Fratura de úmero
| Fratura de úmero | |
|---|---|
, ![]() | |
| Especialidade | ortopedia |
| Classificação e recursos externos | |
| eMedicine | 825488 |
| MeSH | D006810 |
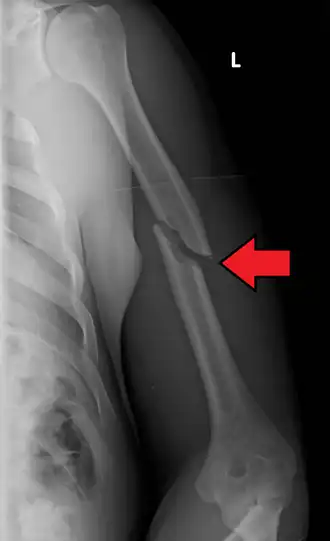
Fratura de úmero se refere a ruptura do úmero, o maior osso do braço. As fraturas proximais são próximas ao ombro (25% dos casos), mediais na diáfise (60% dos casos) e as distais ocorrem próximo ao cotovelo (15% dos casos). Essa classificação pode ser subdividida, com base na extensão da fratura e nas partes específicas do úmero. [1]
Fraturas geralmente ocorrem após um trauma físico, excesso de esforço físico ou condições patológicas, tais como tumores ósseos. As quedas são a causa mais comum, seguidas por carregar excesso de peso e acidentes automobilísticos.
Pessoas que sofrem uma fratura por queda geralmente têm fatores de risco, como osteoporose ou osteomalacia, e tentaram reduzir o impacto da queda com o braço lesionado.[2]
Sinais e sintomas
A dor é imediata, duradoura e piora com os movimentos. A região afetada fica inchada e hematomas aparecem um dia após a fratura. A fratura normalmente é acompanhado por uma descoloração da pele no local da fratura.[3] O barulho de osso quebrado às vezes pode ser ouvido ao pressionar o braço contra si mesmo. Quando os nervos são afetados, ocorre uma perda de controle motor e/ou sensibilidade no braço depois da fratura. Se a fratura afeta o suprimento de sangue, o paciente tem uma diminuição do pulso radial. Luxação pode causar deformidade e um menor comprimento do braço. Fraturas distais também podem causar deformidade e limitar a capacidade de flexionar o cotovelo.
Causas
Fraturas do úmero geralmente ocorrem após uma queda, excesso de esforço físico, golpe ou por condições patológicas. Ocorrem com mais frequência em pacientes idosos com osteoporose que caem sobre um braço estendido. Com menos frequência, as fraturas proximais ocorrem por acidentes com veículos motorizados, tiro e contrações musculares violentas por um choque elétrico ou convulsão.[4][5] Fatores de risco para fraturas proximais incluem baixa densidade óssea, problemas de visão ou de equilíbrio e tabagismo.[6] Essas fraturas em crianças podem indicar abuso físico ou negligência em proteger o filho. Fraturas também podem indicar deficiência de vitaminas B, vitamina D ou cálcio.[7]
Diagnóstico

Quando há suspeita clínica são solicitadas duas radiografias, frente e perfil ou duas oblíquas, dependendo do local afetado. Tomografia computadorizada pode dar mais informações sobre a fratura.[8]
Tratamento
O objetivo do tratamento é minimizar a dor e restaurar a funcionalidade tanto quanto possível. A maioria das fraturas de úmero não necessita de intervenção cirúrgica. As fraturas simples podem ser tratadas com imobilização adequada, analgésicos e acompanhamento radiológico. Fraturas com dois fragmentos podem exigir redução aberta (cirúrgica) ou fechada, se houve lesão neurovascular do manguito rotador, luxação, ou se há baixa probabilidade da união e retorno da função. Fraturas com três ou mais fragmentos devem ser reduzidas e fixadas com cirurgia, para realinhar e separar partes da extremidade do úmero. Artroplastia de úmero pode ser necessária para reparar o fornecimento de sangue na região comprometida.[9] No caso de complicações ou lesão importante dos nervos, o reparo cirúrgico também é necessário.[10]
Referências
- ↑ Cameron, P.; Jelinek, G.; Kelly, A. M.; Brown, A. F. T.; Little, M. (1 April 2014). Textbook of Adult Emergency Medicine. Elsevier Health Sciences. pp. 167–170. ISBN 9780702054389. p. 169
- ↑ Auth, P. C. (30 July 2012). Physician Assistant Review. Lippincott Williams & Wilkins. p. 167. ISBN 9781451171297.
- ↑ Cameron, et al., 2014, p. 167–170
- ↑ Crosby, et al., 2014, p. 4
- ↑ Auth, 2012, p. 167
- ↑ Crosby, et al., 2014, p. 23
- ↑ Cameron, et al., 2014, p. 167, 169
- ↑ cameron170
- ↑ Cameron, et al., 2014, pp. 168–169
- ↑ Cameron, et al., 2014, pp. 169–170
Bibliografia
- Auth, P. C. (30 de julho de 2012). Physician Assistant Review. [S.l.]: Lippincott Williams & Wilkins. p. 167. ISBN 9781451171297
- Malhotra, R. (15 dezembro de 2013). Mastering Orthopedic Techniques: Intra-articular Fractures. [S.l.]: Jaypee Brothers Medical Publishers Pvt. Ltd. pp. 47–62. ISBN 9789350908266
- Cameron, P.; Jelinek, G.; Kelly, A. M.; Brown, A. F. T.; Little, M. (1º de abril de 2014). Textbook of Adult Emergency Medicine. [S.l.]: Elsevier Health Sciences. pp. 167–170. ISBN 9780702054389
- Crosby, L.; Neviaser, R. (28 de outubro de 2014). Proximal Humerus Fractures: Evaluation and Management. [S.l.]: Springer. ISBN 9783319089515
- Cuccurullo, S. J. (25 de novembro de 2014). Physical Medicine and Rehabilitation Board Review, Third Edition. [S.l.]: Demos Medical Publishing. pp. 177–178. ISBN 9781617052019

