Fratura de Monteggia
| Fratura-luxação de Monteggia | |
|---|---|
![]() | |
| Especialidade | ortopedia, orthopedic surgery |
| Classificação e recursos externos | |
| CID-10 | S52.0 |
| CID-9 | 813.03, 813.13 |
| eMedicine | orthoped/201 |
| MeSH | D009011 |
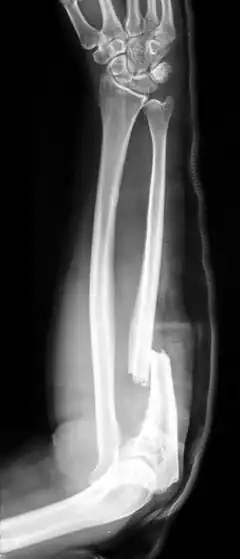
A fratura de Monteggia é uma fratura da ulna que afeta a articulação com o rádio. Mais precisamente, é uma fratura do terço proximal da ulna com deslocamento da cabeça do rádio.
Recebe o nome em homenagem a Giovanni Battista Monteggia.[1][2]
Tratamento
Na criança geralmente é indicada terapia conservadora, que consiste em redução fechada e imobilização. Em adultos, a fratura geralmente é tratada cirurgicamente, com redução aberta e fixação interna.
Ver também
Referências
- ↑ Monteggia's fracture (em inglês) no Who Named It?
- ↑ G. B. Monteggia. Istituzioni Chirurgiche. Vol 5. Milano, Pirotta & Maspero, 1814.
