redor dos olhos ou sangramento atrás do tímpano.[1] Um vazamento de líquido cefalorraquidiano (LCR) ocorre em cerca de 20% dos casos e pode resultar em rinorreia ou otite média.[1] A meningite é uma complicação em cerca de 14% dos casos.[2] Outras complicações incluem lesão do nervo craniano ou vaso sanguíneo.[1]
Este tipo de fratura normalmente exige um grau significativo de trauma para ocorrer.[1] A fratura é de pelo menos um dos seguintes ossos: osso temporal, osso occipital, osso esfenoide, osso frontal ou osso etmoide.[1] Eles são divididos em fraturas da fossa anterior, fossa média e fossa posterior.[1] Fraturas faciais também ocorrem frequentemente.[1] O diagnóstico geralmente é feito por tomografia computadorizada.[1]
O tratamento é geralmente baseado na lesão de estruturas da cabeça.[1] A cirurgia pode ser feita para interromper um vazamento de LCR ou uma lesão em um vaso sanguíneo ou nervo.[1] O uso de antibióticos preventivos não está claro.[3][2] Ocorre em cerca de 12% das pessoas com traumatismo craniano grave.[1]
Referências
- ↑ a b c d e f g h i j k l m n o p q r Baugnon, KL; Hudgins, PA (agosto de 2014). «Skull base fractures and their complications». Neuroimaging Clinics of North America. 24 (3): 439–65, vii–viii. PMID 25086806. doi:10.1016/j.nic.2014.03.001
- ↑ a b Nellis, JC; Kesser, BW; Park, SS (janeiro de 2014). «What is the efficacy of prophylactic antibiotics in basilar skull fractures?». The Laryngoscope. 124 (1): 8–9. PMID 24122671. doi:10.1002/lary.23934
- ↑ Ratilal, Bernardo O; Costa, João; Pappamikail, Lia; Sampaio, Cristina; Ratilal, Bernardo O (2015). «Antibiotic prophylaxis for preventing meningitis in patients with basilar skull fractures». The Cochrane Database of Systematic Reviews. 4 (4): CD004884. PMID 25918919. doi:10.1002/14651858.CD004884.pub4
