Carcinoma de células renais
| Carcinoma de células renais | |
|---|---|
![]() | |
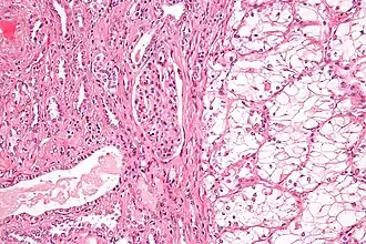
| Micrografia de tecido renal. À direita: carcinoma de células renais do subtipo de células claras, o subtipo mais comum. À esquerda: tecido normal sem cancro. | |
| Especialidade | Oncologia |
| Classificação e recursos externos | |
| CID-11 | 2C90.0 |
| CID-10 | C64 |
| CID-9 | 189.0 |
| CID-CID-O | 8312/3 |
| OMIM | 144700 605074 |
| DiseasesDB | 11245 |
| MedlinePlus | 000516 |
| eMedicine | med/2002 |
| MeSH | D002292 |
Carcinoma de células renais (CCR) é o cancro do rim com origem no revestimento do túbulo contorcido proximal, parte do sistema de canais muito finos do rim que transportam a urina primária. O CCR é o tipo mais comum de cancro do rim em adultos, sendo o responsável por cerca de 90–95% de todos os casos.[1]
A maioria dos casos são assintomáticos ou os sintomas são praticamente imperceptíveis. Como resultado, em muitos casos a doença só é descoberta em estádios avançados.[2] Os sintomas iniciais de CCR mais comuns são sangue na urina (presente em 40% dos casos no momento em que procuram cuidados de saúde), dor no flanco (40%), uma massa no abdómen ou flanco (25%), perda de peso (33%), febre (20%), hipertensão (20%), suores noturnos e sensação geral de mal-estar.[1] Nos casos em que há metástases, geralmente o CCR espalha-se para os gânglios linfáticos, pulmões, fígado, glândulas suprarrenais, cérebro ou ossos.[3]
Cerca de 50% dos casos de CCR são diagnosticados de forma incidental durante a realização de exames para outras condições.[4] O tratamento inicial mais comum é a remoção parcial ou total do rim afetado.[5] A imunoterapia e a terapia dirigida têm melhorado o prognóstico de CCR metastizado.[6][7] Nos casos em que o cancro ainda não se metastizou ou não progrediu para o em profundidade nos tecidos do rim, a taxa de sobrevivência a cinco anos é de 65–90%,[8] embora diminua consideravelmente nos casos metastizados.
O CCR está associado a uma série de síndromes paraneoplásicas, presentes em cerca de 20% das pessoas com CCR. Estas síndromes são condições causadas quer pelas hormonas produzidas pelo tumor, quer pelo ataque do corpo ao tumor e geralmente afetam tecidos que não tenham sido invadidos pelo cancro.[1] As síndromes paraneoplásicas mais comuns em pessoas com CCR são níveis elevados de cálcio no sangue, excesso de glóbulos vermelhos, excesso de plaquetas e amiloidose secundária.[3]
Ver também
Referências
- ↑ a b c Curti, B; Jana, BRP; Javeed, M; Makhoul, I; Sachdeva, K; Hu, W; Perry, M; Talavera, F (26 de fevereiro de 2014). Harris, JE, ed. «Renal Cell Carcinoma». Medscape Reference. WebMD. Consultado em 7 de março de 2014
- ↑ Fausto, V; Abbas, A; Fausto, N (2004). Robbins and Cotran Pathologic Basis of disease. 7th ed. Philadelphia, PA: Elsevier/Saunders. ISBN 978-0721601878
- ↑ a b Master, VA (novembro de 2013). «Renal Cell Carcinoma». Merck Manual Professional. Merck Sharp & Dohme Corp. Consultado em 7 de março de 2014
- ↑ «Carcinoma de Células Renais» (PDF). Sociedade Portuguesa de Urologia
- ↑ Rini BI, Rathmell WK, Godley P (2008). «Renal cell carcinoma». Curr Opin Oncol. 20 (3): 300–6. PMID 18391630. doi:10.1097/CCO.0b013e3282f9782b
- ↑ Singer, Eric A.; Gupta, Gopal N.; Marchalik, Daniel; Srinivasan, Ramaprasad (2013). «Evolving therapeutic targets in renal cell carcinoma». Current Opinion in Oncology. 1 páginas. doi:10.1097/CCO.0b013e32835fc857
- ↑ Syn, Nicholas L; Teng, Michele W L; Mok, Tony S K; Soo, Ross A. «De-novo and acquired resistance to immune checkpoint targeting». The Lancet Oncology (em inglês). 18 (12): e731–e741. doi:10.1016/s1470-2045(17)30607-1
- ↑ «Kidney cancer». nhs.uk. Consultado em 19 de março de 2018
